Intrauterine intestinal obstruction in a preterm infant with severe mevalonate kinase deficiency - a case report.

Henrike Hoermann, Julia Franzel, Juliane Tautz, Prasad T Oommen, Elke Lainka, Ertan Mayatepek, Thomas Hoehn
{"title":"Intrauterine intestinal obstruction in a preterm infant with severe mevalonate kinase deficiency - a case report.","authors":"Henrike Hoermann, Julia Franzel, Juliane Tautz, Prasad T Oommen, Elke Lainka, Ertan Mayatepek, Thomas Hoehn","doi":"10.1186/s40748-025-00207-w","DOIUrl":null,"url":null,"abstract":"<p><strong>Background: </strong>Mevalonate kinase deficiency is an inherited autoinflammatory disorder that can present with a wide clinical spectrum, ranging from mild forms with recurrent episodes of fever, lymphadenopathy, splenomegaly and skin rash to the much rarer severe form, which is characterized by additional occurrences of psychomotor impairment, cholestatic jaundice, ophthalmological symptoms, and failure to thrive. The few cases described with perinatal onset often showed a very severe clinical course.</p><p><strong>Case presentation: </strong>Here, we report the case of a preterm infant born at 30 + 2 weeks of gestation with a prenatal genetic diagnosis of mevalonate kinase deficiency presenting with intrauterine bowel dilatation, mild hydrops fetalis, and microcephaly. Laparotomy on the second day of life revealed intestinal obstruction necessitating partial ileum resection and ileostomy. The neonate had recurrent inflammatory reactions with elevated C-reactive protein levels, severe cholestasis, a progressive liver dysfunction, and an increasingly distended abdomen with subsequent respiratory insufficiency. Urinary mevalonic acid was highly elevated. The patient received anti-inflammatory therapy with prednisone and anakinra. Unfortunately, the patient died at the age of 77 days due to cardiorespiratory failure.</p><p><strong>Conclusions: </strong>This case shows that intestinal obstruction with dilated fetal bowel loops can be an initially leading clinical symptom of severe mevalonate kinase deficiency. Diagnostics should be considered at an early stage, especially in the presence of other anomalies such as hydrops fetalis, growth restriction, or microcephaly. Data on the neonatal course of severe mevalonate kinase deficiency are still scarce and further studies are needed, particularly on treatment in neonates and young infants.</p>","PeriodicalId":74120,"journal":{"name":"Maternal health, neonatology and perinatology","volume":"11 1","pages":"8"},"PeriodicalIF":0.0000,"publicationDate":"2025-03-05","publicationTypes":"Journal Article","fieldsOfStudy":null,"isOpenAccess":false,"openAccessPdf":"https://www.ncbi.nlm.nih.gov/pmc/articles/PMC11881282/pdf/","citationCount":"0","resultStr":null,"platform":"Semanticscholar","paperid":null,"PeriodicalName":"Maternal health, neonatology and perinatology","FirstCategoryId":"1085","ListUrlMain":"https://doi.org/10.1186/s40748-025-00207-w","RegionNum":0,"RegionCategory":null,"ArticlePicture":[],"TitleCN":null,"AbstractTextCN":null,"PMCID":null,"EPubDate":"","PubModel":"","JCR":"","JCRName":"","Score":null,"Total":0}
引用次数: 0

Abstract

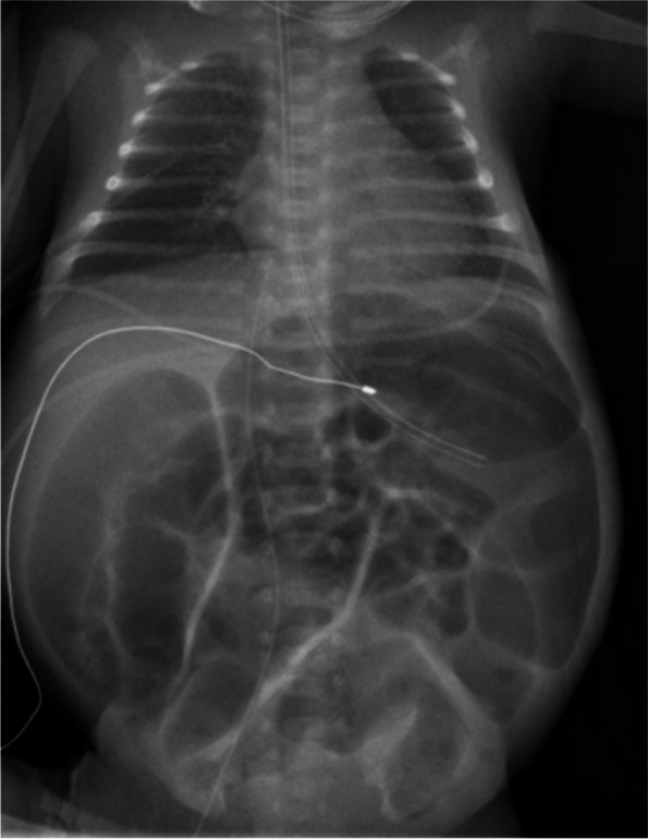
Background: Mevalonate kinase deficiency is an inherited autoinflammatory disorder that can present with a wide clinical spectrum, ranging from mild forms with recurrent episodes of fever, lymphadenopathy, splenomegaly and skin rash to the much rarer severe form, which is characterized by additional occurrences of psychomotor impairment, cholestatic jaundice, ophthalmological symptoms, and failure to thrive. The few cases described with perinatal onset often showed a very severe clinical course.

