Dacron® Graft Kinking Following Ascending Aorta Replacement Is Not Only a Cosmetic Issue.

IF 1.2
Ermal Likaj, Alfred Ibrahimi, Saimir Kuci, Jacob Zeitani
{"title":"Dacron® Graft Kinking Following Ascending Aorta Replacement Is Not Only a Cosmetic Issue.","authors":"Ermal Likaj, Alfred Ibrahimi, Saimir Kuci, Jacob Zeitani","doi":"10.21470/1678-9741-2022-0468","DOIUrl":null,"url":null,"abstract":"<p><p>A 58-year-old man, who has undergone ascending aorta replacement, started to complain of pain in the lower limbs, shortness of breath, and progressive fatigue a few months after surgery. Transthoracic and transesophageal Doppler echocardiographies revealed a diseased bicuspid aortic valve and a subocclusive mass in the ascending aorta. Thoracic computed tomography angiography confirmed the presence of a subocclusive mass, pseudoaneurysm formation, and a distorted shape of the Dacron® graft. The patient underwent urgent surgery to remove the mass, which appeared to be a thrombus, and aortic valve and ascending aorta replacement. Kinking of vascular graft has been reported including surgical techniques to correct the excessive length to avoid gradients and guarantee laminar flow. When kinking is severe, high gradients and hemolysis can be detected. However, thrombus formation in the ascending aorta segment is less likely, due to the high blood velocity flow. Therefore, several concurrent causes should be considered. In this case, the most probable explanation for thrombus formation was kinking of a too long Dacron® graft, combined with extrinsic compression effect of the graft by the pseudoaneurysm at the anastomosis site and anomalous flow directed from the diseased bicuspid aortic valve. Various grades of Dacron® graft kinking might occur following ascending aorta replacement and undiagnosed at follow-up especially if resulting in mild symptoms, thus, careful visual and echocardiography evaluation should be done at the end of surgery. Finally, distorted Dacron® graft might trigger thrombus formation when inflammation and coagulation processes are set off during bacteria or viral infection.</p>","PeriodicalId":72457,"journal":{"name":"Brazilian journal of cardiovascular surgery","volume":"40 2","pages":"e20220468"},"PeriodicalIF":1.2000,"publicationDate":"2025-03-18","publicationTypes":"Journal Article","fieldsOfStudy":null,"isOpenAccess":false,"openAccessPdf":"https://www.ncbi.nlm.nih.gov/pmc/articles/PMC11921935/pdf/","citationCount":"0","resultStr":null,"platform":"Semanticscholar","paperid":null,"PeriodicalName":"Brazilian journal of cardiovascular surgery","FirstCategoryId":"1085","ListUrlMain":"https://doi.org/10.21470/1678-9741-2022-0468","RegionNum":0,"RegionCategory":null,"ArticlePicture":[],"TitleCN":null,"AbstractTextCN":null,"PMCID":null,"EPubDate":"","PubModel":"","JCR":"","JCRName":"","Score":null,"Total":0}
引用次数: 0

