COCAINE-INDUCED MIDLINE DESTRUCTIVE LESIONS.

IF 0.8 4区 医学 Q3 MEDICINE, GENERAL & INTERNAL
Hanna Pašić, Branka Vidrih, Iva Šarac, Nina Rotim, Ana Hrkać Pustahija, Branko Malojčić, Ivana Karla Franić, Ivona Radmanović, Maja Živković, Stjepan Jurić, Jelena Šarić-Jurić, Marija Bošnjak Pašić
{"title":"COCAINE-INDUCED MIDLINE DESTRUCTIVE LESIONS.","authors":"Hanna Pašić, Branka Vidrih, Iva Šarac, Nina Rotim, Ana Hrkać Pustahija, Branko Malojčić, Ivana Karla Franić, Ivona Radmanović, Maja Živković, Stjepan Jurić, Jelena Šarić-Jurić, Marija Bošnjak Pašić","doi":"10.20471/acc.2024.63.02.21","DOIUrl":null,"url":null,"abstract":"<p><p>Prolonged cocaine inhalation can cause destruction of nasal mucosa and ethmoid sinuses and palate perforation, thus inducing cocaine-induced midline destructive lesions (CIMDL) that affect only a limited number of predisposed patients. CIMDL are an autoimmune necrotizing inflammatory phenomenon associated with the presence of atypical antineutrophil cytoplasmic antibody (ANCA). Patients complain of epistaxis, nasal obstruction, hyposmia, sinus infections, and facial pain. Protocol for the CIMDL diagnosis includes medical history, clinical examination, magnetic resonance imaging, laboratory tests, immunology and serology tests, and chest x-ray. A 68-year-old man presented with a brain extension mimicking an ischemic-like lesion with surrounding edema. A diagnosis of CIMDL was made in the light of the patient's medical history, imaging studies, and laboratory testing including pANCA positivity which seems to promote disease phenotype.</p>","PeriodicalId":7072,"journal":{"name":"Acta clinica Croatica","volume":"63 2","pages":"431-435"},"PeriodicalIF":0.8000,"publicationDate":"2024-10-01","publicationTypes":"Journal Article","fieldsOfStudy":null,"isOpenAccess":false,"openAccessPdf":"https://www.ncbi.nlm.nih.gov/pmc/articles/PMC11912849/pdf/","citationCount":"0","resultStr":null,"platform":"Semanticscholar","paperid":null,"PeriodicalName":"Acta clinica Croatica","FirstCategoryId":"3","ListUrlMain":"https://doi.org/10.20471/acc.2024.63.02.21","RegionNum":4,"RegionCategory":"医学","ArticlePicture":[],"TitleCN":null,"AbstractTextCN":null,"PMCID":null,"EPubDate":"","PubModel":"","JCR":"Q3","JCRName":"MEDICINE, GENERAL & INTERNAL","Score":null,"Total":0}
引用次数: 0

