N-acetylcysteine enhances bone marrow activity in treating pancytopenia induced by canine hemoprotozoan diseases.

IF 1.1 4区 农林科学 Q3 ZOOLOGY
Veterinary Research Forum Pub Date : 2025-01-01 Epub Date: 2025-01-15 DOI:10.30466/vrf.2024.2033155.4328
Narayani Yadav, Debabrata Mondal, Raguvaran Raja, Ensha Lomiya Ma, Karam Pal Singh, Dushyant Kumar Sharma, Arvind Kumar Das
{"title":"N-acetylcysteine enhances bone marrow activity in treating pancytopenia induced by canine hemoprotozoan diseases.","authors":"Narayani Yadav, Debabrata Mondal, Raguvaran Raja, Ensha Lomiya Ma, Karam Pal Singh, Dushyant Kumar Sharma, Arvind Kumar Das","doi":"10.30466/vrf.2024.2033155.4328","DOIUrl":null,"url":null,"abstract":"<p><p>Canine hemoprotozoan diseases <i>viz</i>. ehrlichiosis and babesiosis are mostly associated with critical anemia and thrombocytopenia with pancytopenic changes, leading to multi-organ failure. For faster recovery of patients with complicated hemoprotozoan diseases, whole blood transfusion or bone marrow stimulating agents to produce more red blood cells (RBCs) and platelets might be helpful. Unfortunately, canine specific transfusion procedures are expensive and even not available in many developing countries. Development of alternate therapeutic modality by bone marrow stimulation to augment the production of RBCs and platelets and thus, to treat the critical pancytopenic patients is and an urgent necessity. N-acetylcysteine (NAC), acts as a precursor of reduced glutathione and increases the production of bone marrow B cells. It also improves viability and self-renewal capacity of stem cells and thus, boosts hematopoietic differentiation by protecting induced pluripotent stem cells. This study envisaged to develop alternate therapeutic approach to combat pancytopenia secondary to canine hemoprotozoan diseases. Bone marrow mediated aplastic pancytopenia was induced experimentally by administration of cyclophosphamide in rats. Bone marrow stimulating property of NAC was compared with desmopressin, another bone marrow stimulator, which revealed better in terms of hematobiochemical and histopathological changes. Results of rat model study were extrapolated in clinical canine hemoprotozoan cases having pancytopenia. Dogs treated with hemoprotozoan disease specific therapy along with NAC rendered favorable changes by haltering the progression of critical anemia and thrombocytopenia. Study revealed that supplementation of NAC along with canine hemoprotozoan specific therapy is beneficial to alleviate pancytopenia.</p>","PeriodicalId":23989,"journal":{"name":"Veterinary Research Forum","volume":"16 1","pages":"1-10"},"PeriodicalIF":1.1000,"publicationDate":"2025-01-01","publicationTypes":"Journal Article","fieldsOfStudy":null,"isOpenAccess":false,"openAccessPdf":"https://www.ncbi.nlm.nih.gov/pmc/articles/PMC11905961/pdf/","citationCount":"0","resultStr":null,"platform":"Semanticscholar","paperid":null,"PeriodicalName":"Veterinary Research Forum","FirstCategoryId":"97","ListUrlMain":"https://doi.org/10.30466/vrf.2024.2033155.4328","RegionNum":4,"RegionCategory":"农林科学","ArticlePicture":[],"TitleCN":null,"AbstractTextCN":null,"PMCID":null,"EPubDate":"2025/1/15 0:00:00","PubModel":"Epub","JCR":"Q3","JCRName":"ZOOLOGY","Score":null,"Total":0}
引用次数: 0

