Expression of Cyclin D1 and Claudin-1 in Invasive Breast Carcinoma and Their Correlation with Clinicopathological Parameters.

Q3 Medicine
Iranian Journal of Pathology Pub Date : 2024-01-01 Epub Date: 2024-10-02 DOI:10.30699/ijp.2024.2028643.3299
Roopali Sehrawat, Vishesh Dhawan, Maitrayee Roy, Ayushi Kediya, Vijay Shrawan Nijhawan
{"title":"Expression of Cyclin D1 and Claudin-1 in Invasive Breast Carcinoma and Their Correlation with Clinicopathological Parameters.","authors":"Roopali Sehrawat, Vishesh Dhawan, Maitrayee Roy, Ayushi Kediya, Vijay Shrawan Nijhawan","doi":"10.30699/ijp.2024.2028643.3299","DOIUrl":null,"url":null,"abstract":"<p><strong>Background & objective: </strong>Evidence-based medicine has shown that patients with similar risk factors, stages, and therapy often have different clinical outcomes, highlighting the heterogeneity of breast cancer. In a quest for a better, cost-effective approach, researchers proposed the selection of surrogate IHC markers such as cyclin D1 and claudin-1 for the prognosis of breast cancer patients, supplementing the traditional ER, PR, and HER2/neu receptor.</p><p><strong>Methods: </strong>This retrospective study was conducted in a tertiary care hospital in northern India and included 50 cases of invasive breast carcinoma obtained from mastectomies, wide local excisions, and biopsies diagnosed over 4 years. In addition to ER, PR, and Her2/neu, claudin-1 and cyclin D1 IHC expression was assessed.</p><p><strong>Results: </strong>Cyclin D1 expression exhibited a statistically significant correlation with nodal status involvement (<i>P</i>=0.011) and with luminal-type breast carcinoma (<i>P</i>=0.023). Though there was no significant statistical correlation between claudin-1 and various clinic pathological features, it was seen to be positive in both luminal and HER2/neu-positive tumors.</p><p><strong>Conclusion: </strong>Our findings advocated the expression of IHC namely, cyclin D1 and claudin-1, in cases of breast cancer. Cyclin D1 positivity may show a significant association with better prognostic determinants while claudin-1 negative tumors may tend to be more often triple negative. Thus, IHC can be used in resource-constraint settings to substitute expensive molecular techniques.</p>","PeriodicalId":38900,"journal":{"name":"Iranian Journal of Pathology","volume":"19 4","pages":"408-414"},"PeriodicalIF":0.0000,"publicationDate":"2024-01-01","publicationTypes":"Journal Article","fieldsOfStudy":null,"isOpenAccess":false,"openAccessPdf":"https://www.ncbi.nlm.nih.gov/pmc/articles/PMC11872039/pdf/","citationCount":"0","resultStr":null,"platform":"Semanticscholar","paperid":null,"PeriodicalName":"Iranian Journal of Pathology","FirstCategoryId":"1085","ListUrlMain":"https://doi.org/10.30699/ijp.2024.2028643.3299","RegionNum":0,"RegionCategory":null,"ArticlePicture":[],"TitleCN":null,"AbstractTextCN":null,"PMCID":null,"EPubDate":"2024/10/2 0:00:00","PubModel":"Epub","JCR":"Q3","JCRName":"Medicine","Score":null,"Total":0}
引用次数: 0

Abstract

Background & objective: Evidence-based medicine has shown that patients with similar risk factors, stages, and therapy often have different clinical outcomes, highlighting the heterogeneity of breast cancer. In a quest for a better, cost-effective approach, researchers proposed the selection of surrogate IHC markers such as cyclin D1 and claudin-1 for the prognosis of breast cancer patients, supplementing the traditional ER, PR, and HER2/neu receptor.

Methods: This retrospective study was conducted in a tertiary care hospital in northern India and included 50 cases of invasive breast carcinoma obtained from mastectomies, wide local excisions, and biopsies diagnosed over 4 years. In addition to ER, PR, and Her2/neu, claudin-1 and cyclin D1 IHC expression was assessed.

Results: Cyclin D1 expression exhibited a statistically significant correlation with nodal status involvement (P=0.011) and with luminal-type breast carcinoma (P=0.023). Though there was no significant statistical correlation between claudin-1 and various clinic pathological features, it was seen to be positive in both luminal and HER2/neu-positive tumors.

Conclusion: Our findings advocated the expression of IHC namely, cyclin D1 and claudin-1, in cases of breast cancer. Cyclin D1 positivity may show a significant association with better prognostic determinants while claudin-1 negative tumors may tend to be more often triple negative. Thus, IHC can be used in resource-constraint settings to substitute expensive molecular techniques.

