Management of Early and Late Malperfusion Syndrome in Acute Type B Aortic Dissection with Retrograde Extension Using Hybrid Zone 2 Arch Repair and Thoracic Endovascular Aortic Repair: A Case Report.

Q3 Medicine
AORTA Pub Date : 2024-06-01 Epub Date: 2025-02-25 DOI:10.1055/s-0045-1802992
Daniela Votano, Hector W L de Beaufort, Rob H W van de Mortel, Uday Sonker, Robin H Heijmen, Hans G Smeenk
{"title":"Management of Early and Late Malperfusion Syndrome in Acute Type B Aortic Dissection with Retrograde Extension Using Hybrid Zone 2 Arch Repair and Thoracic Endovascular Aortic Repair: A Case Report.","authors":"Daniela Votano, Hector W L de Beaufort, Rob H W van de Mortel, Uday Sonker, Robin H Heijmen, Hans G Smeenk","doi":"10.1055/s-0045-1802992","DOIUrl":null,"url":null,"abstract":"<p><p>The distal extent of aortic repair in acute aortic dissection and the management of malperfusion in terms of timing and strategy are still debated topics. We present a case of acute type B dissection with retrograde extension to the ascending aorta, with the most proximal intimal tear in the descending thoracic aorta, associated with both early lower extremity and delayed mesenteric malperfusion syndrome, treated effectively by femoral artery open fenestration and hybrid zone 2 arch repair.</p>","PeriodicalId":52392,"journal":{"name":"AORTA","volume":" ","pages":"74-76"},"PeriodicalIF":0.0000,"publicationDate":"2024-06-01","publicationTypes":"Journal Article","fieldsOfStudy":null,"isOpenAccess":false,"openAccessPdf":"https://www.ncbi.nlm.nih.gov/pmc/articles/PMC11879488/pdf/","citationCount":"0","resultStr":null,"platform":"Semanticscholar","paperid":null,"PeriodicalName":"AORTA","FirstCategoryId":"1085","ListUrlMain":"https://doi.org/10.1055/s-0045-1802992","RegionNum":0,"RegionCategory":null,"ArticlePicture":[],"TitleCN":null,"AbstractTextCN":null,"PMCID":null,"EPubDate":"2025/2/25 0:00:00","PubModel":"Epub","JCR":"Q3","JCRName":"Medicine","Score":null,"Total":0}
引用次数: 0

Abstract

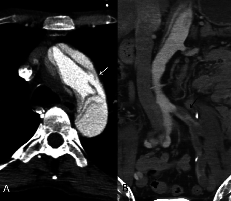
The distal extent of aortic repair in acute aortic dissection and the management of malperfusion in terms of timing and strategy are still debated topics. We present a case of acute type B dissection with retrograde extension to the ascending aorta, with the most proximal intimal tear in the descending thoracic aorta, associated with both early lower extremity and delayed mesenteric malperfusion syndrome, treated effectively by femoral artery open fenestration and hybrid zone 2 arch repair.

Abstract Image

Abstract Image

应用复合2区弓修复和胸段血管内主动脉修复治疗急性B型主动脉夹层逆行延伸早、晚期灌注不良综合征1例
急性主动脉夹层的远端主动脉修复范围以及处理灌注不良的时机和策略仍然是有争议的话题。我们报告一例急性B型夹层,逆行延伸至升主动脉,胸降主动脉最近端内膜撕裂,伴有下肢早期和延迟性肠系膜灌注不良综合征,经股动脉开窗和混合型2区弓修复有效治疗。
本文章由计算机程序翻译,如有差异,请以英文原文为准。
求助全文
约1分钟内获得全文 求助全文
来源期刊
AORTA
AORTA Medicine-Surgery
CiteScore
1.00
自引率
0.00%
发文量
119
×
引用
GB/T 7714-2015
复制
MLA
复制
APA
复制
导出至
BibTeX EndNote RefMan NoteFirst NoteExpress
×
提示
您的信息不完整,为了账户安全,请先补充。
现在去补充
×
提示
您因"违规操作"
具体请查看互助需知
我知道了
×
提示
确定
请完成安全验证×
copy
已复制链接
快去分享给好友吧!
我知道了
右上角分享
点击右上角分享
0
联系我们:info@booksci.cn Book学术提供免费学术资源搜索服务,方便国内外学者检索中英文文献。致力于提供最便捷和优质的服务体验。 Copyright © 2023 布克学术 All rights reserved.
京ICP备2023020795号-1
ghs 京公网安备 11010802042870号
Book学术文献互助
Book学术文献互助群
群 号:604180095
Book学术官方微信