Single-Cell RNA Sequencing in Incontinentia Pigmenti With Neonatal Encephalopathy Reveals Broad Immune Activation Moderated by Steroids.

IF 7.5 1区 医学 Q1 CLINICAL NEUROLOGY
Shekeeb S Mohammad, Velda Han, Brian Gloss, Brooke Keating, Hiroya Nishida, Xianzhong Lau, Ruwani Dissanayake, Shrujna Patel, Russell C Dale
{"title":"Single-Cell RNA Sequencing in Incontinentia Pigmenti With Neonatal Encephalopathy Reveals Broad Immune Activation Moderated by Steroids.","authors":"Shekeeb S Mohammad, Velda Han, Brian Gloss, Brooke Keating, Hiroya Nishida, Xianzhong Lau, Ruwani Dissanayake, Shrujna Patel, Russell C Dale","doi":"10.1212/NXI.0000000000200358","DOIUrl":null,"url":null,"abstract":"<p><strong>Background and objectives: </strong>DNA variations in the NF-kappa-B essential modulator (<i>NEMO</i>) gene are linked to incontinentia pigmenti (IP) and also immunodeficiency and autoinflammatory conditions. Some patients with IP present with neonatal vasculitis-like brain changes, although pathogenesis is unclear. We investigated cell-specific gene expression in a neonate with IP, who had encephalopathy, seizures, and vasculitis-like brain changes, and responded to steroid treatment.</p><p><strong>Methods: </strong>Single-cell RNA (ribonucleic acid) sequencing (scRNAseq), using the HIVE single-cell system, was performed on a neonate with IP, before and after steroid treatment, compared with a sex-matched healthy control toddler.</p><p><strong>Results: </strong>A total of 20,411 cells were sequenced and clustered into 10 cell types. In IP compared with control, upregulated significant gene set enrichment analysis gene ontology pathways (FDR <0.05) included defense response, complement activation, humoral immune response, and phagocytosis across all cell types. After steroid treatment, these pathways were predominantly downregulated in monocytes and neutrophils. The upregulated genes in IP that became downregulated after steroid treatment were interferon-related genes, oligoadenylate synthases, and immunoglobulin genes.</p><p><strong>Discussion: </strong>IP-associated loss of <i>NEMO</i> function is associated with a proinflammatory phenotype, that is moderated by steroids. scRNAseq provides a rationale for immune modulation in an n = 1 setting and valuable insights into the pathogenesis and therapeutics of this rare disease.</p>","PeriodicalId":19472,"journal":{"name":"Neurology® Neuroimmunology & Neuroinflammation","volume":"12 3","pages":"e200358"},"PeriodicalIF":7.5000,"publicationDate":"2025-05-01","publicationTypes":"Journal Article","fieldsOfStudy":null,"isOpenAccess":false,"openAccessPdf":"https://www.ncbi.nlm.nih.gov/pmc/articles/PMC11876987/pdf/","citationCount":"0","resultStr":null,"platform":"Semanticscholar","paperid":null,"PeriodicalName":"Neurology® Neuroimmunology & Neuroinflammation","FirstCategoryId":"3","ListUrlMain":"https://doi.org/10.1212/NXI.0000000000200358","RegionNum":1,"RegionCategory":"医学","ArticlePicture":[],"TitleCN":null,"AbstractTextCN":null,"PMCID":null,"EPubDate":"2025/2/28 0:00:00","PubModel":"Epub","JCR":"Q1","JCRName":"CLINICAL NEUROLOGY","Score":null,"Total":0}
引用次数: 0

Abstract

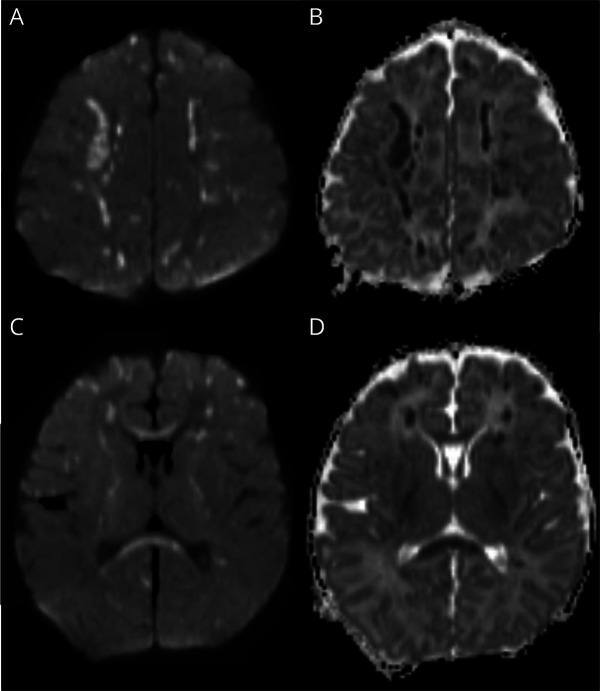
Background and objectives: DNA variations in the NF-kappa-B essential modulator (NEMO) gene are linked to incontinentia pigmenti (IP) and also immunodeficiency and autoinflammatory conditions. Some patients with IP present with neonatal vasculitis-like brain changes, although pathogenesis is unclear. We investigated cell-specific gene expression in a neonate with IP, who had encephalopathy, seizures, and vasculitis-like brain changes, and responded to steroid treatment.

