[Management of primary hyperparathyroidism with rare localization of ectopic adenoma parathyroid gland].

E A Aboisheva, E S Avsievich, M O Korchagina, M V Degtyarev, E E Bibik, D G Beltsevich, E A Pigarova, M S Sheremeta
{"title":"[Management of primary hyperparathyroidism with rare localization of ectopic adenoma parathyroid gland].","authors":"E A Aboisheva, E S Avsievich, M O Korchagina, M V Degtyarev, E E Bibik, D G Beltsevich, E A Pigarova, M S Sheremeta","doi":"10.14341/probl13425","DOIUrl":null,"url":null,"abstract":"<p><p>Topical diagnosis can be severely complicated in patients with primary hyperparathyroidism (PHPT) due to the ectopic placement of parathyroid gland (PTG) formations. We report a clinical case of PHPT in an 84-year-old patient caused by ectopic PTG adenoma located behind the right internal jugular vein at the level of the right submandibular gland. The impossibility of surgery for a long time due to the absence of a topical diagnosis has necessitated conservative treatment was required to get the hypercalcemia under control. In view of the concomitant deficiency of vitamin D, an attempt was made to use therapy with saturating doses of cholecalciferol under dynamic monitoring of the indicators of phosphorus-calcium metabolism, which allowed to achieve a significant decrease in PTH levels while maintaining normocalcemia.</p>","PeriodicalId":101419,"journal":{"name":"Problemy endokrinologii","volume":"71 1","pages":"20-26"},"PeriodicalIF":0.0000,"publicationDate":"2024-04-01","publicationTypes":"Journal Article","fieldsOfStudy":null,"isOpenAccess":false,"openAccessPdf":"https://www.ncbi.nlm.nih.gov/pmc/articles/PMC11931465/pdf/","citationCount":"0","resultStr":null,"platform":"Semanticscholar","paperid":null,"PeriodicalName":"Problemy endokrinologii","FirstCategoryId":"1085","ListUrlMain":"https://doi.org/10.14341/probl13425","RegionNum":0,"RegionCategory":null,"ArticlePicture":[],"TitleCN":null,"AbstractTextCN":null,"PMCID":null,"EPubDate":"","PubModel":"","JCR":"","JCRName":"","Score":null,"Total":0}
引用次数: 0

Abstract

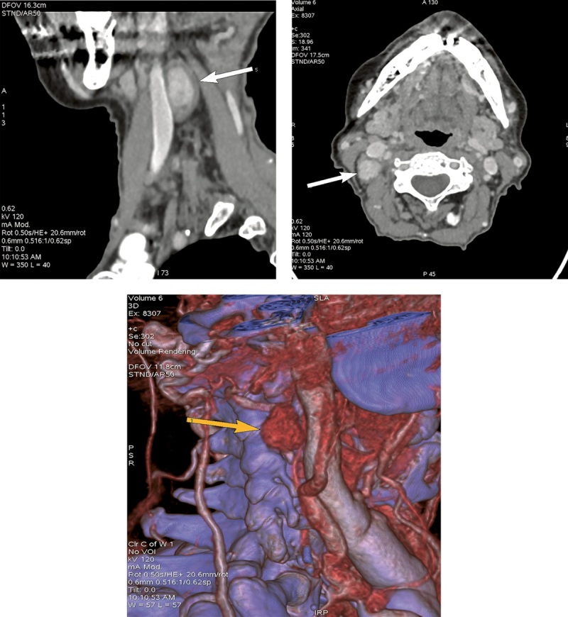
Topical diagnosis can be severely complicated in patients with primary hyperparathyroidism (PHPT) due to the ectopic placement of parathyroid gland (PTG) formations. We report a clinical case of PHPT in an 84-year-old patient caused by ectopic PTG adenoma located behind the right internal jugular vein at the level of the right submandibular gland. The impossibility of surgery for a long time due to the absence of a topical diagnosis has necessitated conservative treatment was required to get the hypercalcemia under control. In view of the concomitant deficiency of vitamin D, an attempt was made to use therapy with saturating doses of cholecalciferol under dynamic monitoring of the indicators of phosphorus-calcium metabolism, which allowed to achieve a significant decrease in PTH levels while maintaining normocalcemia.

Abstract Image

Abstract Image

[原发性甲状旁腺功能亢进伴罕见甲状旁腺异位腺瘤的治疗]。
由于甲状旁腺(PTG)形成的异位放置,原发性甲状旁腺功能亢进(PHPT)患者的局部诊断可能严重复杂。我们报告一个84岁的PHPT患者的临床病例,由位于右颈内静脉后面的右下颌下腺水平的异位PTG腺瘤引起。由于缺乏局部诊断,长期无法手术治疗,需要保守治疗以控制高钙血症。鉴于伴随的维生素D缺乏,我们尝试在动态监测磷钙代谢指标的情况下,使用饱和剂量的胆骨化醇进行治疗,在维持正常钙血症的同时显著降低甲状旁腺激素水平。
本文章由计算机程序翻译,如有差异,请以英文原文为准。
求助全文
约1分钟内获得全文 求助全文
来源期刊
自引率
0.00%
发文量
0
×
引用
GB/T 7714-2015
复制
MLA
复制
APA
复制
导出至
BibTeX EndNote RefMan NoteFirst NoteExpress
×
提示
您的信息不完整,为了账户安全,请先补充。
现在去补充
×
提示
您因"违规操作"
具体请查看互助需知
我知道了
×
提示
确定
请完成安全验证×
copy
已复制链接
快去分享给好友吧!
我知道了
右上角分享
点击右上角分享
0
联系我们:info@booksci.cn Book学术提供免费学术资源搜索服务,方便国内外学者检索中英文文献。致力于提供最便捷和优质的服务体验。 Copyright © 2023 布克学术 All rights reserved.
京ICP备2023020795号-1
ghs 京公网安备 11010802042870号
Book学术文献互助
Book学术文献互助群
群 号:604180095
Book学术官方微信