Abstract

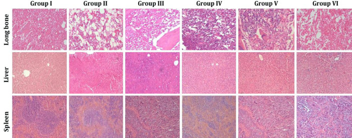
Canine hemoprotozoan diseases viz. ehrlichiosis and babesiosis are mostly associated with critical anemia and thrombocytopenia with pancytopenic changes, leading to multi-organ failure. For faster recovery of patients with complicated hemoprotozoan diseases, whole blood transfusion or bone marrow stimulating agents to produce more red blood cells (RBCs) and platelets might be helpful. Unfortunately, canine specific transfusion procedures are expensive and even not available in many developing countries. Development of alternate therapeutic modality by bone marrow stimulation to augment the production of RBCs and platelets and thus, to treat the critical pancytopenic patients is and an urgent necessity. N-acetylcysteine (NAC), acts as a precursor of reduced glutathione and increases the production of bone marrow B cells. It also improves viability and self-renewal capacity of stem cells and thus, boosts hematopoietic differentiation by protecting induced pluripotent stem cells. This study envisaged to develop alternate therapeutic approach to combat pancytopenia secondary to canine hemoprotozoan diseases. Bone marrow mediated aplastic pancytopenia was induced experimentally by administration of cyclophosphamide in rats. Bone marrow stimulating property of NAC was compared with desmopressin, another bone marrow stimulator, which revealed better in terms of hematobiochemical and histopathological changes. Results of rat model study were extrapolated in clinical canine hemoprotozoan cases having pancytopenia. Dogs treated with hemoprotozoan disease specific therapy along with NAC rendered favorable changes by haltering the progression of critical anemia and thrombocytopenia. Study revealed that supplementation of NAC along with canine hemoprotozoan specific therapy is beneficial to alleviate pancytopenia.

Abstract Image

N- 乙酰半胱氨酸在治疗犬血液原虫病引起的全血细胞减少症中可增强骨髓活性。
犬血液原虫病,即埃希氏杆菌病和巴贝西亚原虫病,大多伴有严重贫血和血小板减少,并出现泛血小板减少,导致多器官功能衰竭。为了让复杂的血吸虫病患者更快康复,输注全血或使用骨髓刺激剂来制造更多的红细胞和血小板可能会有所帮助。遗憾的是,犬类专用输血程序价格昂贵,在许多发展中国家甚至无法使用。当务之急是开发出刺激骨髓的替代治疗方法,以增加红细胞和血小板的生成,从而治疗危重的泛血小板减少症患者。N- 乙酰半胱氨酸(NAC)是还原型谷胱甘肽的前体,能增加骨髓 B 细胞的生成。它还能提高干细胞的活力和自我更新能力,从而通过保护诱导多能干细胞促进造血分化。这项研究旨在开发另一种治疗方法,以防治继发于犬血液原虫疾病的全血细胞减少症。通过对大鼠施用环磷酰胺,实验诱导了骨髓介导的再生障碍性全血细胞减少症。将 NAC 的骨髓刺激特性与另一种骨髓刺激剂去氨加压素进行了比较,后者在血液生物化学和组织病理学变化方面表现更佳。大鼠模型研究的结果被推用于临床犬类全血细胞减少症病例。犬在接受血液原虫病特异性治疗的同时,也接受了 NAC 治疗,从而遏制了严重贫血和血小板减少症的发展,使病情发生了有利的变化。研究表明,补充 NAC 和犬血吸虫特定疗法对缓解全血细胞减少症有益。
本文章由计算机程序翻译,如有差异,请以英文原文为准。
求助全文
约1分钟内获得全文 求助全文
来源期刊
Veterinary Research Forum
Veterinary Research Forum Veterinary-General Veterinary
CiteScore
1.50
自引率
0.00%
发文量
0
审稿时长
8 weeks
期刊介绍: Veterinary Research Forum (VRF) is a quarterly international journal committed to publish worldwide contributions on all aspects of veterinary science and medicine, including anatomy and histology, physiology and pharmacology, anatomic and clinical pathology, parasitology, microbiology, immunology and epidemiology, food hygiene, poultry science, fish and aquaculture, anesthesia and surgery, large and small animal internal medicine, large and small animal reproduction, biotechnology and diagnostic imaging of domestic, companion and farm animals.
×
引用
GB/T 7714-2015
复制
MLA
复制
APA
复制
导出至
BibTeX EndNote RefMan NoteFirst NoteExpress
×
提示
您的信息不完整,为了账户安全,请先补充。
现在去补充
×
提示
您因"违规操作"
具体请查看互助需知
我知道了
×
提示
确定
请完成安全验证×
copy
已复制链接
快去分享给好友吧!
我知道了
右上角分享
点击右上角分享
0
联系我们:info@booksci.cn Book学术提供免费学术资源搜索服务,方便国内外学者检索中英文文献。致力于提供最便捷和优质的服务体验。 Copyright © 2023 布克学术 All rights reserved.
京ICP备2023020795号-1
ghs 京公网安备 11010802042870号
Book学术文献互助
Book学术文献互助群
群 号:604180095
Book学术官方微信