Spontaneous neck haemorrhage secondary to parathyroid adenoma: description of a case and systematic review.

IF 2.1 4区 医学 Q2 OTORHINOLARYNGOLOGY
Alberto Vito Marcuzzo, Sara Fadda, Kevin Cargnelutti, Simone Zucchini, Lara Bigolin, Pierluigi Bonini, Giancarlo Tirelli
{"title":"Spontaneous neck haemorrhage secondary to parathyroid adenoma: description of a case and systematic review.","authors":"Alberto Vito Marcuzzo, Sara Fadda, Kevin Cargnelutti, Simone Zucchini, Lara Bigolin, Pierluigi Bonini, Giancarlo Tirelli","doi":"10.14639/0392-100X-N3055","DOIUrl":null,"url":null,"abstract":"<p><strong>Introduction: </strong>Parathyroid adenomas can rarely cause spontaneous haemorrhage, which can be life-threatening. Diagnosis is challenging. We present a case and systematic review to define a clearer pattern of symptoms, diagnosis, and treatment.</p><p><strong>Materials and methods: </strong>We conducted a literature search of PubMed, Google Scholar, and Embase using PRISMA guidelines, identifying 38 relevant case reports on spontaneous neck bleeding or haematoma caused by parathyroid adenomas from 1974 to 2020. Data included epidemiology, clinical features, and treatment. One patient treated at our clinic is described.</p><p><strong>Results: </strong>Reviewing 38 articles, we found cervical haematomas from spontaneous bleeding of parathyroid adenoma in 45 patients, comprising 33 women and 12 men. Common symptoms were neck pain, dysphagia, and swelling. Surgery was the primary treatment, with 4.4% requiring tracheotomy. Average hospital stay was 12.5 days, which was mostly complication-free.</p><p><strong>Conclusions: </strong>Parathyroid adenoma haemorrhage in middle-aged women with neck swelling, pain, and swallowing difficulty should be suspected. Diagnosis involves blood tests and contrast CT. Treatment is adenoma removal, typically without major complications.</p>","PeriodicalId":6890,"journal":{"name":"Acta Otorhinolaryngologica Italica","volume":"45 1","pages":"1-9"},"PeriodicalIF":2.1000,"publicationDate":"2025-02-01","publicationTypes":"Journal Article","fieldsOfStudy":null,"isOpenAccess":false,"openAccessPdf":"https://www.ncbi.nlm.nih.gov/pmc/articles/PMC11924194/pdf/","citationCount":"0","resultStr":null,"platform":"Semanticscholar","paperid":null,"PeriodicalName":"Acta Otorhinolaryngologica Italica","FirstCategoryId":"3","ListUrlMain":"https://doi.org/10.14639/0392-100X-N3055","RegionNum":4,"RegionCategory":"医学","ArticlePicture":[],"TitleCN":null,"AbstractTextCN":null,"PMCID":null,"EPubDate":"","PubModel":"","JCR":"Q2","JCRName":"OTORHINOLARYNGOLOGY","Score":null,"Total":0}
引用次数: 0

Abstract

Introduction: Parathyroid adenomas can rarely cause spontaneous haemorrhage, which can be life-threatening. Diagnosis is challenging. We present a case and systematic review to define a clearer pattern of symptoms, diagnosis, and treatment.

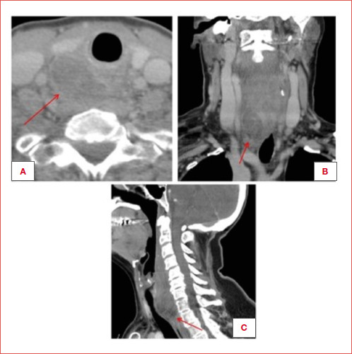
Materials and methods: We conducted a literature search of PubMed, Google Scholar, and Embase using PRISMA guidelines, identifying 38 relevant case reports on spontaneous neck bleeding or haematoma caused by parathyroid adenomas from 1974 to 2020. Data included epidemiology, clinical features, and treatment. One patient treated at our clinic is described.

