Manual reduction in conjunction with Arabin pessary to reduce first trimester urinary retention relapse.

IF 1.4 Q3 OBSTETRICS & GYNECOLOGY
Paola Algeri, Federico Licciardi, Nunzia Mastrocola, Laura Imbruglia, Greta Cagninelli, Patrizia D'Oria
{"title":"Manual reduction in conjunction with Arabin pessary to reduce first trimester urinary retention relapse.","authors":"Paola Algeri, Federico Licciardi, Nunzia Mastrocola, Laura Imbruglia, Greta Cagninelli, Patrizia D'Oria","doi":"10.4274/jtgga.galenos.2024.2024-4-2","DOIUrl":null,"url":null,"abstract":"","PeriodicalId":17440,"journal":{"name":"Journal of the Turkish German Gynecological Association","volume":"26 1","pages":"65-67"},"PeriodicalIF":1.4000,"publicationDate":"2025-03-12","publicationTypes":"Journal Article","fieldsOfStudy":null,"isOpenAccess":false,"openAccessPdf":"https://www.ncbi.nlm.nih.gov/pmc/articles/PMC11905191/pdf/","citationCount":"0","resultStr":null,"platform":"Semanticscholar","paperid":null,"PeriodicalName":"Journal of the Turkish German Gynecological Association","FirstCategoryId":"1085","ListUrlMain":"https://doi.org/10.4274/jtgga.galenos.2024.2024-4-2","RegionNum":0,"RegionCategory":null,"ArticlePicture":[],"TitleCN":null,"AbstractTextCN":null,"PMCID":null,"EPubDate":"","PubModel":"","JCR":"Q3","JCRName":"OBSTETRICS & GYNECOLOGY","Score":null,"Total":0}
引用次数: 0

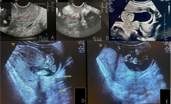
Abstract Image

人工减量联合阿拉宾可减少妊娠早期尿潴留复发。
本文章由计算机程序翻译,如有差异,请以英文原文为准。
求助全文
约1分钟内获得全文 求助全文
来源期刊
CiteScore
2.40
自引率
7.10%
发文量
56
期刊介绍: Journal of the Turkish-German Gynecological Association is the official, open access publication of the Turkish-German Gynecological Education and Research Foundation and Turkish-German Gynecological Association and is published quarterly on March, June, September and December. It is an independent peer-reviewed international journal printed in English language. Manuscripts are reviewed in accordance with “double-blind peer review” process for both reviewers and authors. The target audience of Journal of the Turkish-German Gynecological Association includes gynecologists and primary care physicians interested in gynecology practice. It publishes original works on all aspects of obstertrics and gynecology. The aim of Journal of the Turkish-German Gynecological Association is to publish high quality original research articles. In addition to research articles, reviews, editorials, letters to the editor, diagnostic puzzle are also published. Suggestions for new books are also welcomed. Journal of the Turkish-German Gynecological Association does not charge any fee for article submission or processing.
×
引用
GB/T 7714-2015
复制
MLA
复制
APA
复制
导出至
BibTeX EndNote RefMan NoteFirst NoteExpress
×
提示
您的信息不完整,为了账户安全,请先补充。
现在去补充
×
提示
您因"违规操作"
具体请查看互助需知
我知道了
×
提示
确定
请完成安全验证×
copy
已复制链接
快去分享给好友吧!
我知道了
右上角分享
点击右上角分享
0
联系我们:info@booksci.cn Book学术提供免费学术资源搜索服务,方便国内外学者检索中英文文献。致力于提供最便捷和优质的服务体验。 Copyright © 2023 布克学术 All rights reserved.
京ICP备2023020795号-1
ghs 京公网安备 11010802042870号
Book学术文献互助
Book学术文献互助群
群 号:604180095
Book学术官方微信