Open coronal plane fracture of the distal phalanx treated by flexion block pinning: a case report.

IF 0.6 Q4 SURGERY
Case Reports in Plastic Surgery and Hand Surgery Pub Date : 2025-03-13 eCollection Date: 2025-01-01 DOI:10.1080/23320885.2025.2477175
Tetsushi Aizawa, Yukako Ishihara, Ryuichi Azuma
{"title":"Open coronal plane fracture of the distal phalanx treated by flexion block pinning: a case report.","authors":"Tetsushi Aizawa, Yukako Ishihara, Ryuichi Azuma","doi":"10.1080/23320885.2025.2477175","DOIUrl":null,"url":null,"abstract":"<p><p>A distal phalanx may fracture in an atypical shape after high-energy trauma. A 61-year-old man sustained an open fracture of the distal phalanx of his left thumb while using a power saw. The fracture occurred in the coronal plane and the volar bone fragment was dislocated under traction by the flexor pollicis longus tendon. The patient underwent surgery the day after the injury. A flexion block pin was inserted to reduce the volar bone fragment, and an external flexion force was applied using a dorsal splint to compress the dorsal bone fragment into the volar bone fragment. The pin was removed 6 weeks postoperatively, and active range of motion exercises were started 8 weeks postoperatively. Bone union was achieved with good alignment, and although the interphalangeal joint remained slightly restricted in range of motion, the patient returned to his previous job and was satisfied with the function of the left thumb.</p>","PeriodicalId":42421,"journal":{"name":"Case Reports in Plastic Surgery and Hand Surgery","volume":"12 1","pages":"2477175"},"PeriodicalIF":0.6000,"publicationDate":"2025-03-13","publicationTypes":"Journal Article","fieldsOfStudy":null,"isOpenAccess":false,"openAccessPdf":"https://www.ncbi.nlm.nih.gov/pmc/articles/PMC11912232/pdf/","citationCount":"0","resultStr":null,"platform":"Semanticscholar","paperid":null,"PeriodicalName":"Case Reports in Plastic Surgery and Hand Surgery","FirstCategoryId":"1085","ListUrlMain":"https://doi.org/10.1080/23320885.2025.2477175","RegionNum":0,"RegionCategory":null,"ArticlePicture":[],"TitleCN":null,"AbstractTextCN":null,"PMCID":null,"EPubDate":"2025/1/1 0:00:00","PubModel":"eCollection","JCR":"Q4","JCRName":"SURGERY","Score":null,"Total":0}
引用次数: 0

Abstract

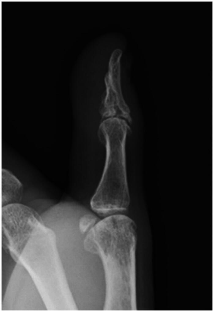
A distal phalanx may fracture in an atypical shape after high-energy trauma. A 61-year-old man sustained an open fracture of the distal phalanx of his left thumb while using a power saw. The fracture occurred in the coronal plane and the volar bone fragment was dislocated under traction by the flexor pollicis longus tendon. The patient underwent surgery the day after the injury. A flexion block pin was inserted to reduce the volar bone fragment, and an external flexion force was applied using a dorsal splint to compress the dorsal bone fragment into the volar bone fragment. The pin was removed 6 weeks postoperatively, and active range of motion exercises were started 8 weeks postoperatively. Bone union was achieved with good alignment, and although the interphalangeal joint remained slightly restricted in range of motion, the patient returned to his previous job and was satisfied with the function of the left thumb.

Abstract Image

Abstract Image

Abstract Image

屈曲块钉钉治疗远端指骨冠状面开放性骨折1例。
高能创伤后远端指骨可能以非典型形状骨折。一名61岁男子在使用电锯时左手拇指远端指骨开放性骨折。骨折发生在冠状面,掌侧骨碎片在拇长屈肌腱牵引下脱位。病人在受伤后的第二天接受了手术。插入屈曲块销以复位掌侧骨碎片,并使用背侧夹板施加外部屈曲力将背侧骨碎片压缩到掌侧骨碎片中。术后6周取下固定针,术后8周开始活动范围训练。骨愈合,对准良好,虽然指间关节的活动范围仍有轻微限制,但患者恢复了原来的工作,并对左手拇指的功能感到满意。
本文章由计算机程序翻译,如有差异,请以英文原文为准。
求助全文
约1分钟内获得全文 求助全文
来源期刊
CiteScore
0.60
自引率
0.00%
发文量
40
×
引用
GB/T 7714-2015
复制
MLA
复制
APA
复制
导出至
BibTeX EndNote RefMan NoteFirst NoteExpress
×
提示
您的信息不完整,为了账户安全,请先补充。
现在去补充
×
提示
您因"违规操作"
具体请查看互助需知
我知道了
×
提示
确定
请完成安全验证×
copy
已复制链接
快去分享给好友吧!
我知道了
右上角分享
点击右上角分享
0
联系我们:info@booksci.cn Book学术提供免费学术资源搜索服务,方便国内外学者检索中英文文献。致力于提供最便捷和优质的服务体验。 Copyright © 2023 布克学术 All rights reserved.
京ICP备2023020795号-1
ghs 京公网安备 11010802042870号
Book学术文献互助
Book学术文献互助群
群 号:604180095
Book学术官方微信