Delay in detection of urethral catheter misplacement in the vagina of an older adult patient due to urinary outflow during catheterization: a case report.

IF 1 Q3 ANESTHESIOLOGY
Hisashi Shio, Takao Setsu, Tomonobu Takagaki, Hiroshi Adachi, Makoto Kiuchi, Hideyuki Tsubokura
{"title":"Delay in detection of urethral catheter misplacement in the vagina of an older adult patient due to urinary outflow during catheterization: a case report.","authors":"Hisashi Shio, Takao Setsu, Tomonobu Takagaki, Hiroshi Adachi, Makoto Kiuchi, Hideyuki Tsubokura","doi":"10.1186/s40981-025-00776-x","DOIUrl":null,"url":null,"abstract":"<p><strong>Background: </strong>To our knowledge, no previous case report explicitly shows that urethral catheter misplacement in the vagina cannot be ruled out even if urinary outflow is observed during catheterization.</p><p><strong>Case presentation: </strong>A 70-year-old female underwent urethral catheterization during induction of general anesthesia for hemiarthroplasty using a bipolar hip prosthesis. Although the urethral meatus could not be visualized, urinary outflow was observed. However, drainage subsequently stopped, and the catheter was eventually found to have been misplaced in the vagina. Detection of the catheter misplacement was delayed because of the assumption that no urinary outflow occurs when the catheter is misplaced in the vagina.</p><p><strong>Conclusion: </strong>Even if urinary outflow is observed during female urethral catheterization, catheter misplacement in the vagina cannot be ruled out; therefore, catheter misplacement in the vagina must be verified in patients for whom the urethral meatus cannot be identified for catheter insertion or when drainage stops.</p>","PeriodicalId":14635,"journal":{"name":"JA Clinical Reports","volume":"11 1","pages":"14"},"PeriodicalIF":1.0000,"publicationDate":"2025-02-28","publicationTypes":"Journal Article","fieldsOfStudy":null,"isOpenAccess":false,"openAccessPdf":"https://www.ncbi.nlm.nih.gov/pmc/articles/PMC11871251/pdf/","citationCount":"0","resultStr":null,"platform":"Semanticscholar","paperid":null,"PeriodicalName":"JA Clinical Reports","FirstCategoryId":"1085","ListUrlMain":"https://doi.org/10.1186/s40981-025-00776-x","RegionNum":0,"RegionCategory":null,"ArticlePicture":[],"TitleCN":null,"AbstractTextCN":null,"PMCID":null,"EPubDate":"","PubModel":"","JCR":"Q3","JCRName":"ANESTHESIOLOGY","Score":null,"Total":0}
引用次数: 0

Abstract

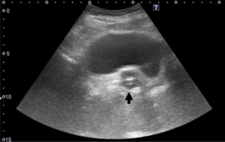
Background: To our knowledge, no previous case report explicitly shows that urethral catheter misplacement in the vagina cannot be ruled out even if urinary outflow is observed during catheterization.

Case presentation: A 70-year-old female underwent urethral catheterization during induction of general anesthesia for hemiarthroplasty using a bipolar hip prosthesis. Although the urethral meatus could not be visualized, urinary outflow was observed. However, drainage subsequently stopped, and the catheter was eventually found to have been misplaced in the vagina. Detection of the catheter misplacement was delayed because of the assumption that no urinary outflow occurs when the catheter is misplaced in the vagina.

Conclusion: Even if urinary outflow is observed during female urethral catheterization, catheter misplacement in the vagina cannot be ruled out; therefore, catheter misplacement in the vagina must be verified in patients for whom the urethral meatus cannot be identified for catheter insertion or when drainage stops.

Abstract Image

Abstract Image

Abstract Image

延迟发现尿道导管放置在阴道的老年患者由于尿流出导尿期间:一个病例报告。
背景:据我们所知,以往没有病例报告明确表明,即使在置管过程中观察到尿流出,也不能排除尿道导管放置在阴道内的可能性。病例介绍:一名70岁女性在全身麻醉诱导下行导尿术,采用双相髋关节假体进行半关节置换术。虽然不能看到尿道道,但观察到尿流出。然而,引流随后停止,导管最终被发现在阴道错位。由于假设导管放置在阴道内时不会发生尿流出,因此延迟了对导管放置错误的检测。结论:即使在女性导尿过程中出现尿流出,也不能排除导管放置在阴道内的可能性;因此,对于无法确定尿道道以插入导管或引流停止的患者,必须验证导管在阴道内的错位。
本文章由计算机程序翻译,如有差异,请以英文原文为准。
求助全文
约1分钟内获得全文 求助全文
来源期刊
JA Clinical Reports
JA Clinical Reports ANESTHESIOLOGY-
CiteScore
1.30
自引率
0.00%
发文量
90
审稿时长
9 weeks
期刊介绍: JA Clinical Reports is a companion journal to the Journal of Anesthesia (JA), the official journal of the Japanese Society of Anesthesiologists (JSA). This journal is an open access, peer-reviewed, online journal related to clinical anesthesia practices such as anesthesia management, pain management and intensive care. Case reports are very important articles from the viewpoint of education and the cultivation of scientific thinking in the field of anesthesia. However, submissions of anesthesia research and clinical reports from Japan are notably decreasing in major anesthesia journals. Therefore, the JSA has decided to launch a new journal, JA Clinical Reports, to encourage JSA members, particularly junior Japanese anesthesiologists, to publish papers in English language.
×
引用
GB/T 7714-2015
复制
MLA
复制
APA
复制
导出至
BibTeX EndNote RefMan NoteFirst NoteExpress
×
提示
您的信息不完整,为了账户安全,请先补充。
现在去补充
×
提示
您因"违规操作"
具体请查看互助需知
我知道了
×
提示
确定
请完成安全验证×
copy
已复制链接
快去分享给好友吧!
我知道了
右上角分享
点击右上角分享
0
联系我们:info@booksci.cn Book学术提供免费学术资源搜索服务,方便国内外学者检索中英文文献。致力于提供最便捷和优质的服务体验。 Copyright © 2023 布克学术 All rights reserved.
京ICP备2023020795号-1
ghs 京公网安备 11010802042870号
Book学术文献互助
Book学术文献互助群
群 号:604180095
Book学术官方微信