Pathohistological Diagnosis of Burkitt's Lymphoma After Cervical Biopsy-Case Report with Literature Review.

Amela Ceric, Amela Banicevic, Zvjezdana Ritan Micic, Danijela Dubravac, Bozana Babic
{"title":"Pathohistological Diagnosis of Burkitt's Lymphoma After Cervical Biopsy-Case Report with Literature Review.","authors":"Amela Ceric, Amela Banicevic, Zvjezdana Ritan Micic, Danijela Dubravac, Bozana Babic","doi":"10.5455/medarh.2024.78.250-253","DOIUrl":null,"url":null,"abstract":"<p><strong>Background: </strong>Burkitt's lymphoma (BL)belongs to the group of lymphomas with an aggressive clinical course. It is a rare form of lymphoma in adults with an incidence of 1200 patients per year in the USA.</p><p><strong>Objective: </strong>The aim of this article was to present for the first time the case of a patient in whom Burkitt's lymphoma was proven by biopsy and curettage of the uterus, and at the same time in the biopsy of palatine tonsil and bone.</p><p><strong>Case report: </strong>A 64-year-old female patient who comes because of difficulty in swallowing, enlarged neck lymph nodes and vaginal bleeding. Under diagnosis Lymphoma non Hodgkin Burkitt CS IV B, ECOG 3, IPI 5 (high risk), R-IPI:5 (poor prognostic index) introduction of IHT R-CHOP 4 cycles with therapeutic response.</p><p><strong>Conclusion: </strong>A multidisciplinary approach is needed in the case of suspicion and diagnosis of BL, which is most often in an advanced form.</p>","PeriodicalId":94135,"journal":{"name":"Medical archives (Sarajevo, Bosnia and Herzegovina)","volume":"78 3","pages":"250-253"},"PeriodicalIF":0.0000,"publicationDate":"2024-01-01","publicationTypes":"Journal Article","fieldsOfStudy":null,"isOpenAccess":false,"openAccessPdf":"https://www.ncbi.nlm.nih.gov/pmc/articles/PMC11854893/pdf/","citationCount":"0","resultStr":null,"platform":"Semanticscholar","paperid":null,"PeriodicalName":"Medical archives (Sarajevo, Bosnia and Herzegovina)","FirstCategoryId":"1085","ListUrlMain":"https://doi.org/10.5455/medarh.2024.78.250-253","RegionNum":0,"RegionCategory":null,"ArticlePicture":[],"TitleCN":null,"AbstractTextCN":null,"PMCID":null,"EPubDate":"","PubModel":"","JCR":"","JCRName":"","Score":null,"Total":0}
引用次数: 0

Abstract

Background: Burkitt's lymphoma (BL)belongs to the group of lymphomas with an aggressive clinical course. It is a rare form of lymphoma in adults with an incidence of 1200 patients per year in the USA.

Objective: The aim of this article was to present for the first time the case of a patient in whom Burkitt's lymphoma was proven by biopsy and curettage of the uterus, and at the same time in the biopsy of palatine tonsil and bone.

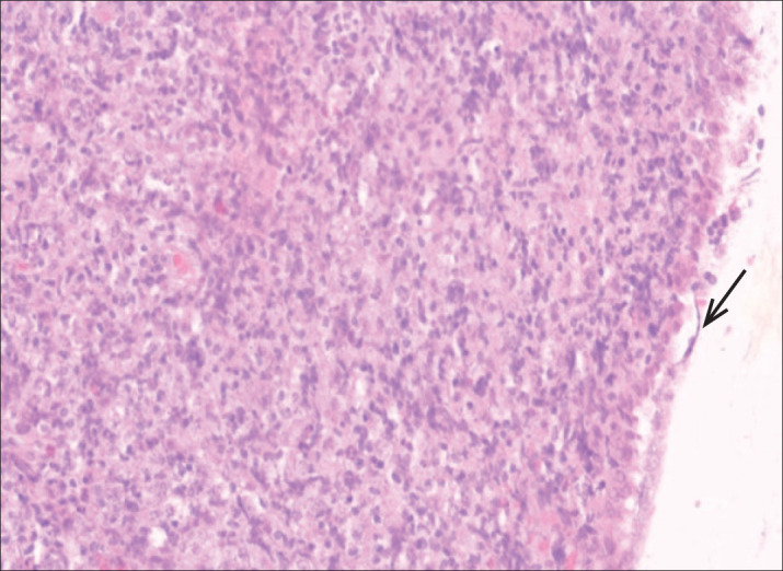
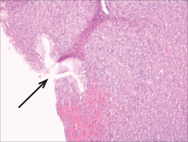
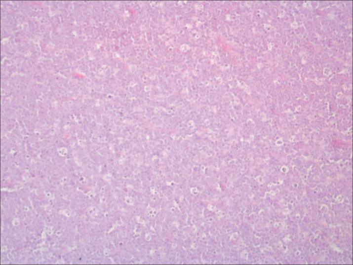
Case report: A 64-year-old female patient who comes because of difficulty in swallowing, enlarged neck lymph nodes and vaginal bleeding. Under diagnosis Lymphoma non Hodgkin Burkitt CS IV B, ECOG 3, IPI 5 (high risk), R-IPI:5 (poor prognostic index) introduction of IHT R-CHOP 4 cycles with therapeutic response.

Conclusion: A multidisciplinary approach is needed in the case of suspicion and diagnosis of BL, which is most often in an advanced form.

Abstract Image

Abstract Image

Abstract Image

宫颈活检诊断伯基特淋巴瘤1例并文献复习。
背景:伯基特淋巴瘤(BL)属于具有侵袭性临床病程的淋巴瘤。这是一种罕见的成人淋巴瘤,在美国每年的发病率为1200例。目的:本文的目的是首次报道一例通过子宫活检和刮除,同时在腭扁桃体和骨活检中证实Burkitt淋巴瘤的患者。病例报告:64岁女性患者因吞咽困难、颈部淋巴结肿大及阴道出血就诊。诊断为淋巴瘤的非霍奇金伯基特CS IV B, ECOG 3, IPI 5(高风险),R-IPI:5(预后不良指数)引入IHT R-CHOP 4周期治疗反应。结论:在BL的怀疑和诊断中,多为晚期,需要多学科联合检查。
本文章由计算机程序翻译,如有差异,请以英文原文为准。
求助全文
约1分钟内获得全文 求助全文
来源期刊
自引率
0.00%
发文量
0
×
引用
GB/T 7714-2015
复制
MLA
复制
APA
复制
导出至
BibTeX EndNote RefMan NoteFirst NoteExpress
×
提示
您的信息不完整,为了账户安全,请先补充。
现在去补充
×
提示
您因"违规操作"
具体请查看互助需知
我知道了
×
提示
确定
请完成安全验证×
copy
已复制链接
快去分享给好友吧!
我知道了
右上角分享
点击右上角分享
0
联系我们:info@booksci.cn Book学术提供免费学术资源搜索服务,方便国内外学者检索中英文文献。致力于提供最便捷和优质的服务体验。 Copyright © 2023 布克学术 All rights reserved.
京ICP备2023020795号-1
ghs 京公网安备 11010802042870号
Book学术文献互助
Book学术文献互助群
群 号:604180095
Book学术官方微信