Benefits of combining piperine with prednisolone in an experimental model of rheumatoid arthritis.

IF 1.1 4区 农林科学 Q3 ZOOLOGY
Veterinary Research Forum Pub Date : 2025-01-01 Epub Date: 2025-02-15 DOI:10.30466/vrf.2024.2031860.4316
Asghar Morvaridi, Seyyed Meysam Abtahi Froushani, Amir Abbas Farshid
{"title":"Benefits of combining piperine with prednisolone in an experimental model of rheumatoid arthritis.","authors":"Asghar Morvaridi, Seyyed Meysam Abtahi Froushani, Amir Abbas Farshid","doi":"10.30466/vrf.2024.2031860.4316","DOIUrl":null,"url":null,"abstract":"<p><p>This study evaluated the impact of combining piperine and prednisolone on clinical symptoms and immune responses in Wistar rats with rheumatoid arthritis (RA) induced by Freund's complete adjuvant due to piperine known anti-inflammatory and immunomodulatory properties. The RA rats were randomly divided into five groups (n = 10): The RA rats were treated with phosphate-buffered saline, RA rats treated with piperine (100 mg kg<sup>-1</sup> orally), RA rats treated with prednisolone (10.00 mg kg<sup>-1</sup> orally), and RA rats treated with a combination of piperine and prednisolone (half doses of each orally). Treatment started on day five post-induction when all rats had a clinical score of ≥ 1. Disease symptoms were monitored every other day until day 23 post-induction. Combining the two medications at half doses led to a more significant reduction in disease severity, weight improvement, and histopathological changes compared to using each drug alone at the full doses. The combined treatment group exhibited the most favorable response in C-reactive protein, myeloperoxidase, and nitric oxide biochemical tests compared to the other treatment groups. The combined treatment group showed decreased expression of <i>T-bet</i> and <i>RORɣt</i> genes. However, there was no statistically significant difference in the expression of <i>Foxp3</i> and <i>GATA3</i> genes compared to the group receiving prednisolone alone. Overall, combining piperine with prednisolone may prove to be a beneficial approach for managing RA.</p>","PeriodicalId":23989,"journal":{"name":"Veterinary Research Forum","volume":"16 2","pages":"117-124"},"PeriodicalIF":1.1000,"publicationDate":"2025-01-01","publicationTypes":"Journal Article","fieldsOfStudy":null,"isOpenAccess":false,"openAccessPdf":"https://www.ncbi.nlm.nih.gov/pmc/articles/PMC11910975/pdf/","citationCount":"0","resultStr":null,"platform":"Semanticscholar","paperid":null,"PeriodicalName":"Veterinary Research Forum","FirstCategoryId":"97","ListUrlMain":"https://doi.org/10.30466/vrf.2024.2031860.4316","RegionNum":4,"RegionCategory":"农林科学","ArticlePicture":[],"TitleCN":null,"AbstractTextCN":null,"PMCID":null,"EPubDate":"2025/2/15 0:00:00","PubModel":"Epub","JCR":"Q3","JCRName":"ZOOLOGY","Score":null,"Total":0}
引用次数: 0

