Mastication Influences Human Brain Anatomy.

IF 1 Q3 DENTISTRY, ORAL SURGERY & MEDICINE
eJournal of Oral Maxillofacial Research Pub Date : 2024-12-31 eCollection Date: 2024-10-01 DOI:10.5037/jomr.2024.15404
Lucia Lopez-Chaichio, Pablo Galindo-Moreno, Miguel Padial-Molina, Lourdes Gutierrez-Garrido, Roque Rodriguez-Alvarez, Francisco O'Valle, Andres Catena
{"title":"Mastication Influences Human Brain Anatomy.","authors":"Lucia Lopez-Chaichio, Pablo Galindo-Moreno, Miguel Padial-Molina, Lourdes Gutierrez-Garrido, Roque Rodriguez-Alvarez, Francisco O'Valle, Andres Catena","doi":"10.5037/jomr.2024.15404","DOIUrl":null,"url":null,"abstract":"<p><strong>Objectives: </strong>The purpose of this observational clinical study was to evaluate the relationship between brain anatomical and volumetric changes in white matter, grey matter, and cerebral cortex thickness with the number of functional occlusal pairs present in the mouth.</p><p><strong>Material and methods: </strong>The number of functional occlusal pairs in 70 patients was counted and non-invasive brain analysis was performed using magnetic resonance imaging. The volume of grey matter, white matter, and thickness of the cortex in different areas of the brain were determined by SPM12 and CAT12 software. Multiple regression model corrected for multiple comparisons using FDR and Spearman correlation coefficient were calculated for statistical comparison.</p><p><strong>Results: </strong>A total of 70 (39 male, 31 female) were analysed, with an average number of occlusal pairs of 10.21 (3.99). According to the Spearman correlation coefficient, a lower number of occlusal pairs was related to a reduction in white matter (right external capsule and posterior limb of the internal capsule), a reduction in grey matter (right temporal superior and medial gyrus and left <i>cerebellum crus</i> 1) and a reduction in thickness of the cerebral cortex (rostral anterior cingulated cortex of the right hemisphere and areas in the right and left hemisphere, especially in the frontal cortex).</p><p><strong>Conclusions: </strong>The number of occlusal pairs is related to the volume of white matter, grey matter, and thickness of the cerebral cortex in areas of the brain that are directly involved in the onset and progression of Alzheimer's disease and other dementias.</p>","PeriodicalId":53254,"journal":{"name":"eJournal of Oral Maxillofacial Research","volume":"15 4","pages":"e4"},"PeriodicalIF":1.0000,"publicationDate":"2024-12-31","publicationTypes":"Journal Article","fieldsOfStudy":null,"isOpenAccess":false,"openAccessPdf":"https://www.ncbi.nlm.nih.gov/pmc/articles/PMC11863650/pdf/","citationCount":"0","resultStr":null,"platform":"Semanticscholar","paperid":null,"PeriodicalName":"eJournal of Oral Maxillofacial Research","FirstCategoryId":"1085","ListUrlMain":"https://doi.org/10.5037/jomr.2024.15404","RegionNum":0,"RegionCategory":null,"ArticlePicture":[],"TitleCN":null,"AbstractTextCN":null,"PMCID":null,"EPubDate":"2024/10/1 0:00:00","PubModel":"eCollection","JCR":"Q3","JCRName":"DENTISTRY, ORAL SURGERY & MEDICINE","Score":null,"Total":0}
引用次数: 0

Abstract

Objectives: The purpose of this observational clinical study was to evaluate the relationship between brain anatomical and volumetric changes in white matter, grey matter, and cerebral cortex thickness with the number of functional occlusal pairs present in the mouth.

Material and methods: The number of functional occlusal pairs in 70 patients was counted and non-invasive brain analysis was performed using magnetic resonance imaging. The volume of grey matter, white matter, and thickness of the cortex in different areas of the brain were determined by SPM12 and CAT12 software. Multiple regression model corrected for multiple comparisons using FDR and Spearman correlation coefficient were calculated for statistical comparison.

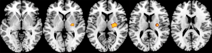
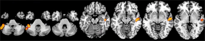
Results: A total of 70 (39 male, 31 female) were analysed, with an average number of occlusal pairs of 10.21 (3.99). According to the Spearman correlation coefficient, a lower number of occlusal pairs was related to a reduction in white matter (right external capsule and posterior limb of the internal capsule), a reduction in grey matter (right temporal superior and medial gyrus and left cerebellum crus 1) and a reduction in thickness of the cerebral cortex (rostral anterior cingulated cortex of the right hemisphere and areas in the right and left hemisphere, especially in the frontal cortex).

Conclusions: The number of occlusal pairs is related to the volume of white matter, grey matter, and thickness of the cerebral cortex in areas of the brain that are directly involved in the onset and progression of Alzheimer's disease and other dementias.

Abstract Image

Abstract Image

Abstract Image

咀嚼影响人脑解剖学。
目的:本观察性临床研究的目的是评估脑白质、灰质和大脑皮层厚度的解剖和体积变化与口腔功能咬合对的数量之间的关系。材料与方法:统计70例患者功能性咬合对数,采用磁共振成像进行无创脑分析。采用SPM12和CAT12软件分别测定脑不同区域灰质、白质体积和皮层厚度。采用FDR和Spearman相关系数进行多重比较校正,计算多元回归模型进行统计比较。结果:共分析70例患者,其中男39例,女31例,平均咬合对数10.21对(3.99对)。根据Spearman相关系数,较低的咬合对数与白质(右外囊和内囊后肢)减少、灰质(右颞上回和内侧回和左小脑脚1)减少和大脑皮层(右半球吻侧前扣带皮层和左右半球区域,特别是额叶皮质)厚度减少有关。结论:咬合对的数量与大脑中直接参与阿尔茨海默病和其他痴呆症的发生和发展的区域的白质、灰质体积和大脑皮层厚度有关。
本文章由计算机程序翻译,如有差异,请以英文原文为准。
求助全文
约1分钟内获得全文 求助全文
来源期刊
自引率
0.00%
发文量
19
审稿时长
12 weeks
×
引用
GB/T 7714-2015
复制
MLA
复制
APA
复制
导出至
BibTeX EndNote RefMan NoteFirst NoteExpress
×
提示
您的信息不完整,为了账户安全,请先补充。
现在去补充
×
提示
您因"违规操作"
具体请查看互助需知
我知道了
×
提示
确定
请完成安全验证×
copy
已复制链接
快去分享给好友吧!
我知道了
右上角分享
点击右上角分享
0
联系我们:info@booksci.cn Book学术提供免费学术资源搜索服务,方便国内外学者检索中英文文献。致力于提供最便捷和优质的服务体验。 Copyright © 2023 布克学术 All rights reserved.
京ICP备2023020795号-1
ghs 京公网安备 11010802042870号
Book学术文献互助
Book学术文献互助群
群 号:604180095
Book学术官方微信