Multimodal Treatment of a Spontaneously Ruptured Echinococcus Cyst of the Spleen and Its Complications.

IF 0.5 Q4 GASTROENTEROLOGY & HEPATOLOGY
Case Reports in Gastrointestinal Medicine Pub Date : 2025-02-20 eCollection Date: 2025-01-01 DOI:10.1155/crgm/6657981
Sévérine De Bruijn, Annick De Weerdt, Glenn Broeckx, Maarten Spinhoven, Rudi De Paep, Dominique Robert, Niels Komen, Philippe G Jorens
{"title":"Multimodal Treatment of a Spontaneously Ruptured Echinococcus Cyst of the Spleen and Its Complications.","authors":"Sévérine De Bruijn, Annick De Weerdt, Glenn Broeckx, Maarten Spinhoven, Rudi De Paep, Dominique Robert, Niels Komen, Philippe G Jorens","doi":"10.1155/crgm/6657981","DOIUrl":null,"url":null,"abstract":"<p><p><b>Introduction:</b> Cystic echinococcosis, also known as hydatid cyst, is a parasitic infection of mammals that can affect any organ. Although the diagnosis of primary splenic echinococcosis is challenging, especially in nonendemic areas, it can be life-saving because an anaphylactic shock may occur when the cyst ruptures. Recommendations regarding optimal treatment options after rupture are scarce, and the overall prognosis remains poor. <b>Case Presentation:</b> A patient with a spontaneous rupture of an isolated splenic hydatid cyst was treated with splenectomy and peritoneal lavage with a hypertonic salt solution. The patient survived despite rapidly progressive hypernatremia, which was treated with conventional therapy along with continuous venovenous hemofiltration with gradient sodium replacement. <b>Discussion:</b> When the decision is made to treat a patient with a spontaneously ruptured splenic echinococcus cyst, splenectomy is the only surgical option. Hypernatremia is a complication to be expected when hypertonic saline is used to rinse the splenic and abdominal cavities. <b>Conclusion:</b> This case highlights the importance of prompt surgical intervention and the management of hypernatremia in patients with ruptured splenic hydatid cysts.</p>","PeriodicalId":45645,"journal":{"name":"Case Reports in Gastrointestinal Medicine","volume":"2025 ","pages":"6657981"},"PeriodicalIF":0.5000,"publicationDate":"2025-02-20","publicationTypes":"Journal Article","fieldsOfStudy":null,"isOpenAccess":false,"openAccessPdf":"https://www.ncbi.nlm.nih.gov/pmc/articles/PMC11867722/pdf/","citationCount":"0","resultStr":null,"platform":"Semanticscholar","paperid":null,"PeriodicalName":"Case Reports in Gastrointestinal Medicine","FirstCategoryId":"1085","ListUrlMain":"https://doi.org/10.1155/crgm/6657981","RegionNum":0,"RegionCategory":null,"ArticlePicture":[],"TitleCN":null,"AbstractTextCN":null,"PMCID":null,"EPubDate":"2025/1/1 0:00:00","PubModel":"eCollection","JCR":"Q4","JCRName":"GASTROENTEROLOGY & HEPATOLOGY","Score":null,"Total":0}
引用次数: 0

Abstract

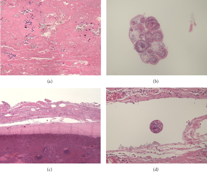
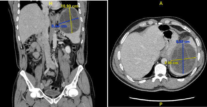
Introduction: Cystic echinococcosis, also known as hydatid cyst, is a parasitic infection of mammals that can affect any organ. Although the diagnosis of primary splenic echinococcosis is challenging, especially in nonendemic areas, it can be life-saving because an anaphylactic shock may occur when the cyst ruptures. Recommendations regarding optimal treatment options after rupture are scarce, and the overall prognosis remains poor. Case Presentation: A patient with a spontaneous rupture of an isolated splenic hydatid cyst was treated with splenectomy and peritoneal lavage with a hypertonic salt solution. The patient survived despite rapidly progressive hypernatremia, which was treated with conventional therapy along with continuous venovenous hemofiltration with gradient sodium replacement. Discussion: When the decision is made to treat a patient with a spontaneously ruptured splenic echinococcus cyst, splenectomy is the only surgical option. Hypernatremia is a complication to be expected when hypertonic saline is used to rinse the splenic and abdominal cavities. Conclusion: This case highlights the importance of prompt surgical intervention and the management of hypernatremia in patients with ruptured splenic hydatid cysts.

Abstract Image

Abstract Image

Abstract Image

脾棘球蚴囊肿自发性破裂的多模式治疗及其并发症。
简介:囊性棘球蚴病,又称包虫病,是一种可影响任何器官的哺乳动物寄生虫感染。虽然原发性脾棘球蚴病的诊断具有挑战性,特别是在非流行地区,但它可以挽救生命,因为当囊肿破裂时可能发生过敏性休克。关于破裂后最佳治疗方案的建议很少,总体预后仍然很差。病例介绍:一例孤立性脾包虫囊肿自发性破裂的患者接受脾切除术和高渗盐溶液腹腔灌洗治疗。尽管患者的高钠血症进展迅速,但患者仍存活了下来,并接受了常规治疗,同时进行了持续的静脉静脉血液滤过和梯度钠替代。讨论:当决定治疗自发性破裂的脾棘球蚴囊肿患者时,脾切除术是唯一的手术选择。当使用高渗生理盐水冲洗脾腔和腹腔时,高钠血症是可能出现的并发症。结论:本病例强调了脾包囊破裂患者及时手术干预和处理高钠血症的重要性。
本文章由计算机程序翻译,如有差异,请以英文原文为准。
求助全文
约1分钟内获得全文 求助全文
来源期刊
Case Reports in Gastrointestinal Medicine
Case Reports in Gastrointestinal Medicine GASTROENTEROLOGY & HEPATOLOGY-
自引率
0.00%
发文量
33
审稿时长
14 weeks
×
引用
GB/T 7714-2015
复制
MLA
复制
APA
复制
导出至
BibTeX EndNote RefMan NoteFirst NoteExpress
×
提示
您的信息不完整,为了账户安全,请先补充。
现在去补充
×
提示
您因"违规操作"
具体请查看互助需知
我知道了
×
提示
确定
请完成安全验证×
copy
已复制链接
快去分享给好友吧!
我知道了
右上角分享
点击右上角分享
0
联系我们:info@booksci.cn Book学术提供免费学术资源搜索服务,方便国内外学者检索中英文文献。致力于提供最便捷和优质的服务体验。 Copyright © 2023 布克学术 All rights reserved.
京ICP备2023020795号-1
ghs 京公网安备 11010802042870号
Book学术文献互助
Book学术文献互助群
群 号:604180095
Book学术官方微信