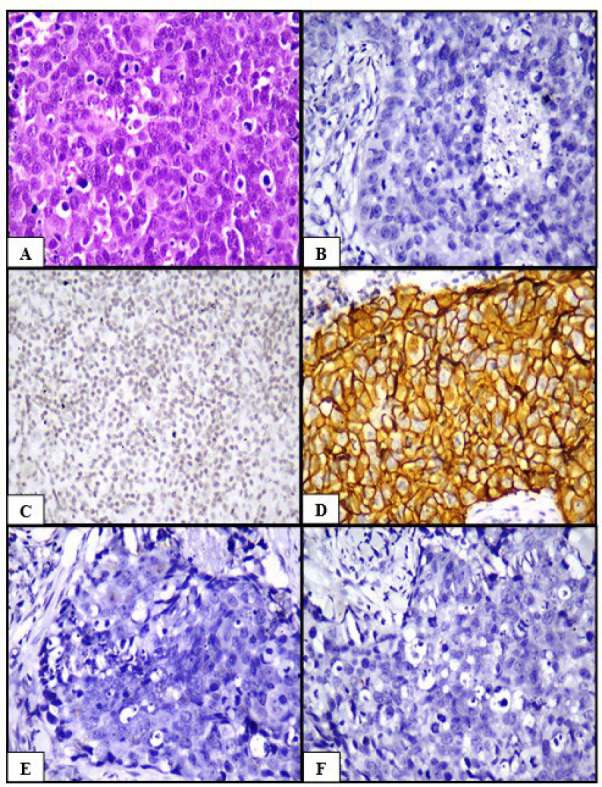
Abstract Image

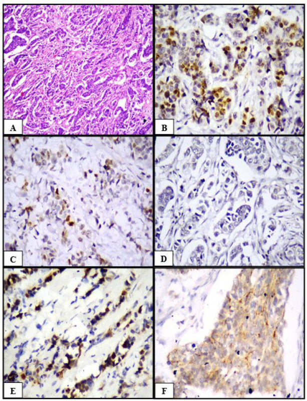
Abstract Image

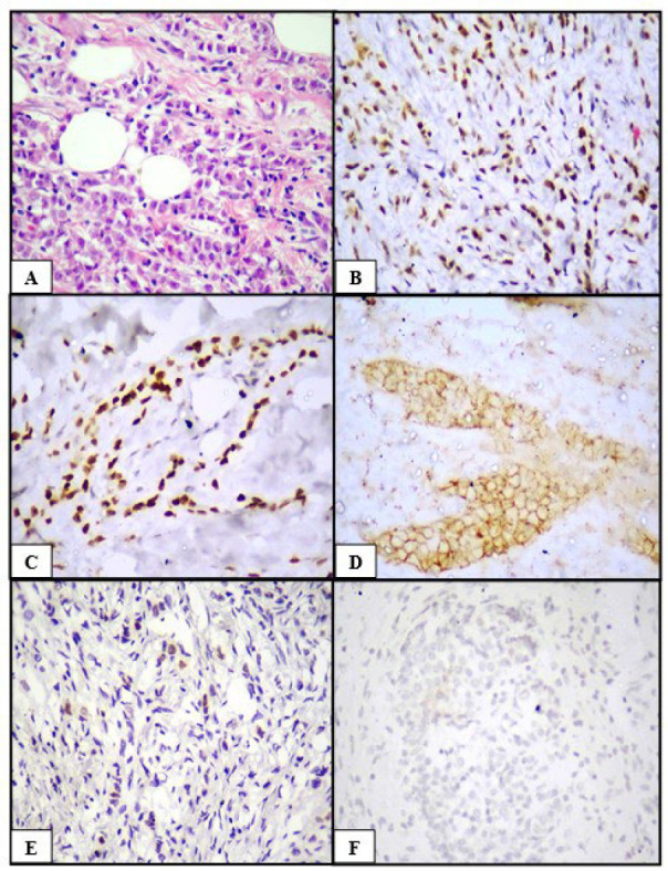
Abstract Image

浸润性乳腺癌中Cyclin D1和Claudin-1的表达及其与临床病理参数的关系
背景与目的:循证医学表明,具有相似风险因素、分期和治疗方法的患者往往具有不同的临床结果,这凸显了乳腺癌的异质性。为了寻求更好、更经济有效的方法,研究人员建议选择代用 IHC 标志物(如细胞周期蛋白 D1 和 claudin-1)来预测乳腺癌患者的预后,以补充传统的 ER、PR 和 HER2/neu 受体:这项回顾性研究在印度北部的一家三甲医院进行,纳入了 50 例浸润性乳腺癌病例,这些病例来自乳房切除术、大范围局部切除术和活检,诊断时间超过 4 年。除了ER、PR和Her2/neu外,还评估了claudin-1和细胞周期蛋白D1的IHC表达:结果:细胞周期蛋白 D1 的表达与结节状态(P=0.011)和管腔型乳腺癌(P=0.023)有统计学意义的相关性。虽然 claudin-1 与各种临床病理特征之间没有明显的统计学相关性,但它在管腔型和 HER2/neu 阳性肿瘤中均呈阳性:我们的研究结果表明,IHC 即细胞周期蛋白 D1 和 claudin-1 在乳腺癌病例中的表达具有重要意义。细胞周期蛋白 D1 阳性可能与较好的预后决定因素有明显的关联,而 claudin-1 阴性的肿瘤可能更倾向于三阴性。因此,在资源有限的情况下,IHC 可用来替代昂贵的分子技术。
本文章由计算机程序翻译,如有差异,请以英文原文为准。
求助全文
约1分钟内获得全文 求助全文
来源期刊
Iranian Journal of Pathology
Iranian Journal of Pathology Medicine-Pathology and Forensic Medicine
CiteScore
2.00
自引率
0.00%
发文量
99
审稿时长
20 weeks
×
引用
GB/T 7714-2015
复制
MLA
复制
APA
复制
导出至
BibTeX EndNote RefMan NoteFirst NoteExpress
×
提示
您的信息不完整,为了账户安全,请先补充。
现在去补充
×
提示
您因"违规操作"
具体请查看互助需知
我知道了
×
提示
确定
请完成安全验证×
copy
已复制链接
快去分享给好友吧!
我知道了
右上角分享
点击右上角分享
0
联系我们:info@booksci.cn Book学术提供免费学术资源搜索服务,方便国内外学者检索中英文文献。致力于提供最便捷和优质的服务体验。 Copyright © 2023 布克学术 All rights reserved.
京ICP备2023020795号-1
ghs 京公网安备 11010802042870号
Book学术文献互助
Book学术文献互助群
群 号:604180095
Book学术官方微信