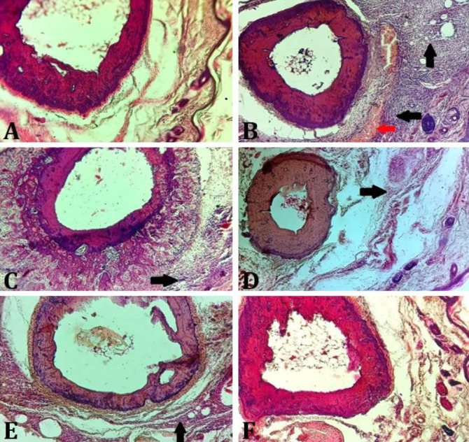
Abstract

This study evaluated the impact of combining piperine and prednisolone on clinical symptoms and immune responses in Wistar rats with rheumatoid arthritis (RA) induced by Freund's complete adjuvant due to piperine known anti-inflammatory and immunomodulatory properties. The RA rats were randomly divided into five groups (n = 10): The RA rats were treated with phosphate-buffered saline, RA rats treated with piperine (100 mg kg-1 orally), RA rats treated with prednisolone (10.00 mg kg-1 orally), and RA rats treated with a combination of piperine and prednisolone (half doses of each orally). Treatment started on day five post-induction when all rats had a clinical score of ≥ 1. Disease symptoms were monitored every other day until day 23 post-induction. Combining the two medications at half doses led to a more significant reduction in disease severity, weight improvement, and histopathological changes compared to using each drug alone at the full doses. The combined treatment group exhibited the most favorable response in C-reactive protein, myeloperoxidase, and nitric oxide biochemical tests compared to the other treatment groups. The combined treatment group showed decreased expression of T-bet and RORɣt genes. However, there was no statistically significant difference in the expression of Foxp3 and GATA3 genes compared to the group receiving prednisolone alone. Overall, combining piperine with prednisolone may prove to be a beneficial approach for managing RA.

Abstract Image

Abstract Image

Abstract Image

在类风湿性关节炎实验模型中将胡椒碱与泼尼松龙结合使用的益处
本研究评估了胡椒碱和强的松龙联合使用对Freund完全佐剂诱导的类风湿关节炎(RA) Wistar大鼠临床症状和免疫反应的影响,因为胡椒碱具有抗炎和免疫调节特性。将RA大鼠随机分为5组(n = 10):磷酸缓冲生理盐水组、胡椒碱组(口服100 mg kg-1)、强的松龙组(口服10.00 mg kg-1)、胡椒碱与强的松龙联合组(各口服一半剂量)。诱导后第5天开始治疗,所有大鼠的临床评分均≥1。每隔一天监测疾病症状,直至诱导后第23天。与单独使用两种药物的全剂量相比,两种药物以半剂量联合使用在疾病严重程度、体重改善和组织病理学变化方面的效果更显著。与其他治疗组相比,联合治疗组在c反应蛋白、髓过氧化物酶和一氧化氮生化测试中表现出最有利的反应。联合治疗组t -bet和ROR - t基因表达降低。但与单用强的松龙组相比,Foxp3、GATA3基因表达差异无统计学意义。总的来说,将胡椒碱与泼尼松龙结合可能是治疗RA的有益方法。
本文章由计算机程序翻译,如有差异,请以英文原文为准。
求助全文
约1分钟内获得全文 求助全文
来源期刊
Veterinary Research Forum
Veterinary Research Forum Veterinary-General Veterinary
CiteScore
1.50
自引率
0.00%
发文量
0
审稿时长
8 weeks
期刊介绍: Veterinary Research Forum (VRF) is a quarterly international journal committed to publish worldwide contributions on all aspects of veterinary science and medicine, including anatomy and histology, physiology and pharmacology, anatomic and clinical pathology, parasitology, microbiology, immunology and epidemiology, food hygiene, poultry science, fish and aquaculture, anesthesia and surgery, large and small animal internal medicine, large and small animal reproduction, biotechnology and diagnostic imaging of domestic, companion and farm animals.
×
引用
GB/T 7714-2015
复制
MLA
复制
APA
复制
导出至
BibTeX EndNote RefMan NoteFirst NoteExpress
×
提示
您的信息不完整,为了账户安全,请先补充。
现在去补充
×
提示
您因"违规操作"
具体请查看互助需知
我知道了
×
提示
确定
请完成安全验证×
copy
已复制链接
快去分享给好友吧!
我知道了
右上角分享
点击右上角分享
0
联系我们:info@booksci.cn Book学术提供免费学术资源搜索服务,方便国内外学者检索中英文文献。致力于提供最便捷和优质的服务体验。 Copyright © 2023 布克学术 All rights reserved.
京ICP备2023020795号-1
ghs 京公网安备 11010802042870号
Book学术文献互助
Book学术文献互助群
群 号:604180095
Book学术官方微信