Echocardiography and Heart Failure: An Echocardiographic Decision Aid for the Diagnosis and Management of Cardiomyopathies.

IF 3.3 3区 医学 Q2 CARDIAC & CARDIOVASCULAR SYSTEMS
Ashley Pender, Jessica Lewis-Owona, Abdulmojeed Ekiyoyo, Marcus Stoddard
{"title":"Echocardiography and Heart Failure: An Echocardiographic Decision Aid for the Diagnosis and Management of Cardiomyopathies.","authors":"Ashley Pender, Jessica Lewis-Owona, Abdulmojeed Ekiyoyo, Marcus Stoddard","doi":"10.1007/s11886-025-02194-y","DOIUrl":null,"url":null,"abstract":"<p><strong>Purpose of review: </strong>The purpose of this review is to highlight the utility of echocardiography in the diagnosis and management of cardiomyopathies.</p><p><strong>Recent findings: </strong>Echocardiographic parameters function synergistically to guide decision-making ranging from early detection of disease and screening to risk stratification of complex disease. The collective wealth of information available from 2D/3D assessment, Doppler, diastology and strain makes echocardiography an invaluable decision aid.</p>","PeriodicalId":10829,"journal":{"name":"Current Cardiology Reports","volume":"27 1","pages":"64"},"PeriodicalIF":3.3000,"publicationDate":"2025-02-28","publicationTypes":"Journal Article","fieldsOfStudy":null,"isOpenAccess":false,"openAccessPdf":"https://www.ncbi.nlm.nih.gov/pmc/articles/PMC11870920/pdf/","citationCount":"0","resultStr":null,"platform":"Semanticscholar","paperid":null,"PeriodicalName":"Current Cardiology Reports","FirstCategoryId":"3","ListUrlMain":"https://doi.org/10.1007/s11886-025-02194-y","RegionNum":3,"RegionCategory":"医学","ArticlePicture":[],"TitleCN":null,"AbstractTextCN":null,"PMCID":null,"EPubDate":"","PubModel":"","JCR":"Q2","JCRName":"CARDIAC & CARDIOVASCULAR SYSTEMS","Score":null,"Total":0}
引用次数: 0

Abstract

Purpose of review: The purpose of this review is to highlight the utility of echocardiography in the diagnosis and management of cardiomyopathies.

Recent findings: Echocardiographic parameters function synergistically to guide decision-making ranging from early detection of disease and screening to risk stratification of complex disease. The collective wealth of information available from 2D/3D assessment, Doppler, diastology and strain makes echocardiography an invaluable decision aid.

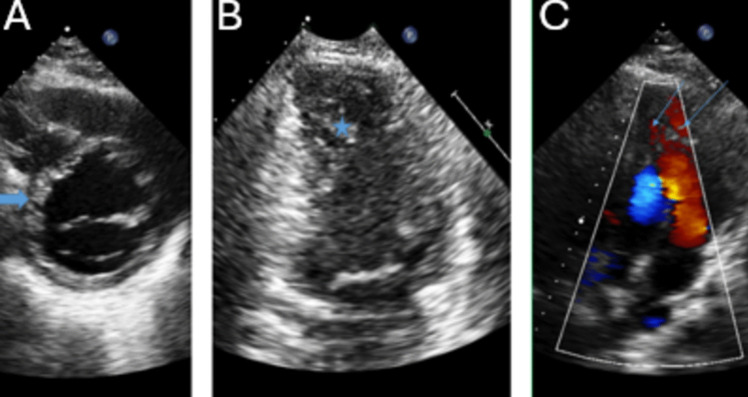
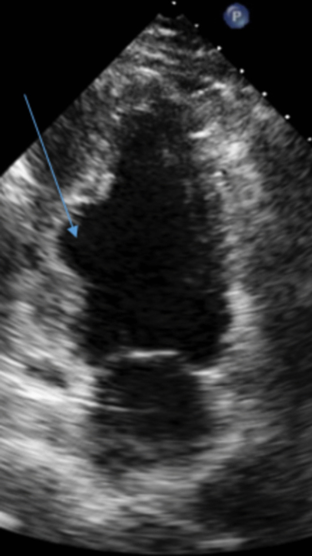
Abstract Image

Abstract Image

Abstract Image

超声心动图与心力衰竭:超声心动图对心肌病诊断和治疗的辅助决策。
综述目的:本综述的目的是强调超声心动图在心肌病诊断和治疗中的应用。最近发现:超声心动图参数协同作用,指导决策范围从疾病的早期发现和筛查到复杂疾病的风险分层。从2D/3D评估、多普勒、心脏病学和应变中获得的大量信息使超声心动图成为一种宝贵的决策辅助工具。
本文章由计算机程序翻译,如有差异,请以英文原文为准。
求助全文
约1分钟内获得全文 求助全文
来源期刊
Current Cardiology Reports
Current Cardiology Reports CARDIAC & CARDIOVASCULAR SYSTEMS-
CiteScore
6.20
自引率
2.70%
发文量
209
期刊介绍: The aim of this journal is to provide timely perspectives from experts on current advances in cardiovascular medicine. We also seek to provide reviews that highlight the most important recently published papers selected from the wealth of available cardiovascular literature. We accomplish this aim by appointing key authorities in major subject areas across the discipline. Section editors select topics to be reviewed by leading experts who emphasize recent developments and highlight important papers published over the past year. An Editorial Board of internationally diverse members suggests topics of special interest to their country/region and ensures that topics are current and include emerging research. We also provide commentaries from well-known figures in the field.
×
引用
GB/T 7714-2015
复制
MLA
复制
APA
复制
导出至
BibTeX EndNote RefMan NoteFirst NoteExpress
×
提示
您的信息不完整,为了账户安全,请先补充。
现在去补充
×
提示
您因"违规操作"
具体请查看互助需知
我知道了
×
提示
确定
请完成安全验证×
copy
已复制链接
快去分享给好友吧!
我知道了
右上角分享
点击右上角分享
0
联系我们:info@booksci.cn Book学术提供免费学术资源搜索服务,方便国内外学者检索中英文文献。致力于提供最便捷和优质的服务体验。 Copyright © 2023 布克学术 All rights reserved.
京ICP备2023020795号-1
ghs 京公网安备 11010802042870号
Book学术文献互助
Book学术文献互助群
群 号:604180095
Book学术官方微信