[18F]FDG- PET/CT in Staging and Restaging of Fetal Type Adenocarcinoma of the Lung: A Case Report and a Review of the Literature.

IF 0.5 Q4 RADIOLOGY, NUCLEAR MEDICINE & MEDICAL IMAGING
Indian Journal of Nuclear Medicine Pub Date : 2024-09-01 Epub Date: 2025-01-25 DOI:10.4103/ijnm.ijnm_113_24
Pietro Bellini, Francesco Dondi, Gian Luca Viganò, Francesco Bertagna
{"title":"[18F]FDG- PET/CT in Staging and Restaging of Fetal Type Adenocarcinoma of the Lung: A Case Report and a Review of the Literature.","authors":"Pietro Bellini, Francesco Dondi, Gian Luca Viganò, Francesco Bertagna","doi":"10.4103/ijnm.ijnm_113_24","DOIUrl":null,"url":null,"abstract":"<p><p>Fetal type adenocarcinoma (FTA) is a rare malignant tumor of the lung that histologically resembles an embryonic lung. Due to its rarity, no studies had investigated the possible role of the <sup>18</sup>F-fluorodeoxyglucose positron emission tomography/computed tomography ([<sup>18</sup>F]FDG PET/CT) in the initial assessment and/or in the restaging of the disease yet. We present a case of a male patient with tongue carcinoma and incidental findings of well-differentiated FTA at [<sup>18</sup>F]FDG PET/CT. The patient was treated by specific therapy and also performed a subsequent [<sup>18</sup>F]FDG PET/CT scan that showed a significant reduction of the uptake on lung lesion. This case highlights the potential role and usefulness of PET imaging for staging and posttherapeutic restaging of well-differentiated FTA. The review of the available literature underlined the rarity of the disease since only seven reports were present. Anyway, a possible role of the [<sup>18</sup>F]FDG PET/CT in the staging of FTA is conceivable.</p>","PeriodicalId":45830,"journal":{"name":"Indian Journal of Nuclear Medicine","volume":"39 5","pages":"376-380"},"PeriodicalIF":0.5000,"publicationDate":"2024-09-01","publicationTypes":"Journal Article","fieldsOfStudy":null,"isOpenAccess":false,"openAccessPdf":"https://www.ncbi.nlm.nih.gov/pmc/articles/PMC11884344/pdf/","citationCount":"0","resultStr":null,"platform":"Semanticscholar","paperid":null,"PeriodicalName":"Indian Journal of Nuclear Medicine","FirstCategoryId":"1085","ListUrlMain":"https://doi.org/10.4103/ijnm.ijnm_113_24","RegionNum":0,"RegionCategory":null,"ArticlePicture":[],"TitleCN":null,"AbstractTextCN":null,"PMCID":null,"EPubDate":"2025/1/25 0:00:00","PubModel":"Epub","JCR":"Q4","JCRName":"RADIOLOGY, NUCLEAR MEDICINE & MEDICAL IMAGING","Score":null,"Total":0}
引用次数: 0

Abstract

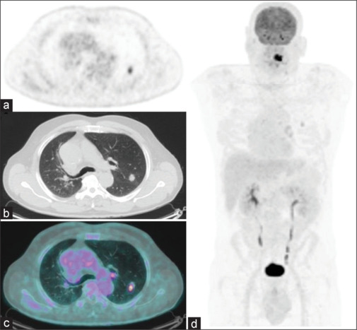
Fetal type adenocarcinoma (FTA) is a rare malignant tumor of the lung that histologically resembles an embryonic lung. Due to its rarity, no studies had investigated the possible role of the 18F-fluorodeoxyglucose positron emission tomography/computed tomography ([18F]FDG PET/CT) in the initial assessment and/or in the restaging of the disease yet. We present a case of a male patient with tongue carcinoma and incidental findings of well-differentiated FTA at [18F]FDG PET/CT. The patient was treated by specific therapy and also performed a subsequent [18F]FDG PET/CT scan that showed a significant reduction of the uptake on lung lesion. This case highlights the potential role and usefulness of PET imaging for staging and posttherapeutic restaging of well-differentiated FTA. The review of the available literature underlined the rarity of the disease since only seven reports were present. Anyway, a possible role of the [18F]FDG PET/CT in the staging of FTA is conceivable.

Abstract Image

Abstract Image

Abstract Image

[18]FDG- PET/CT在胎儿型肺腺癌分期和再分期中的应用:1例报告及文献复习。
胎儿型肺腺癌(FTA)是一种罕见的肺恶性肿瘤,组织学上类似于胚胎肺。由于其罕见性,尚未有研究探讨18F-氟脱氧葡萄糖正电子发射断层扫描/计算机断层扫描([18F]FDG PET/CT)在疾病的初步评估和/或重新诊断中的可能作用。我们报告一例男性舌癌患者,在FDG /CT上偶然发现高分化FTA。患者接受了特异性治疗,并进行了随后的[18F]FDG PET/CT扫描,显示肺病变的摄取明显减少。本病例强调了PET成像对高分化FTA的分期和治疗后再分期的潜在作用和有用性。对现有文献的回顾强调了这种疾病的罕见性,因为目前只有7份报告。无论如何,[18F]FDG PET/CT在FTA分期中的可能作用是可以想象的。
本文章由计算机程序翻译,如有差异,请以英文原文为准。
求助全文
约1分钟内获得全文 求助全文
来源期刊
Indian Journal of Nuclear Medicine
Indian Journal of Nuclear Medicine RADIOLOGY, NUCLEAR MEDICINE & MEDICAL IMAGING-
CiteScore
0.70
自引率
0.00%
发文量
46
×
引用
GB/T 7714-2015
复制
MLA
复制
APA
复制
导出至
BibTeX EndNote RefMan NoteFirst NoteExpress
×
提示
您的信息不完整,为了账户安全,请先补充。
现在去补充
×
提示
您因"违规操作"
具体请查看互助需知
我知道了
×
提示
确定
请完成安全验证×
copy
已复制链接
快去分享给好友吧!
我知道了
右上角分享
点击右上角分享
0
联系我们:info@booksci.cn Book学术提供免费学术资源搜索服务,方便国内外学者检索中英文文献。致力于提供最便捷和优质的服务体验。 Copyright © 2023 布克学术 All rights reserved.
京ICP备2023020795号-1
ghs 京公网安备 11010802042870号
Book学术文献互助
Book学术文献互助群
群 号:604180095
Book学术官方微信