Results: Reviewing 38 articles, we found cervical haematomas from spontaneous bleeding of parathyroid adenoma in 45 patients, comprising 33 women and 12 men. Common symptoms were neck pain, dysphagia, and swelling. Surgery was the primary treatment, with 4.4% requiring tracheotomy. Average hospital stay was 12.5 days, which was mostly complication-free.

Conclusions: Parathyroid adenoma haemorrhage in middle-aged women with neck swelling, pain, and swallowing difficulty should be suspected. Diagnosis involves blood tests and contrast CT. Treatment is adenoma removal, typically without major complications.

Abstract Image

Abstract Image

继发于甲状旁腺瘤的自发性颈部出血:1例描述及系统回顾。
简介:甲状旁腺瘤很少引起自发性出血,这可能危及生命。诊断是具有挑战性的。我们提出一个病例和系统回顾,以定义一个更清晰的模式的症状,诊断和治疗。材料和方法:我们使用PRISMA指南对PubMed、谷歌Scholar和Embase进行了文献检索,确定了1974年至2020年期间由甲状旁腺瘤引起的自发性颈部出血或血肿的38例相关病例报告。资料包括流行病学、临床特征和治疗。在我们诊所治疗的一个病人被描述。结果:回顾38篇文献,我们发现45例甲状旁腺瘤自发性出血引起的宫颈血肿,其中女性33例,男性12例。常见症状为颈部疼痛、吞咽困难和肿胀。手术是主要治疗方法,4.4%的患者需要气管切开术。平均住院时间为12.5天,大部分无并发症。结论:中年女性甲状旁腺瘤出血伴颈部肿胀、疼痛、吞咽困难应予以怀疑。诊断包括血液检查和对比CT。治疗方法是切除腺瘤,通常没有重大并发症。
本文章由计算机程序翻译,如有差异,请以英文原文为准。
求助全文
约1分钟内获得全文 求助全文
来源期刊
Acta Otorhinolaryngologica Italica
Acta Otorhinolaryngologica Italica OTORHINOLARYNGOLOGY-
CiteScore
3.40
自引率
10.00%
发文量
97
审稿时长
6-12 weeks
期刊介绍: Acta Otorhinolaryngologica Italica first appeared as “Annali di Laringologia Otologia e Faringologia” and was founded in 1901 by Giulio Masini. It is the official publication of the Italian Hospital Otology Association (A.O.O.I.) and, since 1976, also of the Società Italiana di Otorinolaringoiatria e Chirurgia Cervico-Facciale (S.I.O.Ch.C.-F.). The journal publishes original articles (clinical trials, cohort studies, case-control studies, cross-sectional surveys, and diagnostic test assessments) of interest in the field of otorhinolaryngology as well as clinical techniques and technology (a short report of unique or original methods for surgical techniques, medical management or new devices or technology), editorials (including editorial guests – special contribution) and letters to the Editor-in-Chief. Articles concerning science investigations and well prepared systematic reviews (including meta-analyses) on themes related to basic science, clinical otorhinolaryngology and head and neck surgery have high priority.
×
引用
GB/T 7714-2015
复制
MLA
复制
APA
复制
导出至
BibTeX EndNote RefMan NoteFirst NoteExpress
×
提示
您的信息不完整,为了账户安全,请先补充。
现在去补充
×
提示
您因"违规操作"
具体请查看互助需知
我知道了
×
提示
确定
请完成安全验证×
copy
已复制链接
快去分享给好友吧!
我知道了
右上角分享
点击右上角分享
0
联系我们:info@booksci.cn Book学术提供免费学术资源搜索服务,方便国内外学者检索中英文文献。致力于提供最便捷和优质的服务体验。 Copyright © 2023 布克学术 All rights reserved.
京ICP备2023020795号-1
ghs 京公网安备 11010802042870号
Book学术文献互助
Book学术文献互助群
群 号:604180095
Book学术官方微信