[An uncommon cause of pulmonary infection : It's not always tuberculosis].

IF 0.6
Radiologie (Heidelberg, Germany) Pub Date : 2025-05-01 Epub Date: 2025-03-05 DOI:10.1007/s00117-025-01426-0
Christopher Kloth, Thomas Breining, Annika Beck, Camilla Westerwinter, Giuseppe Zenatti, Meinrad Beer, Daniel Vogele
{"title":"[An uncommon cause of pulmonary infection : It's not always tuberculosis].","authors":"Christopher Kloth, Thomas Breining, Annika Beck, Camilla Westerwinter, Giuseppe Zenatti, Meinrad Beer, Daniel Vogele","doi":"10.1007/s00117-025-01426-0","DOIUrl":null,"url":null,"abstract":"","PeriodicalId":74635,"journal":{"name":"Radiologie (Heidelberg, Germany)","volume":" ","pages":"362-366"},"PeriodicalIF":0.6000,"publicationDate":"2025-05-01","publicationTypes":"Journal Article","fieldsOfStudy":null,"isOpenAccess":false,"openAccessPdf":"https://www.ncbi.nlm.nih.gov/pmc/articles/PMC12041104/pdf/","citationCount":"0","resultStr":null,"platform":"Semanticscholar","paperid":null,"PeriodicalName":"Radiologie (Heidelberg, Germany)","FirstCategoryId":"1085","ListUrlMain":"https://doi.org/10.1007/s00117-025-01426-0","RegionNum":0,"RegionCategory":null,"ArticlePicture":[],"TitleCN":null,"AbstractTextCN":null,"PMCID":null,"EPubDate":"2025/3/5 0:00:00","PubModel":"Epub","JCR":"","JCRName":"","Score":null,"Total":0}
引用次数: 0

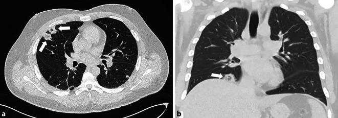
Abstract Image

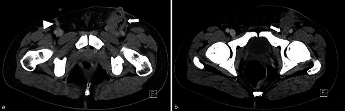
Abstract Image

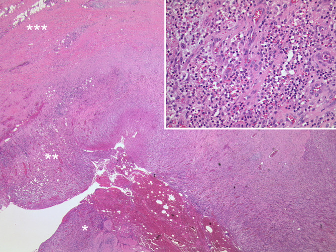
Abstract Image

[一种罕见的肺部感染原因:并不总是肺结核]。
本文章由计算机程序翻译,如有差异,请以英文原文为准。
求助全文
约1分钟内获得全文 求助全文
来源期刊
自引率
0.00%
发文量
0
×
引用
GB/T 7714-2015
复制
MLA
复制
APA
复制
导出至
BibTeX EndNote RefMan NoteFirst NoteExpress
×
提示
您的信息不完整,为了账户安全,请先补充。
现在去补充
×
提示
您因"违规操作"
具体请查看互助需知
我知道了
×
提示
确定
请完成安全验证×
copy
已复制链接
快去分享给好友吧!
我知道了
右上角分享
点击右上角分享
0
联系我们:info@booksci.cn Book学术提供免费学术资源搜索服务,方便国内外学者检索中英文文献。致力于提供最便捷和优质的服务体验。 Copyright © 2023 布克学术 All rights reserved.
京ICP备2023020795号-1
ghs 京公网安备 11010802042870号
Book学术文献互助
Book学术文献互助群
群 号:604180095
Book学术官方微信