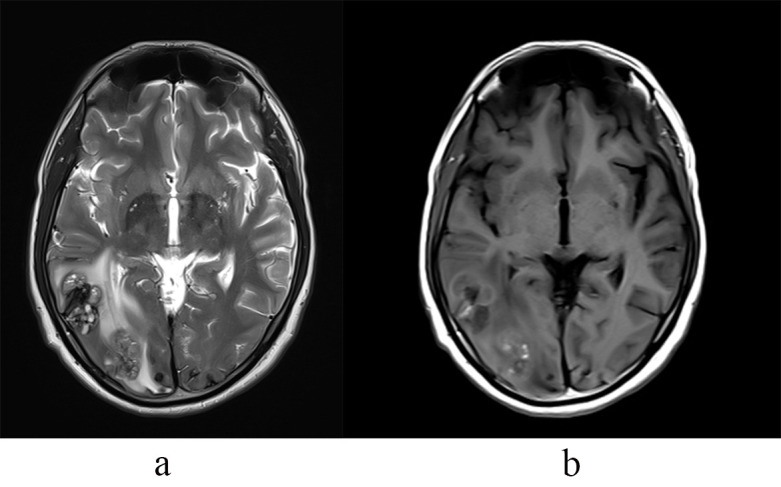
Unforeseen Sequelae: Myxomatous Aneurysm and Cerebral Metastasis in a Case of Atrial Myxoma-A Clinical Image.

IF 0.8 4区 医学 Q4 CLINICAL NEUROLOGY
Sukalyan Purkayastha, Rajinder Kumar, Dinesh Verma, Deepak Dhurvey, Nitin Kumar, Surajit Jana
{"title":"Unforeseen Sequelae: Myxomatous Aneurysm and Cerebral Metastasis in a Case of Atrial Myxoma-A Clinical Image.","authors":"Sukalyan Purkayastha, Rajinder Kumar, Dinesh Verma, Deepak Dhurvey, Nitin Kumar, Surajit Jana","doi":"10.31083/RN37950","DOIUrl":null,"url":null,"abstract":"","PeriodicalId":21281,"journal":{"name":"Revista de neurologia","volume":"80 1","pages":"37950"},"PeriodicalIF":0.8000,"publicationDate":"2025-02-12","publicationTypes":"Journal Article","fieldsOfStudy":null,"isOpenAccess":false,"openAccessPdf":"https://www.ncbi.nlm.nih.gov/pmc/articles/PMC11907702/pdf/","citationCount":"0","resultStr":null,"platform":"Semanticscholar","paperid":null,"PeriodicalName":"Revista de neurologia","FirstCategoryId":"3","ListUrlMain":"https://doi.org/10.31083/RN37950","RegionNum":4,"RegionCategory":"医学","ArticlePicture":[],"TitleCN":null,"AbstractTextCN":null,"PMCID":null,"EPubDate":"","PubModel":"","JCR":"Q4","JCRName":"CLINICAL NEUROLOGY","Score":null,"Total":0}
引用次数: 0

Abstract Image

Abstract Image

不可预见的后遗症:1例心房黏液瘤的黏液瘤性动脉瘤及脑转移——临床影像。
本文章由计算机程序翻译,如有差异,请以英文原文为准。
求助全文
约1分钟内获得全文 求助全文
来源期刊
Revista de neurologia
Revista de neurologia 医学-临床神经学
CiteScore
2.50
自引率
8.30%
发文量
117
审稿时长
3-8 weeks
期刊介绍: Revista de Neurología fomenta y difunde el conocimiento generado en lengua española sobre neurociencia, tanto clínica como experimental.
×
引用
GB/T 7714-2015
复制
MLA
复制
APA
复制
导出至
BibTeX EndNote RefMan NoteFirst NoteExpress
×
提示
您的信息不完整,为了账户安全,请先补充。
现在去补充
×
提示
您因"违规操作"
具体请查看互助需知
我知道了
×
提示
确定
请完成安全验证×
copy
已复制链接
快去分享给好友吧!
我知道了
右上角分享
点击右上角分享
0
联系我们:info@booksci.cn Book学术提供免费学术资源搜索服务,方便国内外学者检索中英文文献。致力于提供最便捷和优质的服务体验。 Copyright © 2023 布克学术 All rights reserved.
京ICP备2023020795号-1
ghs 京公网安备 11010802042870号
Book学术文献互助
Book学术文献互助群
群 号:604180095
Book学术官方微信