CSF oligoclonal bands in neurological diseases besides CNS inflammatory demyelinating disorders.

IF 2.4 Q3 CLINICAL NEUROLOGY
BMJ Neurology Open Pub Date : 2025-02-25 eCollection Date: 2025-01-01 DOI:10.1136/bmjno-2024-000912
Jingru Ren, Jianchun Wang, Ran Liu, Jing Guo, Yan Yao, Hongjun Hao, Feng Gao
{"title":"CSF oligoclonal bands in neurological diseases besides CNS inflammatory demyelinating disorders.","authors":"Jingru Ren, Jianchun Wang, Ran Liu, Jing Guo, Yan Yao, Hongjun Hao, Feng Gao","doi":"10.1136/bmjno-2024-000912","DOIUrl":null,"url":null,"abstract":"<p><strong>Objective: </strong>To understand the distribution characteristics and clinical significance of cerebrospinal fluid (CSF) oligoclonal bands (OCBs) in different nervous system diseases besides typical central nervous system (CNS) inflammatory demyelinating disorders.</p><p><strong>Material: </strong>A total of 2259 patients who underwent CSF examination for OCBs at Peking University First Hospital from January 2011 to December 2023 were tested. A cohort of 257 patients presenting with various types of OCBs but without CNS inflammatory demyelinating diseases was included in the analysis. Relevant medical history was collected from all patients.</p><p><strong>Results: </strong>OCBs were most common in patients with autoimmune encephalitis. OCB types II and III were most common in patients with autoimmune encephalitis and CNS infection, whereas OCB types IV and V were present in immune-mediated neuropathy mostly. The distribution of OCBs also varied among different disease subtypes. Other CSF characteristics varied between diseases with different OCBs.</p><p><strong>Conclusions: </strong>In addition to CNS inflammatory demyelinating diseases, OCBs also appear in other neurological diseases including cerebral angiopathy and neurodegenerative conditions, informing the potential immune background. Further research is still needed to determine the significance of OCBs in these diseases.</p>","PeriodicalId":52754,"journal":{"name":"BMJ Neurology Open","volume":"7 1","pages":"e000912"},"PeriodicalIF":2.4000,"publicationDate":"2025-02-25","publicationTypes":"Journal Article","fieldsOfStudy":null,"isOpenAccess":false,"openAccessPdf":"https://www.ncbi.nlm.nih.gov/pmc/articles/PMC11883879/pdf/","citationCount":"0","resultStr":null,"platform":"Semanticscholar","paperid":null,"PeriodicalName":"BMJ Neurology Open","FirstCategoryId":"1085","ListUrlMain":"https://doi.org/10.1136/bmjno-2024-000912","RegionNum":0,"RegionCategory":null,"ArticlePicture":[],"TitleCN":null,"AbstractTextCN":null,"PMCID":null,"EPubDate":"2025/1/1 0:00:00","PubModel":"eCollection","JCR":"Q3","JCRName":"CLINICAL NEUROLOGY","Score":null,"Total":0}
引用次数: 0

Abstract

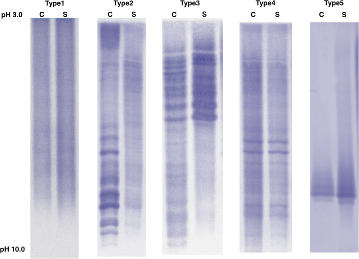
Objective: To understand the distribution characteristics and clinical significance of cerebrospinal fluid (CSF) oligoclonal bands (OCBs) in different nervous system diseases besides typical central nervous system (CNS) inflammatory demyelinating disorders.

Material: A total of 2259 patients who underwent CSF examination for OCBs at Peking University First Hospital from January 2011 to December 2023 were tested. A cohort of 257 patients presenting with various types of OCBs but without CNS inflammatory demyelinating diseases was included in the analysis. Relevant medical history was collected from all patients.

Results: OCBs were most common in patients with autoimmune encephalitis. OCB types II and III were most common in patients with autoimmune encephalitis and CNS infection, whereas OCB types IV and V were present in immune-mediated neuropathy mostly. The distribution of OCBs also varied among different disease subtypes. Other CSF characteristics varied between diseases with different OCBs.

Conclusions: In addition to CNS inflammatory demyelinating diseases, OCBs also appear in other neurological diseases including cerebral angiopathy and neurodegenerative conditions, informing the potential immune background. Further research is still needed to determine the significance of OCBs in these diseases.

Abstract Image

Abstract Image

Abstract Image

除中枢神经系统炎性脱髓鞘疾病外,脑脊液寡克隆带在神经系统疾病中的应用。
目的:了解脑脊液(CSF)寡克隆带(ocb)在除典型中枢神经系统(CNS)炎性脱髓鞘疾病外不同神经系统疾病中的分布特点及临床意义。材料:2011年1月至2023年12月在北京大学第一医院接受脑脊液检查的患者共2259例。本研究纳入了257例不同类型OCBs但无中枢神经系统炎症性脱髓鞘疾病的患者。收集所有患者的相关病史。结果:OCBs在自身免疫性脑炎患者中最常见。OCB II型和III型在自身免疫性脑炎和中枢神经系统感染患者中最常见,而OCB IV型和V型在免疫介导的神经病变中最常见。ocb在不同疾病亚型中的分布也存在差异。其他脑脊液特征在不同OCBs的疾病之间存在差异。结论:除了中枢神经系统炎症性脱髓鞘疾病外,OCBs还出现在其他神经系统疾病中,包括脑血管病和神经退行性疾病,提示潜在的免疫背景。还需要进一步的研究来确定OCBs在这些疾病中的意义。
本文章由计算机程序翻译,如有差异,请以英文原文为准。
求助全文
约1分钟内获得全文 求助全文
来源期刊
BMJ Neurology Open
BMJ Neurology Open Medicine-Neurology (clinical)
CiteScore
3.20
自引率
3.70%
发文量
46
审稿时长
13 weeks
×
引用
GB/T 7714-2015
复制
MLA
复制
APA
复制
导出至
BibTeX EndNote RefMan NoteFirst NoteExpress
×
提示
您的信息不完整,为了账户安全,请先补充。
现在去补充
×
提示
您因"违规操作"
具体请查看互助需知
我知道了
×
提示
确定
请完成安全验证×
copy
已复制链接
快去分享给好友吧!
我知道了
右上角分享
点击右上角分享
0
联系我们:info@booksci.cn Book学术提供免费学术资源搜索服务,方便国内外学者检索中英文文献。致力于提供最便捷和优质的服务体验。 Copyright © 2023 布克学术 All rights reserved.
京ICP备2023020795号-1
ghs 京公网安备 11010802042870号
Book学术文献互助
Book学术文献互助群
群 号:604180095
Book学术官方微信