Negative Bronchoscopy or Computed Tomography Radiation in Children with Suspected Foreign Body Aspiration? Pros and Cons.

IF 2.2 4区 医学 Q2 RADIOLOGY, NUCLEAR MEDICINE & MEDICAL IMAGING
Mehmet Emin Çelikkaya, Ahmet Atıcı, İnan Korkmaz, Mehmet Karadağ, Çiğdem El, Bülent Akçora
{"title":"Negative Bronchoscopy or Computed Tomography Radiation in Children with Suspected Foreign Body Aspiration? Pros and Cons.","authors":"Mehmet Emin Çelikkaya, Ahmet Atıcı, İnan Korkmaz, Mehmet Karadağ, Çiğdem El, Bülent Akçora","doi":"10.3390/tomography11020017","DOIUrl":null,"url":null,"abstract":"<p><strong>Background: </strong>The aim of this study was to analyse patients who underwent bronchoscopy for suspected foreign body aspiration (FBA) and to evaluate the properties of computed tomography (CT) in preventing unnecessary bronchoscopy, which carries the risk of serious complications.</p><p><strong>Methods: </strong>All patients younger than 18 years of age who were evaluated for FBA at a tertiary children's hospital between June 2014 and February 2023.</p><p><strong>Results: </strong>A total of 165 children were included in this study. In Group I (only bronchoscopy), the detection rate of FBA was 77.9%, whereas in Group II (CT ± bronchoscopy), the detection rate of FBA was 93%. Additionally, the negative diagnosis rate in Group II (7%) was significantly higher compared to Group I (22.1%).</p><p><strong>Conclusions: </strong>Low-dose chest CT is a highly effective and reliable imaging method for the diagnosis of FBA due to its rapid performance, minimal radiation exposure, and high sensitivity and specificity; therefore, it can prevent unnecessary bronchoscopies in suspicious cases and increase the positive bronchoscopy rate.</p>","PeriodicalId":51330,"journal":{"name":"Tomography","volume":"11 2","pages":""},"PeriodicalIF":2.2000,"publicationDate":"2025-02-14","publicationTypes":"Journal Article","fieldsOfStudy":null,"isOpenAccess":false,"openAccessPdf":"https://www.ncbi.nlm.nih.gov/pmc/articles/PMC11860685/pdf/","citationCount":"0","resultStr":null,"platform":"Semanticscholar","paperid":null,"PeriodicalName":"Tomography","FirstCategoryId":"3","ListUrlMain":"https://doi.org/10.3390/tomography11020017","RegionNum":4,"RegionCategory":"医学","ArticlePicture":[],"TitleCN":null,"AbstractTextCN":null,"PMCID":null,"EPubDate":"","PubModel":"","JCR":"Q2","JCRName":"RADIOLOGY, NUCLEAR MEDICINE & MEDICAL IMAGING","Score":null,"Total":0}
引用次数: 0

Abstract

Background: The aim of this study was to analyse patients who underwent bronchoscopy for suspected foreign body aspiration (FBA) and to evaluate the properties of computed tomography (CT) in preventing unnecessary bronchoscopy, which carries the risk of serious complications.

Methods: All patients younger than 18 years of age who were evaluated for FBA at a tertiary children's hospital between June 2014 and February 2023.

Results: A total of 165 children were included in this study. In Group I (only bronchoscopy), the detection rate of FBA was 77.9%, whereas in Group II (CT ± bronchoscopy), the detection rate of FBA was 93%. Additionally, the negative diagnosis rate in Group II (7%) was significantly higher compared to Group I (22.1%).

Conclusions: Low-dose chest CT is a highly effective and reliable imaging method for the diagnosis of FBA due to its rapid performance, minimal radiation exposure, and high sensitivity and specificity; therefore, it can prevent unnecessary bronchoscopies in suspicious cases and increase the positive bronchoscopy rate.

