Removal of a Distally Broken Cannulated Femur Intramedullary Nail: A Novel Technique From a Level 1 Trauma Center.

IF 0.6 Q4 ORTHOPEDICS
Case Reports in Orthopedics Pub Date : 2025-02-25 eCollection Date: 2025-01-01 DOI:10.1155/cro/6220126
Jeffrey Lucas Hii, Christopher J Fang, Samantha L Evans, Matthew Schuch, Erik N Kubiak
{"title":"Removal of a Distally Broken Cannulated Femur Intramedullary Nail: A Novel Technique From a Level 1 Trauma Center.","authors":"Jeffrey Lucas Hii, Christopher J Fang, Samantha L Evans, Matthew Schuch, Erik N Kubiak","doi":"10.1155/cro/6220126","DOIUrl":null,"url":null,"abstract":"<p><p>This case report from a Level 1 trauma center describes a novel surgical technique to remove a cannulated intramedullary nail, broken at the distal aspect, from the femur. We present a 40-year-old male who sustained a hardware failure, breaking his medullary nail at the distal aspect 7 weeks postoperatively while performing water aerobics. The broken implant was successfully extracted without complication, and a subsequent nail was exchanged. A benefit of this technique is avoiding a femoral osteotomy, which may prove useful for the unique and difficult case of distally broken nails.</p>","PeriodicalId":30287,"journal":{"name":"Case Reports in Orthopedics","volume":"2025 ","pages":"6220126"},"PeriodicalIF":0.6000,"publicationDate":"2025-02-25","publicationTypes":"Journal Article","fieldsOfStudy":null,"isOpenAccess":false,"openAccessPdf":"https://www.ncbi.nlm.nih.gov/pmc/articles/PMC11879531/pdf/","citationCount":"0","resultStr":null,"platform":"Semanticscholar","paperid":null,"PeriodicalName":"Case Reports in Orthopedics","FirstCategoryId":"1085","ListUrlMain":"https://doi.org/10.1155/cro/6220126","RegionNum":0,"RegionCategory":null,"ArticlePicture":[],"TitleCN":null,"AbstractTextCN":null,"PMCID":null,"EPubDate":"2025/1/1 0:00:00","PubModel":"eCollection","JCR":"Q4","JCRName":"ORTHOPEDICS","Score":null,"Total":0}
引用次数: 0

Abstract

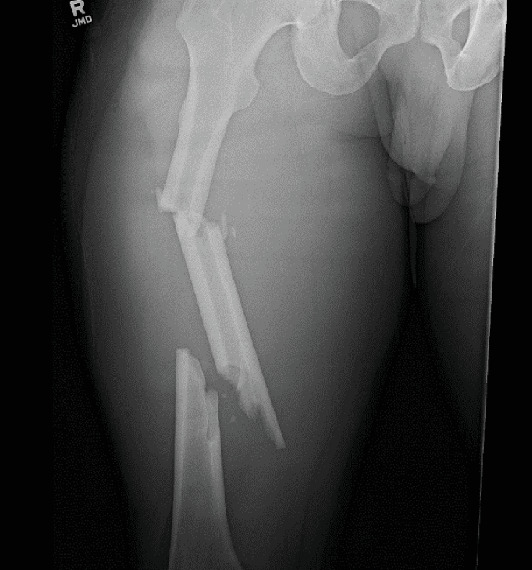
This case report from a Level 1 trauma center describes a novel surgical technique to remove a cannulated intramedullary nail, broken at the distal aspect, from the femur. We present a 40-year-old male who sustained a hardware failure, breaking his medullary nail at the distal aspect 7 weeks postoperatively while performing water aerobics. The broken implant was successfully extracted without complication, and a subsequent nail was exchanged. A benefit of this technique is avoiding a femoral osteotomy, which may prove useful for the unique and difficult case of distally broken nails.

Abstract Image

Abstract Image

Abstract Image

1级创伤中心的一项新技术:去除远端断裂的空心股骨髓内钉。
本病例报告来自一级创伤中心,描述了一种新颖的手术技术,用于从股骨远端取出空心髓内钉。我们报告一名40岁男性患者,术后7周在进行水中有氧运动时发生硬体故障,远端髓内钉骨折。骨折的种植体成功拔出,无并发症,随后更换了一枚钉子。这项技术的一个好处是避免了股骨截骨术,这可能被证明是有用的独特和困难的病例远端骨折的指甲。
本文章由计算机程序翻译,如有差异,请以英文原文为准。
求助全文
约1分钟内获得全文 求助全文
来源期刊
自引率
0.00%
发文量
55
审稿时长
14 weeks
×
引用
GB/T 7714-2015
复制
MLA
复制
APA
复制
导出至
BibTeX EndNote RefMan NoteFirst NoteExpress
×
提示
您的信息不完整,为了账户安全,请先补充。
现在去补充
×
提示
您因"违规操作"
具体请查看互助需知
我知道了
×
提示
确定
请完成安全验证×
copy
已复制链接
快去分享给好友吧!
我知道了
右上角分享
点击右上角分享
0
联系我们:info@booksci.cn Book学术提供免费学术资源搜索服务,方便国内外学者检索中英文文献。致力于提供最便捷和优质的服务体验。 Copyright © 2023 布克学术 All rights reserved.
京ICP备2023020795号-1
ghs 京公网安备 11010802042870号
Book学术文献互助
Book学术文献互助群
群 号:604180095
Book学术官方微信