A case of a paediatric chondromyxoid fibroma-like osteosarcoma.

IF 0.5 Q4 RADIOLOGY, NUCLEAR MEDICINE & MEDICAL IMAGING
Khaoula Boumeriem, Iliass Bourekba, Nazik Allali, Latifa Chat, Siham El Haddad
{"title":"A case of a paediatric chondromyxoid fibroma-like osteosarcoma.","authors":"Khaoula Boumeriem, Iliass Bourekba, Nazik Allali, Latifa Chat, Siham El Haddad","doi":"10.1093/bjrcr/uaaf011","DOIUrl":null,"url":null,"abstract":"<p><p>Chondromyxoid fibroma-like osteosarcoma (CMF-OS) is an exceptionally rare and low-grade variant of osteosarcoma, as classified by the World Health Organization. Misdiagnosis is common in CMF-OS, often leading to delays in definitive surgical intervention. CMF-OS exhibits variable imaging features, frequently mimicking chondromyxoid fibroma. It may present as osteolytic, osteogenic, or expansive lesions, often associated with soft tissue invasion, cortical disruption, and occasionally a periosteal reaction. Cases have been reported in diverse anatomical locations, including the craniofacial region and bones of the lower limbs. Histologically, CMF-OS is distinguished by its unique mucoid appearance, characterized by loose aggregates of stellate and spindle-shaped tumour cells embedded within a highly myxoid stroma. Surgical resection remains the cornerstone of treatment for CMF-OS, emphasizing the importance of accurate diagnosis to facilitate timely and appropriate management.</p>","PeriodicalId":45216,"journal":{"name":"BJR Case Reports","volume":"11 2","pages":"uaaf011"},"PeriodicalIF":0.5000,"publicationDate":"2025-03-01","publicationTypes":"Journal Article","fieldsOfStudy":null,"isOpenAccess":false,"openAccessPdf":"https://www.ncbi.nlm.nih.gov/pmc/articles/PMC11922549/pdf/","citationCount":"0","resultStr":null,"platform":"Semanticscholar","paperid":null,"PeriodicalName":"BJR Case Reports","FirstCategoryId":"1085","ListUrlMain":"https://doi.org/10.1093/bjrcr/uaaf011","RegionNum":0,"RegionCategory":null,"ArticlePicture":[],"TitleCN":null,"AbstractTextCN":null,"PMCID":null,"EPubDate":"","PubModel":"","JCR":"Q4","JCRName":"RADIOLOGY, NUCLEAR MEDICINE & MEDICAL IMAGING","Score":null,"Total":0}
引用次数: 0

Abstract

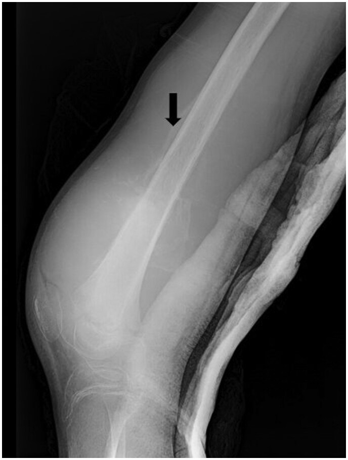
Chondromyxoid fibroma-like osteosarcoma (CMF-OS) is an exceptionally rare and low-grade variant of osteosarcoma, as classified by the World Health Organization. Misdiagnosis is common in CMF-OS, often leading to delays in definitive surgical intervention. CMF-OS exhibits variable imaging features, frequently mimicking chondromyxoid fibroma. It may present as osteolytic, osteogenic, or expansive lesions, often associated with soft tissue invasion, cortical disruption, and occasionally a periosteal reaction. Cases have been reported in diverse anatomical locations, including the craniofacial region and bones of the lower limbs. Histologically, CMF-OS is distinguished by its unique mucoid appearance, characterized by loose aggregates of stellate and spindle-shaped tumour cells embedded within a highly myxoid stroma. Surgical resection remains the cornerstone of treatment for CMF-OS, emphasizing the importance of accurate diagnosis to facilitate timely and appropriate management.

Abstract Image

Abstract Image

Abstract Image

小儿软骨粘液样纤维瘤样骨肉瘤1例。
软骨黏液样纤维瘤样骨肉瘤(CMF-OS)是世界卫生组织分类的一种罕见的低级别骨肉瘤。误诊在CMF-OS中很常见,常常导致最终手术干预的延误。CMF-OS表现出不同的影像学特征,经常与软骨粘液样纤维瘤相似。它可表现为溶骨、成骨或扩张性病变,常伴有软组织侵犯、皮质破坏,偶尔伴有骨膜反应。病例报告发生在不同的解剖位置,包括颅面区域和下肢骨骼。组织学上,CMF-OS以其独特的黏液样外观为特征,其特征是星状和纺锤状肿瘤细胞松散聚集在高度黏液样基质中。手术切除仍然是CMF-OS治疗的基石,强调准确诊断的重要性,以促进及时和适当的管理。
本文章由计算机程序翻译,如有差异,请以英文原文为准。
求助全文
约1分钟内获得全文 求助全文
来源期刊
BJR Case Reports
BJR Case Reports RADIOLOGY, NUCLEAR MEDICINE & MEDICAL IMAGING-
自引率
0.00%
发文量
77
审稿时长
11 weeks
×
引用
GB/T 7714-2015
复制
MLA
复制
APA
复制
导出至
BibTeX EndNote RefMan NoteFirst NoteExpress
×
提示
您的信息不完整,为了账户安全,请先补充。
现在去补充
×
提示
您因"违规操作"
具体请查看互助需知
我知道了
×
提示
确定
请完成安全验证×
copy
已复制链接
快去分享给好友吧!
我知道了
右上角分享
点击右上角分享
0
联系我们:info@booksci.cn Book学术提供免费学术资源搜索服务,方便国内外学者检索中英文文献。致力于提供最便捷和优质的服务体验。 Copyright © 2023 布克学术 All rights reserved.
京ICP备2023020795号-1
ghs 京公网安备 11010802042870号
Book学术文献互助
Book学术文献互助群
群 号:604180095
Book学术官方微信