Abstract

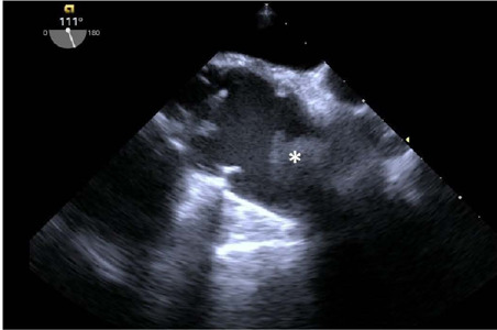
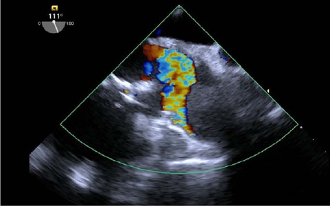
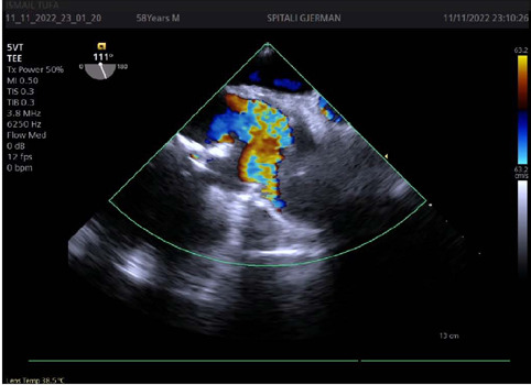
A 58-year-old man, who has undergone ascending aorta replacement, started to complain of pain in the lower limbs, shortness of breath, and progressive fatigue a few months after surgery. Transthoracic and transesophageal Doppler echocardiographies revealed a diseased bicuspid aortic valve and a subocclusive mass in the ascending aorta. Thoracic computed tomography angiography confirmed the presence of a subocclusive mass, pseudoaneurysm formation, and a distorted shape of the Dacron® graft. The patient underwent urgent surgery to remove the mass, which appeared to be a thrombus, and aortic valve and ascending aorta replacement. Kinking of vascular graft has been reported including surgical techniques to correct the excessive length to avoid gradients and guarantee laminar flow. When kinking is severe, high gradients and hemolysis can be detected. However, thrombus formation in the ascending aorta segment is less likely, due to the high blood velocity flow. Therefore, several concurrent causes should be considered. In this case, the most probable explanation for thrombus formation was kinking of a too long Dacron® graft, combined with extrinsic compression effect of the graft by the pseudoaneurysm at the anastomosis site and anomalous flow directed from the diseased bicuspid aortic valve. Various grades of Dacron® graft kinking might occur following ascending aorta replacement and undiagnosed at follow-up especially if resulting in mild symptoms, thus, careful visual and echocardiography evaluation should be done at the end of surgery. Finally, distorted Dacron® graft might trigger thrombus formation when inflammation and coagulation processes are set off during bacteria or viral infection.

Abstract Image

Abstract Image

Abstract Image

升主动脉置换术后的涤纶®移植物扭结不仅仅是一个美容问题。
58岁男性,行升主动脉置换术,术后数月开始主诉下肢疼痛、呼吸短促、进行性疲劳。经胸和经食管多普勒超声心动图显示病变的二尖瓣主动脉瓣和在升主动脉的闭下肿块。胸部计算机断层血管造影证实存在闭下肿块、假性动脉瘤形成和涤纶®移植物形状扭曲。患者接受了紧急手术切除肿块,这似乎是一个血栓,并更换了主动脉瓣和升主动脉。据报道,移植物的扭曲包括外科技术来纠正过长的血管,以避免梯度和保证层流。当扭结严重时,可以检测到高梯度和溶血。然而,由于血流速度快,升主动脉段血栓形成的可能性较小。因此,应该考虑几个并发的原因。在本例中,血栓形成最可能的解释是太长的涤纶®移植物扭结,再加上吻合部位假性动脉瘤对移植物的外来压迫作用和病变二尖瓣主动脉瓣的异常血流。升主动脉置换术后可能出现不同程度的涤纶®移植物扭结,在随访时无法诊断,尤其是症状轻微时,因此,在手术结束时应进行仔细的视觉和超声心动图评估。最后,当细菌或病毒感染引发炎症和凝血过程时,扭曲的涤纶®移植物可能引发血栓形成。
本文章由计算机程序翻译,如有差异,请以英文原文为准。
求助全文
约1分钟内获得全文 求助全文
来源期刊
自引率
0.00%
发文量
0
×
引用
GB/T 7714-2015
复制
MLA
复制
APA
复制
导出至
BibTeX EndNote RefMan NoteFirst NoteExpress
×
提示
您的信息不完整,为了账户安全,请先补充。
现在去补充
×
提示
您因"违规操作"
具体请查看互助需知
我知道了
×
提示
确定
请完成安全验证×
copy
已复制链接
快去分享给好友吧!
我知道了
右上角分享
点击右上角分享
0
联系我们:info@booksci.cn Book学术提供免费学术资源搜索服务,方便国内外学者检索中英文文献。致力于提供最便捷和优质的服务体验。 Copyright © 2023 布克学术 All rights reserved.
京ICP备2023020795号-1
ghs 京公网安备 11010802042870号
Book学术文献互助
Book学术文献互助群
群 号:604180095
Book学术官方微信