Case presentation: Here, we report the case of a preterm infant born at 30 + 2 weeks of gestation with a prenatal genetic diagnosis of mevalonate kinase deficiency presenting with intrauterine bowel dilatation, mild hydrops fetalis, and microcephaly. Laparotomy on the second day of life revealed intestinal obstruction necessitating partial ileum resection and ileostomy. The neonate had recurrent inflammatory reactions with elevated C-reactive protein levels, severe cholestasis, a progressive liver dysfunction, and an increasingly distended abdomen with subsequent respiratory insufficiency. Urinary mevalonic acid was highly elevated. The patient received anti-inflammatory therapy with prednisone and anakinra. Unfortunately, the patient died at the age of 77 days due to cardiorespiratory failure.

Conclusions: This case shows that intestinal obstruction with dilated fetal bowel loops can be an initially leading clinical symptom of severe mevalonate kinase deficiency. Diagnostics should be considered at an early stage, especially in the presence of other anomalies such as hydrops fetalis, growth restriction, or microcephaly. Data on the neonatal course of severe mevalonate kinase deficiency are still scarce and further studies are needed, particularly on treatment in neonates and young infants.

Abstract Image

Abstract Image

重度甲羟戊酸激酶缺乏的早产儿宫内肠梗阻1例。
背景:甲羟戊酸激酶缺乏症是一种遗传性自身炎症性疾病,其临床表现范围广泛,轻则表现为反复发作的发热、淋巴结病、脾肿大和皮疹,重则表现为精神运动障碍、淤胆性黄疸、眼科症状和发育不全。少数病例描述围产期发病往往表现出非常严重的临床过程。病例介绍:在这里,我们报告了一例妊娠30 + 2周的早产儿,产前遗传诊断为甲羟戊酸激酶缺乏症,表现为宫内肠扩张,轻度胎儿水肿和小头畸形。出生第二天开腹检查发现肠梗阻,需要部分回肠切除术和回肠造口术。新生儿有反复的炎症反应,c反应蛋白水平升高,严重的胆汁淤积,进行性肝功能障碍,腹部日益膨胀,随后呼吸功能不全。尿中甲羟戊酸水平高。患者接受强的松和阿那白抗炎治疗。不幸的是,患者死于心肺衰竭,享年77天。结论:本病例表明,肠梗阻合并胎儿肠袢扩张可能是严重甲羟戊酸激酶缺乏的最初主要临床症状。诊断应考虑在早期阶段,特别是在存在其他异常,如胎儿水肿,生长受限,或小头畸形。关于新生儿重度甲羟戊酸激酶缺乏症病程的数据仍然很少,需要进一步的研究,特别是对新生儿和幼儿的治疗。
本文章由计算机程序翻译,如有差异,请以英文原文为准。
求助全文
约1分钟内获得全文 求助全文
来源期刊
自引率
0.00%
发文量
0
审稿时长
12 weeks
×
引用
GB/T 7714-2015
复制
MLA
复制
APA
复制
导出至
BibTeX EndNote RefMan NoteFirst NoteExpress
×
提示
您的信息不完整,为了账户安全,请先补充。
现在去补充
×
提示
您因"违规操作"
具体请查看互助需知
我知道了
×
提示
确定
请完成安全验证×
copy
已复制链接
快去分享给好友吧!
我知道了
右上角分享
点击右上角分享
0
联系我们:info@booksci.cn Book学术提供免费学术资源搜索服务,方便国内外学者检索中英文文献。致力于提供最便捷和优质的服务体验。 Copyright © 2023 布克学术 All rights reserved.
京ICP备2023020795号-1
ghs 京公网安备 11010802042870号
Book学术文献互助
Book学术文献互助群
群 号:604180095
Book学术官方微信