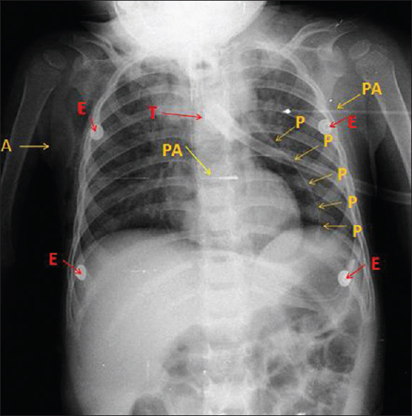
Pneumopericardium: A rare, life-threatening complication of tracheostomy following positive-pressure ventilation to confirm tube position.

IF 1.1 Q3 PHARMACOLOGY & PHARMACY
Sunil Rajan, Jacob Mathew, Gayathri Sreekumar, Roniya Ann Roy
{"title":"Pneumopericardium: A rare, life-threatening complication of tracheostomy following positive-pressure ventilation to confirm tube position.","authors":"Sunil Rajan, Jacob Mathew, Gayathri Sreekumar, Roniya Ann Roy","doi":"10.4103/joacp.joacp_421_23","DOIUrl":null,"url":null,"abstract":"","PeriodicalId":14946,"journal":{"name":"Journal of Anaesthesiology, Clinical Pharmacology","volume":"41 1","pages":"196-197"},"PeriodicalIF":1.1000,"publicationDate":"2025-01-01","publicationTypes":"Journal Article","fieldsOfStudy":null,"isOpenAccess":false,"openAccessPdf":"https://www.ncbi.nlm.nih.gov/pmc/articles/PMC11867350/pdf/","citationCount":"0","resultStr":null,"platform":"Semanticscholar","paperid":null,"PeriodicalName":"Journal of Anaesthesiology, Clinical Pharmacology","FirstCategoryId":"1085","ListUrlMain":"https://doi.org/10.4103/joacp.joacp_421_23","RegionNum":0,"RegionCategory":null,"ArticlePicture":[],"TitleCN":null,"AbstractTextCN":null,"PMCID":null,"EPubDate":"2025/1/23 0:00:00","PubModel":"Epub","JCR":"Q3","JCRName":"PHARMACOLOGY & PHARMACY","Score":null,"Total":0}
引用次数: 0

Abstract Image

心包气:一种罕见的,危及生命的并发症,气管切开术后,正压通气,以确认管道的位置。
本文章由计算机程序翻译,如有差异,请以英文原文为准。
求助全文
约1分钟内获得全文 求助全文
来源期刊
CiteScore
1.90
自引率
6.70%
发文量
129
期刊介绍: The JOACP publishes original peer-reviewed research and clinical work in all branches of anaesthesiology, pain, critical care and perioperative medicine including the application to basic sciences. In addition, the journal publishes review articles, special articles, brief communications/reports, case reports, and reports of new equipment, letters to editor, book reviews and obituaries. It is international in scope and comprehensive in coverage.
×
引用
GB/T 7714-2015
复制
MLA
复制
APA
复制
导出至
BibTeX EndNote RefMan NoteFirst NoteExpress
×
提示
您的信息不完整,为了账户安全,请先补充。
现在去补充
×
提示
您因"违规操作"
具体请查看互助需知
我知道了
×
提示
确定
请完成安全验证×
copy
已复制链接
快去分享给好友吧!
我知道了
右上角分享
点击右上角分享
0
联系我们:info@booksci.cn Book学术提供免费学术资源搜索服务,方便国内外学者检索中英文文献。致力于提供最便捷和优质的服务体验。 Copyright © 2023 布克学术 All rights reserved.
京ICP备2023020795号-1
ghs 京公网安备 11010802042870号
Book学术文献互助
Book学术文献互助群
群 号:604180095
Book学术官方微信
小红书