Osteopetrosis with Typical Radiological Findings: A Report of a Rare Case.

IF 1.5 Q3 HEALTH CARE SCIENCES & SERVICES
Bethlehem Tesfasilassie Kibrom, Tesfahunegn Hailemariam Feleke, Wubineh Admasu, Frehiwot Tsegaye, Samuel Sisay Hailu
{"title":"Osteopetrosis with Typical Radiological Findings: A Report of a Rare Case.","authors":"Bethlehem Tesfasilassie Kibrom, Tesfahunegn Hailemariam Feleke, Wubineh Admasu, Frehiwot Tsegaye, Samuel Sisay Hailu","doi":"10.4314/ejhs.v34i2.8","DOIUrl":null,"url":null,"abstract":"<p><strong>Background: </strong>Osteopetrosis is a rare inherited disease caused by a lack of osteoclastic bone resorption, resulting in increased bone mass with insufficient mechanical strength. Patients usually present with complications such as pathologic fractures, cranial neuropathies, and bone marrow failure. Diagnosis is based on suggestive clinical and imaging findings, with genetic testing to confirm diagnosis and identify the subtype.</p><p><strong>Case presentation: </strong>The patient is an eight-year-old girl who came to our hospital with complaints of bilateral arm swelling and visual disturbances for four years and a history of fracture of the left lower extremity two years before presentation. Physical examination revealed nontender bilateral arm swelling and a shorter left leg. The laboratory tests were within normal limits. A skeletal radiograph showed typical radiographic features of osteopetrosis.</p><p><strong>Conclusion: </strong>It is important to consider osteopetrosis in patients presenting with pathologic fractures and cranial neuropathies. Typical imaging findings can provide rapid diagnosis in severe cases.</p>","PeriodicalId":12003,"journal":{"name":"Ethiopian Journal of Health Sciences","volume":"34 2","pages":"163-167"},"PeriodicalIF":1.5000,"publicationDate":"2024-03-01","publicationTypes":"Journal Article","fieldsOfStudy":null,"isOpenAccess":false,"openAccessPdf":"https://www.ncbi.nlm.nih.gov/pmc/articles/PMC11837785/pdf/","citationCount":"0","resultStr":null,"platform":"Semanticscholar","paperid":null,"PeriodicalName":"Ethiopian Journal of Health Sciences","FirstCategoryId":"1085","ListUrlMain":"https://doi.org/10.4314/ejhs.v34i2.8","RegionNum":0,"RegionCategory":null,"ArticlePicture":[],"TitleCN":null,"AbstractTextCN":null,"PMCID":null,"EPubDate":"","PubModel":"","JCR":"Q3","JCRName":"HEALTH CARE SCIENCES & SERVICES","Score":null,"Total":0}
引用次数: 0

Abstract

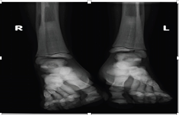
Background: Osteopetrosis is a rare inherited disease caused by a lack of osteoclastic bone resorption, resulting in increased bone mass with insufficient mechanical strength. Patients usually present with complications such as pathologic fractures, cranial neuropathies, and bone marrow failure. Diagnosis is based on suggestive clinical and imaging findings, with genetic testing to confirm diagnosis and identify the subtype.

Case presentation: The patient is an eight-year-old girl who came to our hospital with complaints of bilateral arm swelling and visual disturbances for four years and a history of fracture of the left lower extremity two years before presentation. Physical examination revealed nontender bilateral arm swelling and a shorter left leg. The laboratory tests were within normal limits. A skeletal radiograph showed typical radiographic features of osteopetrosis.

Conclusion: It is important to consider osteopetrosis in patients presenting with pathologic fractures and cranial neuropathies. Typical imaging findings can provide rapid diagnosis in severe cases.

Abstract Image

Abstract Image

Abstract Image

具有典型影像学表现的骨质疏松症1例报告。
背景:骨质疏松症是一种罕见的遗传性疾病,由破骨细胞骨吸收不足引起,导致骨量增加而机械强度不足。患者通常出现病理性骨折、颅神经病变和骨髓衰竭等并发症。诊断是基于暗示性的临床和影像学发现,并通过基因检测来确认诊断和确定亚型。病例介绍:患者为一名八岁女童,前来就诊,主诉双侧手臂肿胀、视力障碍4年,就诊前2年有左下肢骨折史。体格检查显示双侧手臂无压痛性肿胀,左腿较短。化验结果在正常范围内。骨骼x线片显示典型的骨质疏松的影像学特征。结论:病理性骨折合并颅神经病变患者应考虑骨质疏松。典型的影像学表现可在严重病例中提供快速诊断。
本文章由计算机程序翻译,如有差异,请以英文原文为准。
求助全文
约1分钟内获得全文 求助全文
来源期刊
Ethiopian Journal of Health Sciences
Ethiopian Journal of Health Sciences HEALTH CARE SCIENCES & SERVICES-
CiteScore
2.10
自引率
8.30%
发文量
137
审稿时长
12 weeks
期刊介绍: Ethiopian Journal of Health Sciences is a general health science journal addressing clinical medicine, public health and biomedical sciences. Rarely, it covers veterinary medicine
×
引用
GB/T 7714-2015
复制
MLA
复制
APA
复制
导出至
BibTeX EndNote RefMan NoteFirst NoteExpress
×
提示
您的信息不完整,为了账户安全,请先补充。
现在去补充
×
提示
您因"违规操作"
具体请查看互助需知
我知道了
×
提示
确定
请完成安全验证×
copy
已复制链接
快去分享给好友吧!
我知道了
右上角分享
点击右上角分享
0
联系我们:info@booksci.cn Book学术提供免费学术资源搜索服务,方便国内外学者检索中英文文献。致力于提供最便捷和优质的服务体验。 Copyright © 2023 布克学术 All rights reserved.
京ICP备2023020795号-1
ghs 京公网安备 11010802042870号
Book学术文献互助
Book学术文献互助群
群 号:604180095
Book学术官方微信