Dirofilariasis of the scrotum: a clinical case from Bulgaria.

IF 1.2 4区 生物学 Q4 PARASITOLOGY
Helminthologia Pub Date : 2024-12-31 eCollection Date: 2024-12-01 DOI:10.2478/helm-2024-0032
G Popova, D Vuchev, D Markov, E Poryazova
{"title":"Dirofilariasis of the scrotum: a clinical case from Bulgaria.","authors":"G Popova, D Vuchev, D Markov, E Poryazova","doi":"10.2478/helm-2024-0032","DOIUrl":null,"url":null,"abstract":"<p><p>Dirofilariasis is a zoonotic infection that humans acquire by the bite of infected mosquitoes. The male reproductive system is relatively rare affected by this disease. We presented a case of dirofilariasis of the scrotum from Bulgaria. The patient noticed a small painless nodule in his scrotum with no other pathological findings. The tumor-like lesion was surgically removed. Dirofilariasis was not suspected before this procedure, but the diagnosis was made on histological examination of the extracted tissue. Surgical removal of the helminth is the radical treatment of this disease. Dirofilariasis of the scrotum has a good prognosis as patients fully recover after the extraction of the parasite.</p>","PeriodicalId":55061,"journal":{"name":"Helminthologia","volume":"61 4","pages":"357-359"},"PeriodicalIF":1.2000,"publicationDate":"2024-12-31","publicationTypes":"Journal Article","fieldsOfStudy":null,"isOpenAccess":false,"openAccessPdf":"https://www.ncbi.nlm.nih.gov/pmc/articles/PMC11846148/pdf/","citationCount":"0","resultStr":null,"platform":"Semanticscholar","paperid":null,"PeriodicalName":"Helminthologia","FirstCategoryId":"99","ListUrlMain":"https://doi.org/10.2478/helm-2024-0032","RegionNum":4,"RegionCategory":"生物学","ArticlePicture":[],"TitleCN":null,"AbstractTextCN":null,"PMCID":null,"EPubDate":"2024/12/1 0:00:00","PubModel":"eCollection","JCR":"Q4","JCRName":"PARASITOLOGY","Score":null,"Total":0}
引用次数: 0

Abstract

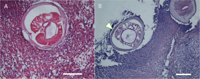
Dirofilariasis is a zoonotic infection that humans acquire by the bite of infected mosquitoes. The male reproductive system is relatively rare affected by this disease. We presented a case of dirofilariasis of the scrotum from Bulgaria. The patient noticed a small painless nodule in his scrotum with no other pathological findings. The tumor-like lesion was surgically removed. Dirofilariasis was not suspected before this procedure, but the diagnosis was made on histological examination of the extracted tissue. Surgical removal of the helminth is the radical treatment of this disease. Dirofilariasis of the scrotum has a good prognosis as patients fully recover after the extraction of the parasite.

Abstract Image

保加利亚阴囊双丝虫病1例临床报告。
丝虫病是一种人畜共患病,人类通过被感染的蚊子叮咬而感染这种疾病。男性生殖系统相对较少受到这种疾病的影响。我们介绍了一例来自保加利亚的阴囊二螺旋体病病例。患者发现阴囊内有一个无痛小结节,没有其他病理发现。手术切除了肿瘤样病变。手术前并没有怀疑是迪罗丝虫病,但在对取出的组织进行组织学检查后确诊了该病。手术切除蠕虫是治疗这种疾病的根本方法。阴囊的迪罗丝虫病预后良好,患者在取出寄生虫后可完全康复。
本文章由计算机程序翻译,如有差异,请以英文原文为准。
求助全文
约1分钟内获得全文 求助全文
来源期刊
Helminthologia
Helminthologia 生物-动物学
CiteScore
1.80
自引率
0.00%
发文量
21
审稿时长
>12 weeks
期刊介绍: Helminthologia (HELMIN), published continuously since 1959, is the only journal in Europe that encompasses the individual and collaborative efforts of scientists working on a different topics of human, veterinary and plant helminthology. The journal responsibility is to enrich the theoretical and practical knowledge in very specific areas and thus contribute to the advancements in human and veterinary medicine and agronomy. Taking the advantage of comprehensive and multidisciplinary approaches journal still maintains its original spirit and is principal source of fresh scientific information regarding helminths, endoparasites and plant parasites. Addressing the most up-to date topics journal gained rightful and exceptional place next to the other high-quality scientific journals publishing in its field.
×
引用
GB/T 7714-2015
复制
MLA
复制
APA
复制
导出至
BibTeX EndNote RefMan NoteFirst NoteExpress
×
提示
您的信息不完整,为了账户安全,请先补充。
现在去补充
×
提示
您因"违规操作"
具体请查看互助需知
我知道了
×
提示
确定
请完成安全验证×
copy
已复制链接
快去分享给好友吧!
我知道了
右上角分享
点击右上角分享
0
联系我们:info@booksci.cn Book学术提供免费学术资源搜索服务,方便国内外学者检索中英文文献。致力于提供最便捷和优质的服务体验。 Copyright © 2023 布克学术 All rights reserved.
京ICP备2023020795号-1
ghs 京公网安备 11010802042870号
Book学术文献互助
Book学术文献互助群
群 号:604180095
Book学术官方微信