The Road Less Traveled: Ciliary Sulcus Implantation of the Preserflo MicroShunt.

IF 0.6 Q4 OPHTHALMOLOGY
Case Reports in Ophthalmology Pub Date : 2025-01-30 eCollection Date: 2025-01-01 DOI:10.1159/000543219
Meishar Meisel, Eran Berkowitz, Avi Schwalb, Beatrice Tiosano
{"title":"The Road Less Traveled: Ciliary Sulcus Implantation of the Preserflo MicroShunt.","authors":"Meishar Meisel, Eran Berkowitz, Avi Schwalb, Beatrice Tiosano","doi":"10.1159/000543219","DOIUrl":null,"url":null,"abstract":"<p><strong>Introduction: </strong>Herein, we report on the option and clinical advantage of the Preserflo MicroShunt insertion into the posterior chamber ciliary sulcus in a patient with advanced pseudoexfoliation glaucoma at a high risk of corneal decompensation.</p><p><strong>Case presentation: </strong>We describe a 64-year-old advanced pseudoexfoliation glaucoma patient who despite maximal tolerated medical therapy and two failed glaucoma surgeries, still suffered from uncontrolled intraocular pressure (IOP) of 36 mm Hg in his left eye. The patient underwent the implantation of the Preserflo MicroShunt. The shunt was placed nasally into an area of unscarred conjunctiva, with the anterior part of the shunt inserted into the ciliary sulcus. Postoperatively, the patient's IOP dropped to 6 mm Hg on the first day and stabilized at 11 mm Hg at the 6-month mark. An elevated, posteriorly located bleb was observed, and the patient no longer required additional topical medications. Endothelial cell (EC) count remained stable with no signs of corneal edema. The patient did not experience any serious postoperative complications.</p><p><strong>Conclusion: </strong>Implantation of the Preserflo MicroShunt into the ciliary sulcus appears to be a viable option for patients at high risk of corneal decompensation, hence, offering effective IOP control while minimizing EC loss. Further studies with larger patient groups are warranted to better evaluate the safety and efficacy of this technique.</p>","PeriodicalId":9635,"journal":{"name":"Case Reports in Ophthalmology","volume":"16 1","pages":"68-73"},"PeriodicalIF":0.6000,"publicationDate":"2025-01-30","publicationTypes":"Journal Article","fieldsOfStudy":null,"isOpenAccess":false,"openAccessPdf":"https://www.ncbi.nlm.nih.gov/pmc/articles/PMC11842094/pdf/","citationCount":"0","resultStr":null,"platform":"Semanticscholar","paperid":null,"PeriodicalName":"Case Reports in Ophthalmology","FirstCategoryId":"1085","ListUrlMain":"https://doi.org/10.1159/000543219","RegionNum":0,"RegionCategory":null,"ArticlePicture":[],"TitleCN":null,"AbstractTextCN":null,"PMCID":null,"EPubDate":"2025/1/1 0:00:00","PubModel":"eCollection","JCR":"Q4","JCRName":"OPHTHALMOLOGY","Score":null,"Total":0}
引用次数: 0

Abstract

Introduction: Herein, we report on the option and clinical advantage of the Preserflo MicroShunt insertion into the posterior chamber ciliary sulcus in a patient with advanced pseudoexfoliation glaucoma at a high risk of corneal decompensation.

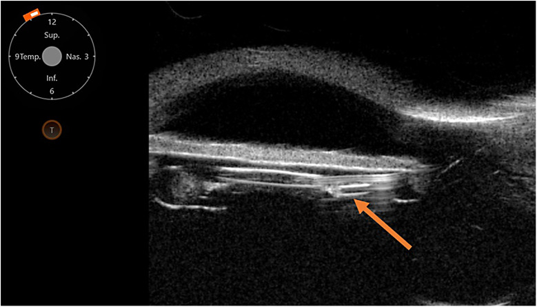
Case presentation: We describe a 64-year-old advanced pseudoexfoliation glaucoma patient who despite maximal tolerated medical therapy and two failed glaucoma surgeries, still suffered from uncontrolled intraocular pressure (IOP) of 36 mm Hg in his left eye. The patient underwent the implantation of the Preserflo MicroShunt. The shunt was placed nasally into an area of unscarred conjunctiva, with the anterior part of the shunt inserted into the ciliary sulcus. Postoperatively, the patient's IOP dropped to 6 mm Hg on the first day and stabilized at 11 mm Hg at the 6-month mark. An elevated, posteriorly located bleb was observed, and the patient no longer required additional topical medications. Endothelial cell (EC) count remained stable with no signs of corneal edema. The patient did not experience any serious postoperative complications.

