Evaluation of the cortication ratio and visibility of mandibular canal and mandibular incisive canal in patients with mandibular cortical index type 1 on cone-beam computed tomography images.

Q2 Dentistry
Roghieh Bardal, Ahad Alizadeh, Vahid Nouri, Mohammad Salehi
{"title":"Evaluation of the cortication ratio and visibility of mandibular canal and mandibular incisive canal in patients with mandibular cortical index type 1 on cone-beam computed tomography images.","authors":"Roghieh Bardal, Ahad Alizadeh, Vahid Nouri, Mohammad Salehi","doi":"10.4103/jisp.jisp_275_23","DOIUrl":null,"url":null,"abstract":"<p><strong>Background: </strong>Mandibular canal visibility (MCV) is important to determine the relative position of the mandibular canal (MC) before any invasive surgery. It depends on the cortication ratio (CR) of the canal's superior border. This study aimed to evaluate the MCV and CR in patients with mandibular cortical index 1 (MCI1).</p><p><strong>Materials and methods: </strong>In this retrospective study, 132 mandibular cone-beam computed tomography images of patients with MCI1 were evaluated. 6-point rating MCV score and CR were determined for cross-sections of the MC in the following areas: incisive canal (INC), mental foramen and canal (MF), first premolar to the third molar (1PM, 2PM, 1M, 2M, and 3M), and the corresponding edentulous areas (E1PM-E3M). 1PM was overlapped with MF in most cases. An MCV score1 (excellent visibility) and 2PM area were considered reference levels.</p><p><strong>Results: </strong>Sex and age did not significantly affect the MCV score or CR (<i>P</i> > 0.05). 98.6% of the INC and 92.31%-100% of the MC were visible. The mean ± SD of the CR in the INC and MC was 0.86 (0.23) and 0.77 (0.29), respectively. The estimated difference in the mean CR was statistically significant only between the INC area and dentulous areas (<i>P</i> < 0.001).</p><p><strong>Conclusion: </strong>Despite the higher presence probability of score 2 in the 1M relative to 2PM, there was no significant decrease in the visible cases and CR of this area. Invisible cases were significantly lower in the INC, MF, and 3M areas.</p>","PeriodicalId":15890,"journal":{"name":"Journal of Indian Society of Periodontology","volume":"28 4","pages":"449-455"},"PeriodicalIF":0.0000,"publicationDate":"2024-07-01","publicationTypes":"Journal Article","fieldsOfStudy":null,"isOpenAccess":false,"openAccessPdf":"https://www.ncbi.nlm.nih.gov/pmc/articles/PMC11864344/pdf/","citationCount":"0","resultStr":null,"platform":"Semanticscholar","paperid":null,"PeriodicalName":"Journal of Indian Society of Periodontology","FirstCategoryId":"1085","ListUrlMain":"https://doi.org/10.4103/jisp.jisp_275_23","RegionNum":0,"RegionCategory":null,"ArticlePicture":[],"TitleCN":null,"AbstractTextCN":null,"PMCID":null,"EPubDate":"2025/1/6 0:00:00","PubModel":"Epub","JCR":"Q2","JCRName":"Dentistry","Score":null,"Total":0}
引用次数: 0

Abstract

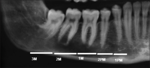
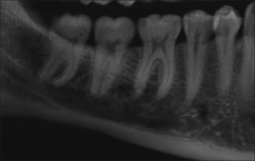
Background: Mandibular canal visibility (MCV) is important to determine the relative position of the mandibular canal (MC) before any invasive surgery. It depends on the cortication ratio (CR) of the canal's superior border. This study aimed to evaluate the MCV and CR in patients with mandibular cortical index 1 (MCI1).