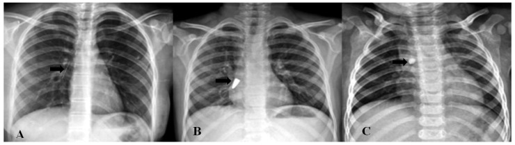
Abstract Image

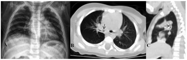
Abstract Image

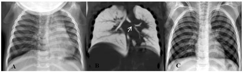
Abstract Image

疑似异物吸入儿童的支气管镜检查阴性或计算机断层扫描阴性?利与弊。
研究背景本研究旨在分析因疑似异物吸入(FBA)而接受支气管镜检查的患者,并评估计算机断层扫描(CT)在防止不必要的支气管镜检查方面的特性,因为不必要的支气管镜检查有可能导致严重并发症:方法:2014 年 6 月至 2023 年 2 月期间在一家三级儿童医院接受异物吸入评估的所有 18 岁以下患者:结果:本研究共纳入165名儿童。在 I 组(仅支气管镜检查)中,FBA 的检出率为 77.9%,而在 II 组(CT ± 支气管镜检查)中,FBA 的检出率为 93%。此外,第二组的阴性诊断率(7%)明显高于第一组(22.1%):结论:低剂量胸部 CT 是诊断 FBA 的一种高效、可靠的成像方法,因为它表现迅速、辐射量小、灵敏度和特异性高;因此,它可以避免对可疑病例进行不必要的支气管镜检查,并提高支气管镜检查的阳性率。
本文章由计算机程序翻译,如有差异,请以英文原文为准。
求助全文
约1分钟内获得全文 求助全文
来源期刊
Tomography
Tomography Medicine-Radiology, Nuclear Medicine and Imaging
CiteScore
2.70
自引率
10.50%
发文量
222
期刊介绍: TomographyTM publishes basic (technical and pre-clinical) and clinical scientific articles which involve the advancement of imaging technologies. Tomography encompasses studies that use single or multiple imaging modalities including for example CT, US, PET, SPECT, MR and hyperpolarization technologies, as well as optical modalities (i.e. bioluminescence, photoacoustic, endomicroscopy, fiber optic imaging and optical computed tomography) in basic sciences, engineering, preclinical and clinical medicine. Tomography also welcomes studies involving exploration and refinement of contrast mechanisms and image-derived metrics within and across modalities toward the development of novel imaging probes for image-based feedback and intervention. The use of imaging in biology and medicine provides unparalleled opportunities to noninvasively interrogate tissues to obtain real-time dynamic and quantitative information required for diagnosis and response to interventions and to follow evolving pathological conditions. As multi-modal studies and the complexities of imaging technologies themselves are ever increasing to provide advanced information to scientists and clinicians. Tomography provides a unique publication venue allowing investigators the opportunity to more precisely communicate integrated findings related to the diverse and heterogeneous features associated with underlying anatomical, physiological, functional, metabolic and molecular genetic activities of normal and diseased tissue. Thus Tomography publishes peer-reviewed articles which involve the broad use of imaging of any tissue and disease type including both preclinical and clinical investigations. In addition, hardware/software along with chemical and molecular probe advances are welcome as they are deemed to significantly contribute towards the long-term goal of improving the overall impact of imaging on scientific and clinical discovery.
×
引用
GB/T 7714-2015
复制
MLA
复制
APA
复制
导出至
BibTeX EndNote RefMan NoteFirst NoteExpress
×
提示
您的信息不完整,为了账户安全,请先补充。
现在去补充
×
提示
您因"违规操作"
具体请查看互助需知
我知道了
×
提示
确定
请完成安全验证×
copy
已复制链接
快去分享给好友吧!
我知道了
右上角分享
点击右上角分享
0
联系我们:info@booksci.cn Book学术提供免费学术资源搜索服务,方便国内外学者检索中英文文献。致力于提供最便捷和优质的服务体验。 Copyright © 2023 布克学术 All rights reserved.
京ICP备2023020795号-1
ghs 京公网安备 11010802042870号
Book学术文献互助
Book学术文献互助群
群 号:604180095
Book学术官方微信