Methods: Single-cell RNA (ribonucleic acid) sequencing (scRNAseq), using the HIVE single-cell system, was performed on a neonate with IP, before and after steroid treatment, compared with a sex-matched healthy control toddler.

Results: A total of 20,411 cells were sequenced and clustered into 10 cell types. In IP compared with control, upregulated significant gene set enrichment analysis gene ontology pathways (FDR <0.05) included defense response, complement activation, humoral immune response, and phagocytosis across all cell types. After steroid treatment, these pathways were predominantly downregulated in monocytes and neutrophils. The upregulated genes in IP that became downregulated after steroid treatment were interferon-related genes, oligoadenylate synthases, and immunoglobulin genes.

Discussion: IP-associated loss of NEMO function is associated with a proinflammatory phenotype, that is moderated by steroids. scRNAseq provides a rationale for immune modulation in an n = 1 setting and valuable insights into the pathogenesis and therapeutics of this rare disease.

Abstract Image

Abstract Image

Abstract Image

单细胞RNA测序在新生儿脑病的色素失禁显示类固醇调节广泛的免疫激活。
背景和目的:NF-kappa-B必需调节剂(NEMO)基因的DNA变异与色素失禁(IP)、免疫缺陷和自身炎症有关。一些IP患者表现为新生儿血管炎样脑改变,尽管发病机制尚不清楚。我们研究了一名患有脑病、癫痫和血管炎样脑改变的新生儿的细胞特异性基因表达,并对类固醇治疗有反应。方法:使用HIVE单细胞测序系统对一名IP新生儿在类固醇治疗前后进行单细胞RNA(核糖核酸)测序(scRNAseq),并与性别匹配的健康对照幼儿进行比较。结果:共测序了20411个细胞,并将其聚类为10种细胞类型。与对照组相比,IP相关的NEMO功能丧失与促炎表型相关,而促炎表型可由类固醇调节。scRNAseq为n = 1环境下的免疫调节提供了基本原理,并为这种罕见疾病的发病机制和治疗方法提供了有价值的见解。
本文章由计算机程序翻译,如有差异,请以英文原文为准。
求助全文
约1分钟内获得全文 求助全文
来源期刊
CiteScore
15.60
自引率
2.30%
发文量
219
审稿时长
8 weeks
期刊介绍: Neurology Neuroimmunology & Neuroinflammation is an official journal of the American Academy of Neurology. Neurology: Neuroimmunology & Neuroinflammation will be the premier peer-reviewed journal in neuroimmunology and neuroinflammation. This journal publishes rigorously peer-reviewed open-access reports of original research and in-depth reviews of topics in neuroimmunology & neuroinflammation, affecting the full range of neurologic diseases including (but not limited to) Alzheimer's disease, Parkinson's disease, ALS, tauopathy, and stroke; multiple sclerosis and NMO; inflammatory peripheral nerve and muscle disease, Guillain-Barré and myasthenia gravis; nervous system infection; paraneoplastic syndromes, noninfectious encephalitides and other antibody-mediated disorders; and psychiatric and neurodevelopmental disorders. Clinical trials, instructive case reports, and small case series will also be featured.
×
引用
GB/T 7714-2015
复制
MLA
复制
APA
复制
导出至
BibTeX EndNote RefMan NoteFirst NoteExpress
×
提示
您的信息不完整,为了账户安全,请先补充。
现在去补充
×
提示
您因"违规操作"
具体请查看互助需知
我知道了
×
提示
确定
请完成安全验证×
copy
已复制链接
快去分享给好友吧!
我知道了
右上角分享
点击右上角分享
0
联系我们:info@booksci.cn Book学术提供免费学术资源搜索服务,方便国内外学者检索中英文文献。致力于提供最便捷和优质的服务体验。 Copyright © 2023 布克学术 All rights reserved.
京ICP备2023020795号-1
ghs 京公网安备 11010802042870号
Book学术文献互助
Book学术文献互助群
群 号:604180095
Book学术官方微信