Peripheral Retinal Ischemia and Secondary Neovascular Glaucoma after Cerclage for Retinal Detachment: A Case Report.

IF 0.6 Q4 OPHTHALMOLOGY
Case Reports in Ophthalmology Pub Date : 2025-01-07 eCollection Date: 2025-01-01 DOI:10.1159/000543239
Feliciana Menna, Marcel Menke, Markus Tschopp
{"title":"Peripheral Retinal Ischemia and Secondary Neovascular Glaucoma after Cerclage for Retinal Detachment: A Case Report.","authors":"Feliciana Menna, Marcel Menke, Markus Tschopp","doi":"10.1159/000543239","DOIUrl":null,"url":null,"abstract":"<p><strong>Introduction: </strong>Various surgical techniques, including 360° buckling surgery with a retinal cerclage, have been employed to achieve retinal reattachment. Although retinal cerclage is generally effective, long-term complications can arise. Peripheral retinal ischemia and secondary neovascular glaucoma are rare, but serious complications can occur even years after successful retinal reattachment.</p><p><strong>Case presentation: </strong>We report a rare case of a 79-year-old woman who underwent 360° buckling surgery with cerclage for retinal detachment 10 years ago. Although the initial surgery successfully reattached the retina, she later developed a complication characterized by peripheral retinal ischemia and secondary neovascular glaucoma.</p><p><strong>Conclusion: </strong>Early detection and prompt management of such complications are crucial to prevent irreversible visual impairment.</p>","PeriodicalId":9635,"journal":{"name":"Case Reports in Ophthalmology","volume":"16 1","pages":"86-94"},"PeriodicalIF":0.6000,"publicationDate":"2025-01-07","publicationTypes":"Journal Article","fieldsOfStudy":null,"isOpenAccess":false,"openAccessPdf":"https://www.ncbi.nlm.nih.gov/pmc/articles/PMC11842065/pdf/","citationCount":"0","resultStr":null,"platform":"Semanticscholar","paperid":null,"PeriodicalName":"Case Reports in Ophthalmology","FirstCategoryId":"1085","ListUrlMain":"https://doi.org/10.1159/000543239","RegionNum":0,"RegionCategory":null,"ArticlePicture":[],"TitleCN":null,"AbstractTextCN":null,"PMCID":null,"EPubDate":"2025/1/1 0:00:00","PubModel":"eCollection","JCR":"Q4","JCRName":"OPHTHALMOLOGY","Score":null,"Total":0}
引用次数: 0

Abstract

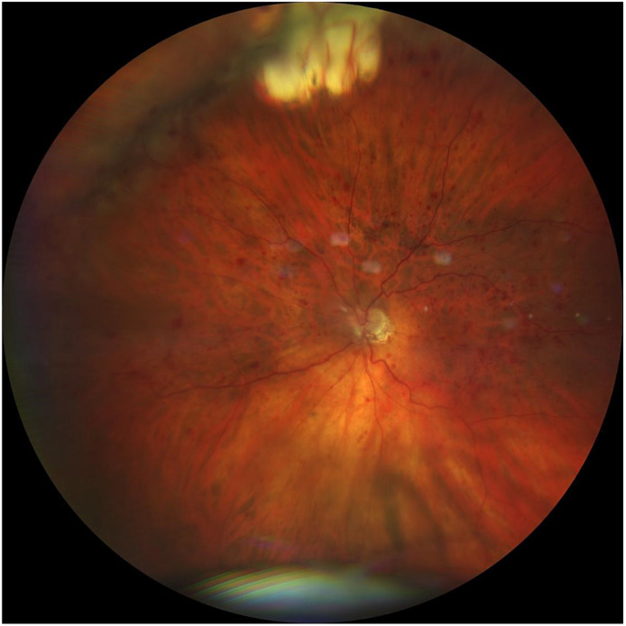
Introduction: Various surgical techniques, including 360° buckling surgery with a retinal cerclage, have been employed to achieve retinal reattachment. Although retinal cerclage is generally effective, long-term complications can arise. Peripheral retinal ischemia and secondary neovascular glaucoma are rare, but serious complications can occur even years after successful retinal reattachment.

Case presentation: We report a rare case of a 79-year-old woman who underwent 360° buckling surgery with cerclage for retinal detachment 10 years ago. Although the initial surgery successfully reattached the retina, she later developed a complication characterized by peripheral retinal ischemia and secondary neovascular glaucoma.

Conclusion: Early detection and prompt management of such complications are crucial to prevent irreversible visual impairment.

Abstract Image

Abstract Image

Abstract Image

视网膜脱离环扎术后周围视网膜缺血和继发新生血管性青光眼1例报告。
介绍:各种手术技术,包括360°屈曲手术与视网膜环,已被用于实现视网膜再附着。虽然视网膜环扎术通常是有效的,但也可能出现长期并发症。周围视网膜缺血和继发新生血管性青光眼是罕见的,但严重的并发症可能发生在视网膜再植成功后数年。病例介绍:我们报告一个罕见的病例,79岁的妇女谁接受了360°屈曲手术与环扎视网膜脱离10年前。虽然最初的手术成功地重新连接了视网膜,但她后来出现了以周围视网膜缺血和继发新生血管性青光眼为特征的并发症。结论:早期发现并及时处理这些并发症是预防不可逆视力损害的关键。
本文章由计算机程序翻译,如有差异,请以英文原文为准。
求助全文
约1分钟内获得全文 求助全文
来源期刊
CiteScore
0.90
自引率
0.00%
发文量
129
审稿时长
12 weeks
期刊介绍: This peer-reviewed online-only journal publishes original case reports covering the entire spectrum of ophthalmology, including prevention, diagnosis, treatment, toxicities of therapy, supportive care, quality-of-life, and survivorship issues. The submission of negative results is strongly encouraged. The journal will also accept case reports dealing with the use of novel technologies, both in the arena of diagnosis and treatment. Supplementary material is welcomed. The intent of the journal is to provide clinicians and researchers with a tool to disseminate their personal experiences to a wider public as well as to review interesting cases encountered by colleagues all over the world. Universally used terms can be searched across the entire growing collection of case reports, further facilitating the retrieval of specific information. Following the open access principle, the entire contents can be retrieved at no charge, guaranteeing easy access to this valuable source of anecdotal information at all times.
×
引用
GB/T 7714-2015
复制
MLA
复制
APA
复制
导出至
BibTeX EndNote RefMan NoteFirst NoteExpress
×
提示
您的信息不完整,为了账户安全,请先补充。
现在去补充
×
提示
您因"违规操作"
具体请查看互助需知
我知道了
×
提示
确定
请完成安全验证×
copy
已复制链接
快去分享给好友吧!
我知道了
右上角分享
点击右上角分享
0
联系我们:info@booksci.cn Book学术提供免费学术资源搜索服务,方便国内外学者检索中英文文献。致力于提供最便捷和优质的服务体验。 Copyright © 2023 布克学术 All rights reserved.
京ICP备2023020795号-1
ghs 京公网安备 11010802042870号
Book学术文献互助
Book学术文献互助群
群 号:604180095
Book学术官方微信