Materials and methods: In this retrospective study, 132 mandibular cone-beam computed tomography images of patients with MCI1 were evaluated. 6-point rating MCV score and CR were determined for cross-sections of the MC in the following areas: incisive canal (INC), mental foramen and canal (MF), first premolar to the third molar (1PM, 2PM, 1M, 2M, and 3M), and the corresponding edentulous areas (E1PM-E3M). 1PM was overlapped with MF in most cases. An MCV score1 (excellent visibility) and 2PM area were considered reference levels.

Results: Sex and age did not significantly affect the MCV score or CR (P > 0.05). 98.6% of the INC and 92.31%-100% of the MC were visible. The mean ± SD of the CR in the INC and MC was 0.86 (0.23) and 0.77 (0.29), respectively. The estimated difference in the mean CR was statistically significant only between the INC area and dentulous areas (P < 0.001).

Conclusion: Despite the higher presence probability of score 2 in the 1M relative to 2PM, there was no significant decrease in the visible cases and CR of this area. Invisible cases were significantly lower in the INC, MF, and 3M areas.

Abstract Image

Abstract Image

Abstract Image

锥形束ct评价下颌骨皮质指数为1型患者下颌骨管和下颌骨切管皮质化率及可见性。
背景:下颌管可见度(MCV)对于在任何侵入性手术前确定下颌管(MC)的相对位置非常重要。它取决于下颌管上缘的骨化率(CR)。本研究旨在评估下颌骨皮质指数 1(MCI1)患者的 MCV 和 CR:在这项回顾性研究中,对 132 名 MCI1 患者的下颌骨锥束计算机断层扫描图像进行了评估。对以下区域的 MC 横断面进行了 6 分制 MCV 评分和 CR 测定:切管(INC)、心孔和心管(MF)、第一前磨牙至第三磨牙(1PM、2PM、1M、2M 和 3M)以及相应的无牙颌区域(E1PM-E3M)。大多数情况下,1PM 与 MF 重叠。MCV评分1(能见度极佳)和2PM区域被视为参考水平:结果:性别和年龄对 MCV 分数和 CR 没有明显影响(P > 0.05)。98.6%的INC和92.31%-100%的MC可见。INC 和 MC CR 的平均值(± SD)分别为 0.86 (0.23) 和 0.77 (0.29)。平均 CR 的估计差异仅在 INC 区和无牙区之间有统计学意义(P < 0.001):结论:尽管相对于 2PM 地区,1M 地区的 2 分出现概率更高,但该地区的可见病例数和 CR 并没有显著下降。INC、MF 和 3M 区域的隐匿病例明显较少。
本文章由计算机程序翻译,如有差异,请以英文原文为准。
求助全文
约1分钟内获得全文 求助全文
来源期刊
CiteScore
1.70
自引率
0.00%
发文量
87
审稿时长
44 weeks
期刊介绍: The Journal of Indian Society of Periodontology publishes original scientific articles to support practice , education and research in the dental specialty of periodontology and oral implantology. Journal of Indian Society of Periodontology (JISP), is the official publication of the Society and is managed and brought out by the Editor of the society. The journal is published Bimonthly with special issues being brought out for specific occasions. The ISP had a bulletin as its publication for a large number of years and was enhanced as a Journal a few years ago
×
引用
GB/T 7714-2015
复制
MLA
复制
APA
复制
导出至
BibTeX EndNote RefMan NoteFirst NoteExpress
×
提示
您的信息不完整,为了账户安全,请先补充。
现在去补充
×
提示
您因"违规操作"
具体请查看互助需知
我知道了
×
提示
确定
请完成安全验证×
copy
已复制链接
快去分享给好友吧!
我知道了
右上角分享
点击右上角分享
0
联系我们:info@booksci.cn Book学术提供免费学术资源搜索服务,方便国内外学者检索中英文文献。致力于提供最便捷和优质的服务体验。 Copyright © 2023 布克学术 All rights reserved.
京ICP备2023020795号-1
ghs 京公网安备 11010802042870号
Book学术文献互助
Book学术文献互助群
群 号:604180095
Book学术官方微信