Recto Sigmoid Sub-Mucosal Bleeding Due to Warfarin over Anticoagulation Presenting as Intestinal Obstruction.

IF 1.5 Q3 HEALTH CARE SCIENCES & SERVICES
Fithanegest Teferra Gebretekle, Minyahil Zeleke Tesfaye, Tibebu Tesfaye
{"title":"Recto Sigmoid Sub-Mucosal Bleeding Due to Warfarin over Anticoagulation Presenting as Intestinal Obstruction.","authors":"Fithanegest Teferra Gebretekle, Minyahil Zeleke Tesfaye, Tibebu Tesfaye","doi":"10.4314/ejhs.v35i1.9","DOIUrl":null,"url":null,"abstract":"<p><p>Patients on anticoagulation therapy, particularly those on warfarin, are at risk of gastrointestinal bleeding, gum bleeding, hematuria, and ecchymosis. However, it is rare for such patients to present with intramural or submucosal bleeding leading to intestinal obstructive symptoms. Sub-mucosal intestinal bleeding due to prolonged anticoagulant use is uncommon. Literature suggests that the duodenum and small intestine are common locations for anticoagulant-induced hematomas, occurring in approximately 1 case per 2,500 anticoagulated patients per year. However, intramural colonic hematomas are rarely reported. Spontaneous anticoagulant induced hematomas may develop as early as 10 days after starting therapy. We report the case of a 63-year-old female who presented with recto-sigmoid sub-mucosal bleeding causing obstructive symptoms. The patient was managed surgically with laparotomy, resulting in significant improvement, and was scheduled for follow-up to evaluate the feasibility of reintroducing anticoagulation therapy.</p>","PeriodicalId":12003,"journal":{"name":"Ethiopian Journal of Health Sciences","volume":"35 1","pages":"63-66"},"PeriodicalIF":1.5000,"publicationDate":"2025-01-01","publicationTypes":"Journal Article","fieldsOfStudy":null,"isOpenAccess":false,"openAccessPdf":"https://www.ncbi.nlm.nih.gov/pmc/articles/PMC11837791/pdf/","citationCount":"0","resultStr":null,"platform":"Semanticscholar","paperid":null,"PeriodicalName":"Ethiopian Journal of Health Sciences","FirstCategoryId":"1085","ListUrlMain":"https://doi.org/10.4314/ejhs.v35i1.9","RegionNum":0,"RegionCategory":null,"ArticlePicture":[],"TitleCN":null,"AbstractTextCN":null,"PMCID":null,"EPubDate":"","PubModel":"","JCR":"Q3","JCRName":"HEALTH CARE SCIENCES & SERVICES","Score":null,"Total":0}
引用次数: 0

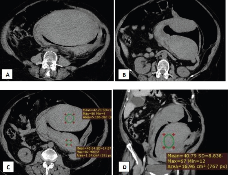
Abstract

Patients on anticoagulation therapy, particularly those on warfarin, are at risk of gastrointestinal bleeding, gum bleeding, hematuria, and ecchymosis. However, it is rare for such patients to present with intramural or submucosal bleeding leading to intestinal obstructive symptoms. Sub-mucosal intestinal bleeding due to prolonged anticoagulant use is uncommon. Literature suggests that the duodenum and small intestine are common locations for anticoagulant-induced hematomas, occurring in approximately 1 case per 2,500 anticoagulated patients per year. However, intramural colonic hematomas are rarely reported. Spontaneous anticoagulant induced hematomas may develop as early as 10 days after starting therapy. We report the case of a 63-year-old female who presented with recto-sigmoid sub-mucosal bleeding causing obstructive symptoms. The patient was managed surgically with laparotomy, resulting in significant improvement, and was scheduled for follow-up to evaluate the feasibility of reintroducing anticoagulation therapy.

Abstract Image

Abstract Image

华法林抗凝作用后乙状结肠粘膜下出血表现为肠梗阻。
接受抗凝治疗的患者,特别是接受华法林治疗的患者,存在胃肠道出血、牙龈出血、血尿和瘀斑的风险。然而,这类患者很少出现肠壁内或粘膜下出血导致肠梗阻症状。长期使用抗凝剂引起的粘膜下肠出血并不常见。文献表明,十二指肠和小肠是抗凝剂引起的血肿的常见部位,每年每2500例抗凝患者中约有1例发生。然而,结肠壁内血肿很少被报道。抗凝剂引起的自发性血肿可能在开始治疗后10天发生。我们报告的情况下,63岁的女性谁提出直肠乙状结肠粘膜下出血引起的阻塞性症状。患者通过开腹手术治疗,结果明显改善,并计划随访以评估再次引入抗凝治疗的可行性。
本文章由计算机程序翻译,如有差异,请以英文原文为准。
求助全文
约1分钟内获得全文 求助全文
来源期刊
Ethiopian Journal of Health Sciences
Ethiopian Journal of Health Sciences HEALTH CARE SCIENCES & SERVICES-
CiteScore
2.10
自引率
8.30%
发文量
137
审稿时长
12 weeks
期刊介绍: Ethiopian Journal of Health Sciences is a general health science journal addressing clinical medicine, public health and biomedical sciences. Rarely, it covers veterinary medicine
×
引用
GB/T 7714-2015
复制
MLA
复制
APA
复制
导出至
BibTeX EndNote RefMan NoteFirst NoteExpress
×
提示
您的信息不完整,为了账户安全,请先补充。
现在去补充
×
提示
您因"违规操作"
具体请查看互助需知
我知道了
×
提示
确定
请完成安全验证×
copy
已复制链接
快去分享给好友吧!
我知道了
右上角分享
点击右上角分享
0
联系我们:info@booksci.cn Book学术提供免费学术资源搜索服务,方便国内外学者检索中英文文献。致力于提供最便捷和优质的服务体验。 Copyright © 2023 布克学术 All rights reserved.
京ICP备2023020795号-1
ghs 京公网安备 11010802042870号
Book学术文献互助
Book学术文献互助群
群 号:604180095
Book学术官方微信