Conclusion: Implantation of the Preserflo MicroShunt into the ciliary sulcus appears to be a viable option for patients at high risk of corneal decompensation, hence, offering effective IOP control while minimizing EC loss. Further studies with larger patient groups are warranted to better evaluate the safety and efficacy of this technique.

Abstract Image

Abstract Image

少有人走的路:Preserflo微分流器睫状沟植入。
简介在此,我们报告了在角膜失代偿风险较高的晚期假性角膜剥脱性青光眼患者中,将 Preserflo MicroShunt 植入后房睫状沟的选择和临床优势:我们描述了一名 64 岁的晚期假性角膜剥脱性青光眼患者,尽管他接受了最大耐受度的药物治疗和两次失败的青光眼手术,但左眼的眼压(IOP)仍然高达 36 mm Hg,无法控制。患者接受了 Preserflo MicroShunt 的植入手术。分流器从鼻腔植入未受疤痕的结膜区域,分流器前部插入睫状沟。术后第一天,患者的眼压降至 6 毫米汞柱,6 个月后稳定在 11 毫米汞柱。术后观察到眼泡向后方隆起,患者不再需要额外的局部用药。内皮细胞(EC)数量保持稳定,没有角膜水肿的迹象。患者术后未出现任何严重并发症:结论:将 Preserflo 微分流器植入睫状沟似乎是角膜失代偿高风险患者的一个可行选择,因此可以有效控制眼压,同时最大限度地减少内皮细胞的损失。为了更好地评估这项技术的安全性和有效性,有必要对更大的患者群体进行进一步研究。
本文章由计算机程序翻译,如有差异,请以英文原文为准。
求助全文
约1分钟内获得全文 求助全文
来源期刊
CiteScore
0.90
自引率
0.00%
发文量
129
审稿时长
12 weeks
期刊介绍: This peer-reviewed online-only journal publishes original case reports covering the entire spectrum of ophthalmology, including prevention, diagnosis, treatment, toxicities of therapy, supportive care, quality-of-life, and survivorship issues. The submission of negative results is strongly encouraged. The journal will also accept case reports dealing with the use of novel technologies, both in the arena of diagnosis and treatment. Supplementary material is welcomed. The intent of the journal is to provide clinicians and researchers with a tool to disseminate their personal experiences to a wider public as well as to review interesting cases encountered by colleagues all over the world. Universally used terms can be searched across the entire growing collection of case reports, further facilitating the retrieval of specific information. Following the open access principle, the entire contents can be retrieved at no charge, guaranteeing easy access to this valuable source of anecdotal information at all times.
×
引用
GB/T 7714-2015
复制
MLA
复制
APA
复制
导出至
BibTeX EndNote RefMan NoteFirst NoteExpress
×
提示
您的信息不完整,为了账户安全,请先补充。
现在去补充
×
提示
您因"违规操作"
具体请查看互助需知
我知道了
×
提示
确定
请完成安全验证×
copy
已复制链接
快去分享给好友吧!
我知道了
右上角分享
点击右上角分享
0
联系我们:info@booksci.cn Book学术提供免费学术资源搜索服务,方便国内外学者检索中英文文献。致力于提供最便捷和优质的服务体验。 Copyright © 2023 布克学术 All rights reserved.
京ICP备2023020795号-1
ghs 京公网安备 11010802042870号
Book学术文献互助
Book学术文献互助群
群 号:604180095
Book学术官方微信