Hemolytic Uremic Syndrome Secondary to Scorpion Envenomation in a 7-Year-Old Boy from Southwestern Iran.

Q3 Medicine
Iranian Journal of Pathology Pub Date : 2024-01-01 Epub Date: 2024-10-02 DOI:10.30699/ijp.2024.2024403.3272
Nafiseh Mortazavi, Nakysa Hooman, Mitra Mehrazma, Yasaman Moradi, Parvin Aghavali
{"title":"Hemolytic Uremic Syndrome Secondary to Scorpion Envenomation in a 7-Year-Old Boy from Southwestern Iran.","authors":"Nafiseh Mortazavi, Nakysa Hooman, Mitra Mehrazma, Yasaman Moradi, Parvin Aghavali","doi":"10.30699/ijp.2024.2024403.3272","DOIUrl":null,"url":null,"abstract":"<p><p><i>Hemiscorpius lepturus</i> is a deadly scorpion species found in the tropical regions of the Middle East. Its venom consists of a complex mixture of peptides and enzymes, including the protease toxin hemiscorpius crolysin, the analgesic peptide, and the cytotoxic agent which attacks vascular low-body weight patients, and especially young patients, are prone to systemic complications such as nephrotoxicity, hemolysis, hepatotoxicity, and even death. In this case report, we present a 7-year-old boy from city of Ahwaz in southwestern Iran, who was bitten by Gadeem (<i>H. lepturus</i>) and developed hemolytic uremic syndrome. After being stung, the patient developed hemolytic anemia, thrombocytopenia, and uremia in the subsequent days. The patient received supportive treatment, hemodialysis, and plasma exchange, and was discharged after 30 days of hospitalization.</p>","PeriodicalId":38900,"journal":{"name":"Iranian Journal of Pathology","volume":"19 4","pages":"467-471"},"PeriodicalIF":0.0000,"publicationDate":"2024-01-01","publicationTypes":"Journal Article","fieldsOfStudy":null,"isOpenAccess":false,"openAccessPdf":"https://www.ncbi.nlm.nih.gov/pmc/articles/PMC11872030/pdf/","citationCount":"0","resultStr":null,"platform":"Semanticscholar","paperid":null,"PeriodicalName":"Iranian Journal of Pathology","FirstCategoryId":"1085","ListUrlMain":"https://doi.org/10.30699/ijp.2024.2024403.3272","RegionNum":0,"RegionCategory":null,"ArticlePicture":[],"TitleCN":null,"AbstractTextCN":null,"PMCID":null,"EPubDate":"2024/10/2 0:00:00","PubModel":"Epub","JCR":"Q3","JCRName":"Medicine","Score":null,"Total":0}
引用次数: 0

Abstract

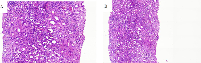
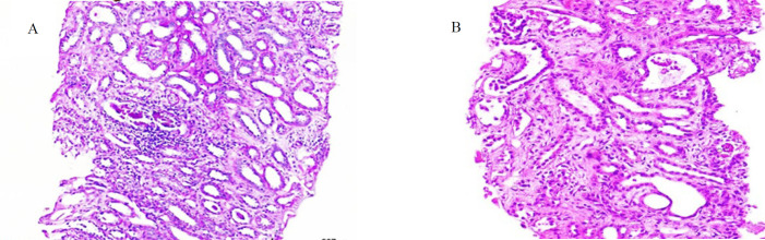
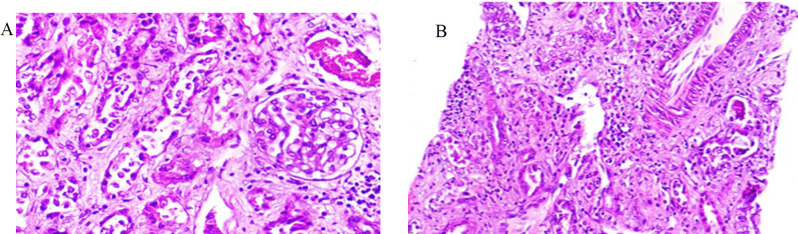
Hemiscorpius lepturus is a deadly scorpion species found in the tropical regions of the Middle East. Its venom consists of a complex mixture of peptides and enzymes, including the protease toxin hemiscorpius crolysin, the analgesic peptide, and the cytotoxic agent which attacks vascular low-body weight patients, and especially young patients, are prone to systemic complications such as nephrotoxicity, hemolysis, hepatotoxicity, and even death. In this case report, we present a 7-year-old boy from city of Ahwaz in southwestern Iran, who was bitten by Gadeem (H. lepturus) and developed hemolytic uremic syndrome. After being stung, the patient developed hemolytic anemia, thrombocytopenia, and uremia in the subsequent days. The patient received supportive treatment, hemodialysis, and plasma exchange, and was discharged after 30 days of hospitalization.

Abstract Image

Abstract Image

Abstract Image

伊朗西南部一名7岁男孩蝎子中毒继发溶血性尿毒症综合征。
Hemiscorpius lepturus 是中东热带地区发现的一种致命蝎子。其毒液由复杂的肽和酶混合物组成,包括蛋白酶毒素 Hemiscorpius crolysin、镇痛肽和细胞毒剂,攻击血管的低体重患者,尤其是年轻患者,容易出现全身并发症,如肾毒性、溶血、肝毒性,甚至死亡。在本病例报告中,我们介绍了一名来自伊朗西南部阿瓦士市的 7 岁男孩,他被 Gadeem(H. lepturus)咬伤后出现了溶血性尿毒症综合征。被蜇伤后,患者在随后几天出现溶血性贫血、血小板减少和尿毒症。患者接受了支持治疗、血液透析和血浆置换,住院 30 天后出院。
本文章由计算机程序翻译,如有差异,请以英文原文为准。
求助全文
约1分钟内获得全文 求助全文
来源期刊
Iranian Journal of Pathology
Iranian Journal of Pathology Medicine-Pathology and Forensic Medicine
CiteScore
2.00
自引率
0.00%
发文量
99
审稿时长
20 weeks
×
引用
GB/T 7714-2015
复制
MLA
复制
APA
复制
导出至
BibTeX EndNote RefMan NoteFirst NoteExpress
×
提示
您的信息不完整,为了账户安全,请先补充。
现在去补充
×
提示
您因"违规操作"
具体请查看互助需知
我知道了
×
提示
确定
请完成安全验证×
copy
已复制链接
快去分享给好友吧!
我知道了
右上角分享
点击右上角分享
0
联系我们:info@booksci.cn Book学术提供免费学术资源搜索服务,方便国内外学者检索中英文文献。致力于提供最便捷和优质的服务体验。 Copyright © 2023 布克学术 All rights reserved.
京ICP备2023020795号-1
ghs 京公网安备 11010802042870号
Book学术文献互助
Book学术文献互助群
群 号:604180095
Book学术官方微信