Abstract

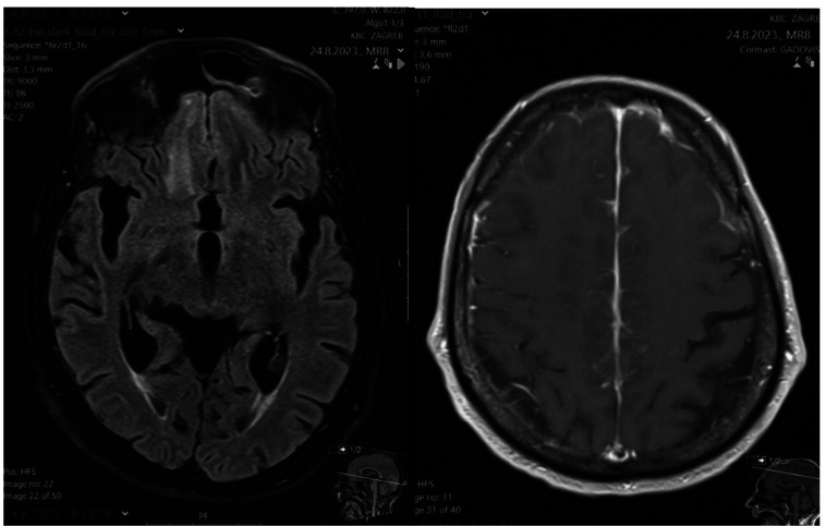
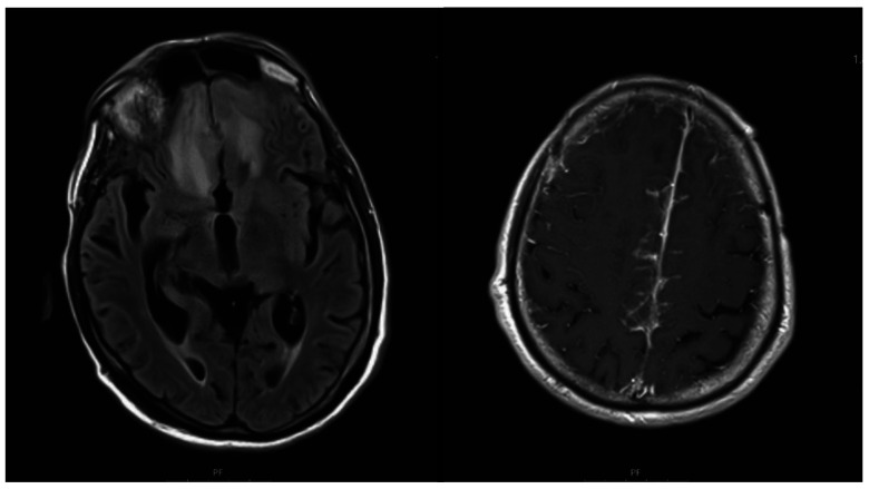
Prolonged cocaine inhalation can cause destruction of nasal mucosa and ethmoid sinuses and palate perforation, thus inducing cocaine-induced midline destructive lesions (CIMDL) that affect only a limited number of predisposed patients. CIMDL are an autoimmune necrotizing inflammatory phenomenon associated with the presence of atypical antineutrophil cytoplasmic antibody (ANCA). Patients complain of epistaxis, nasal obstruction, hyposmia, sinus infections, and facial pain. Protocol for the CIMDL diagnosis includes medical history, clinical examination, magnetic resonance imaging, laboratory tests, immunology and serology tests, and chest x-ray. A 68-year-old man presented with a brain extension mimicking an ischemic-like lesion with surrounding edema. A diagnosis of CIMDL was made in the light of the patient's medical history, imaging studies, and laboratory testing including pANCA positivity which seems to promote disease phenotype.

Abstract Image

Abstract Image

可卡因引起的中线破坏性病变。
长期吸入可卡因可导致鼻黏膜和筛窦的破坏和腭穿孔,从而诱发可卡因诱导的中线破坏性病变(CIMDL),仅影响少数易感患者。CIMDL是一种自身免疫性坏死性炎症现象,与非典型抗中性粒细胞细胞质抗体(ANCA)的存在有关。患者主诉有鼻出血、鼻塞、鼻血不足、鼻窦感染和面部疼痛。诊断方案包括病史、临床检查、磁共振成像、实验室检查、免疫学和血清学检查以及胸部x光检查。一名68岁男性患者表现为脑延伸,表现为缺血样病变伴周围水肿。根据患者的病史、影像学检查和实验室检查,包括似乎促进疾病表型的pANCA阳性,诊断为CIMDL。
本文章由计算机程序翻译,如有差异,请以英文原文为准。
求助全文
约1分钟内获得全文 求助全文
来源期刊
Acta clinica Croatica
Acta clinica Croatica 医学-医学:内科
CiteScore
1.10
自引率
16.70%
发文量
38
审稿时长
6-12 weeks
期刊介绍: Acta Clinica Croatica is a peer reviewed general medical journal that publishes original articles that advance and improve medical science and practice and that serve the purpose of transfer of original and valuable information to journal readers. Acta Clinica Croatica is published in English four times a year.
×
引用
GB/T 7714-2015
复制
MLA
复制
APA
复制
导出至
BibTeX EndNote RefMan NoteFirst NoteExpress
×
提示
您的信息不完整,为了账户安全,请先补充。
现在去补充
×
提示
您因"违规操作"
具体请查看互助需知
我知道了
×
提示
确定
请完成安全验证×
copy
已复制链接
快去分享给好友吧!
我知道了
右上角分享
点击右上角分享
0
联系我们:info@booksci.cn Book学术提供免费学术资源搜索服务,方便国内外学者检索中英文文献。致力于提供最便捷和优质的服务体验。 Copyright © 2023 布克学术 All rights reserved.
京ICP备2023020795号-1
ghs 京公网安备 11010802042870号
Book学术文献互助
Book学术文献互助群
群 号:604180095
Book学术官方微信