Ultra-Widefield OCT Images of Proliferative Vitreoretinopathy under Silicone Oil.

IF 0.6 Q4 OPHTHALMOLOGY
Case Reports in Ophthalmology Pub Date : 2025-01-07 eCollection Date: 2025-01-01 DOI:10.1159/000542391
Masaki Kinoshita, Susumu Sakimoto, Masaki Suzue, Masanori Kanai, Nobuhiko Shiraki, Kohji Nishida
{"title":"Ultra-Widefield OCT Images of Proliferative Vitreoretinopathy under Silicone Oil.","authors":"Masaki Kinoshita, Susumu Sakimoto, Masaki Suzue, Masanori Kanai, Nobuhiko Shiraki, Kohji Nishida","doi":"10.1159/000542391","DOIUrl":null,"url":null,"abstract":"<p><strong>Introduction: </strong>Proliferative vitreoretinopathy (PVR) is a condition in which proliferation forms after rhegmatogenous retinal detachment (RRD) surgery or old RRD, and sometimes, PVR can occur under silicone oil (SO). Here, we report 2 cases of PVR in which we evaluated preoperative B-scan images of proliferation under SO using ultra-widefield swept-source OCT (UWF-SS-OCT).</p><p><strong>Case presentation: </strong>The first case was a 61-year-old male who presented with PVR under SO tamponade after multiple pars plana vitrectomies (PPVs) at the previous hospital, and the second case was a 23-year-old man patient who was diagnosed with Coats disease in childhood and presented with PVR under SO after PPV for total RRD at our hospital. B-scan images of UWF-SS-OCT provided findings of epiretinal two-layered proliferation or emulsified SO in the peripheral area.</p><p><strong>Conclusion: </strong>UWF-SS-OCT is useful for preoperative assessment of the proliferation of PVR before SO removal. In addition, peculiar proliferation may occur in the eye under SO.</p>","PeriodicalId":9635,"journal":{"name":"Case Reports in Ophthalmology","volume":"16 1","pages":"57-61"},"PeriodicalIF":0.6000,"publicationDate":"2025-01-07","publicationTypes":"Journal Article","fieldsOfStudy":null,"isOpenAccess":false,"openAccessPdf":"https://www.ncbi.nlm.nih.gov/pmc/articles/PMC11842007/pdf/","citationCount":"0","resultStr":null,"platform":"Semanticscholar","paperid":null,"PeriodicalName":"Case Reports in Ophthalmology","FirstCategoryId":"1085","ListUrlMain":"https://doi.org/10.1159/000542391","RegionNum":0,"RegionCategory":null,"ArticlePicture":[],"TitleCN":null,"AbstractTextCN":null,"PMCID":null,"EPubDate":"2025/1/1 0:00:00","PubModel":"eCollection","JCR":"Q4","JCRName":"OPHTHALMOLOGY","Score":null,"Total":0}
引用次数: 0

Abstract

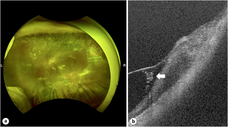
Introduction: Proliferative vitreoretinopathy (PVR) is a condition in which proliferation forms after rhegmatogenous retinal detachment (RRD) surgery or old RRD, and sometimes, PVR can occur under silicone oil (SO). Here, we report 2 cases of PVR in which we evaluated preoperative B-scan images of proliferation under SO using ultra-widefield swept-source OCT (UWF-SS-OCT).

Case presentation: The first case was a 61-year-old male who presented with PVR under SO tamponade after multiple pars plana vitrectomies (PPVs) at the previous hospital, and the second case was a 23-year-old man patient who was diagnosed with Coats disease in childhood and presented with PVR under SO after PPV for total RRD at our hospital. B-scan images of UWF-SS-OCT provided findings of epiretinal two-layered proliferation or emulsified SO in the peripheral area.

Conclusion: UWF-SS-OCT is useful for preoperative assessment of the proliferation of PVR before SO removal. In addition, peculiar proliferation may occur in the eye under SO.

Abstract Image

Abstract Image

硅油作用下增生性玻璃体视网膜病变的超广角OCT图像。
摘要:增殖性玻璃体视网膜病变(PVR)是一种孔源性视网膜脱离(RRD)手术后或陈旧性视网膜脱离后增生的疾病,有时在硅油(SO)下可发生PVR。在这里,我们报告了2例PVR,我们使用超宽视场扫描源OCT (UWF-SS-OCT)评估了术前b扫描图像在SO下的增殖。病例介绍:第一位患者为61岁男性,在原医院行多次玻璃体部切除术(PPV)后出现SO填塞下PVR,第二位患者为23岁男性,儿童期诊断为Coats病,在我院行全RRD手术后出现SO下PVR。UWF-SS-OCT b扫描示视网膜外周区双层增生或乳化SO。结论:UWF-SS-OCT可用于SO切除前PVR的增殖评估。此外,SO下的眼睛可能会出现特殊的增生。
本文章由计算机程序翻译,如有差异,请以英文原文为准。
求助全文
约1分钟内获得全文 求助全文
来源期刊
CiteScore
0.90
自引率
0.00%
发文量
129
审稿时长
12 weeks
期刊介绍: This peer-reviewed online-only journal publishes original case reports covering the entire spectrum of ophthalmology, including prevention, diagnosis, treatment, toxicities of therapy, supportive care, quality-of-life, and survivorship issues. The submission of negative results is strongly encouraged. The journal will also accept case reports dealing with the use of novel technologies, both in the arena of diagnosis and treatment. Supplementary material is welcomed. The intent of the journal is to provide clinicians and researchers with a tool to disseminate their personal experiences to a wider public as well as to review interesting cases encountered by colleagues all over the world. Universally used terms can be searched across the entire growing collection of case reports, further facilitating the retrieval of specific information. Following the open access principle, the entire contents can be retrieved at no charge, guaranteeing easy access to this valuable source of anecdotal information at all times.
×
引用
GB/T 7714-2015
复制
MLA
复制
APA
复制
导出至
BibTeX EndNote RefMan NoteFirst NoteExpress
×
提示
您的信息不完整,为了账户安全,请先补充。
现在去补充
×
提示
您因"违规操作"
具体请查看互助需知
我知道了
×
提示
确定
请完成安全验证×
copy
已复制链接
快去分享给好友吧!
我知道了
右上角分享
点击右上角分享
0
联系我们:info@booksci.cn Book学术提供免费学术资源搜索服务,方便国内外学者检索中英文文献。致力于提供最便捷和优质的服务体验。 Copyright © 2023 布克学术 All rights reserved.
京ICP备2023020795号-1
ghs 京公网安备 11010802042870号
Book学术文献互助
Book学术文献互助群
群 号:604180095
Book学术官方微信