Post-translational cleavage generates truncated IgY forms in the snake Elaphe taeniura.

IF 4.7 1区 生物学 Q1 ZOOLOGY
Ming Zhang, Long Hua, Tang-Yuan Xie, Tao Wang, Li-Juan Du, Di Yu, Han-Wei Cao, Jin-Cheng Zhong, Geng-Sheng Cao, Xiang Ding, Hai-Tang Han, Yao-Feng Zhao, Tian Huang
{"title":"Post-translational cleavage generates truncated IgY forms in the snake <i>Elaphe taeniura</i>.","authors":"Ming Zhang, Long Hua, Tang-Yuan Xie, Tao Wang, Li-Juan Du, Di Yu, Han-Wei Cao, Jin-Cheng Zhong, Geng-Sheng Cao, Xiang Ding, Hai-Tang Han, Yao-Feng Zhao, Tian Huang","doi":"10.24272/j.issn.2095-8137.2024.295","DOIUrl":null,"url":null,"abstract":"<p><p>While variable regions of immunoglobulins are extensively diversified by V(D)J recombination and somatic hypermutation in vertebrates, the constant regions of immunoglobulin heavy chains also utilize certain mechanisms to produce diversity, including class switch recombination (CSR), subclass differentiation, and alternative expression of the same gene. Many species of birds, reptiles, and amphibians express a truncated isoform of immunoglobulin Y (IgY), termed IgY(ΔFc), which lacks the υCH3 and υCH4 domains. In Anseriformes, IgY(ΔFc) arises from alternative transcriptional termination sites within the same υ gene, whereas in some turtles, intact IgY and IgY(ΔFc) are encoded by distinct genes. Different from the previously reported IgY(ΔFc) variants, this study identified a truncated IgY in the snake <i>Elaphe taeniura</i>, characterized by the loss of only a portion of the CH4 domain. Western blotting and liquid chromatography-tandem mass spectrometry confirmed that this truncated IgY is generated by post-translational cleavage at N338 within the IgY heavy chain constant (CH) region. Furthermore, both human and snake asparaginyl endopeptidase were shown to cleave snake IgY <i>in vitro</i>. These findings reveal a novel mechanism for the production of shortened IgY forms, demonstrating that the immunoglobulin CH region undergoes diversification through distinct strategies across vertebrates.</p>","PeriodicalId":48636,"journal":{"name":"Zoological Research","volume":"46 2","pages":"277-284"},"PeriodicalIF":4.7000,"publicationDate":"2025-03-18","publicationTypes":"Journal Article","fieldsOfStudy":null,"isOpenAccess":false,"openAccessPdf":"https://www.ncbi.nlm.nih.gov/pmc/articles/PMC12000142/pdf/","citationCount":"0","resultStr":null,"platform":"Semanticscholar","paperid":null,"PeriodicalName":"Zoological Research","FirstCategoryId":"99","ListUrlMain":"https://doi.org/10.24272/j.issn.2095-8137.2024.295","RegionNum":1,"RegionCategory":"生物学","ArticlePicture":[],"TitleCN":null,"AbstractTextCN":null,"PMCID":null,"EPubDate":"","PubModel":"","JCR":"Q1","JCRName":"ZOOLOGY","Score":null,"Total":0}
引用次数: 0

Abstract

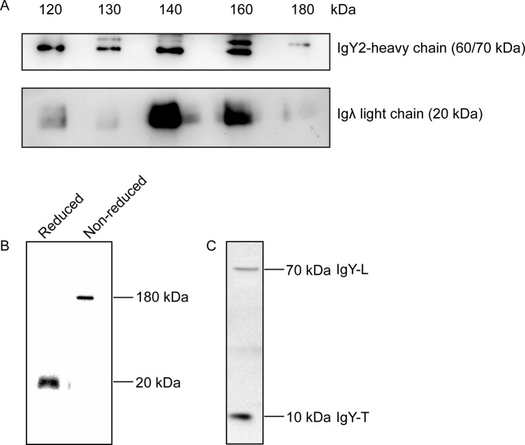
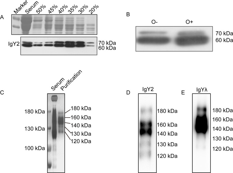
While variable regions of immunoglobulins are extensively diversified by V(D)J recombination and somatic hypermutation in vertebrates, the constant regions of immunoglobulin heavy chains also utilize certain mechanisms to produce diversity, including class switch recombination (CSR), subclass differentiation, and alternative expression of the same gene. Many species of birds, reptiles, and amphibians express a truncated isoform of immunoglobulin Y (IgY), termed IgY(ΔFc), which lacks the υCH3 and υCH4 domains. In Anseriformes, IgY(ΔFc) arises from alternative transcriptional termination sites within the same υ gene, whereas in some turtles, intact IgY and IgY(ΔFc) are encoded by distinct genes. Different from the previously reported IgY(ΔFc) variants, this study identified a truncated IgY in the snake Elaphe taeniura, characterized by the loss of only a portion of the CH4 domain. Western blotting and liquid chromatography-tandem mass spectrometry confirmed that this truncated IgY is generated by post-translational cleavage at N338 within the IgY heavy chain constant (CH) region. Furthermore, both human and snake asparaginyl endopeptidase were shown to cleave snake IgY in vitro. These findings reveal a novel mechanism for the production of shortened IgY forms, demonstrating that the immunoglobulin CH region undergoes diversification through distinct strategies across vertebrates.

Abstract Image

Abstract Image

Abstract Image

翻译后的分裂产生截断的IgY形式在蛇Elaphe taeniura。
在脊椎动物中,免疫球蛋白的可变区通过V(D)J重组和体细胞超突变而广泛多样化,而免疫球蛋白重链的恒定区也利用一定的机制产生多样性,包括类切换重组(CSR)、亚类分化和同一基因的替代表达。许多种类的鸟类、爬行动物和两栖动物表达免疫球蛋白Y(IgY)的截断异构体,称为IgY(ΔFc),缺乏 ch3和ch4结构域。在anserformes中,IgY(ΔFc)产生于相同基因υ内的替代转录终止位点,而在一些海龟中,完整的IgY和IgY(ΔFc)由不同的基因编码。与先前报道的IgY(ΔFc)变体不同,本研究在Elaphe taeniura蛇中发现了一个截断的IgY,其特征是仅丢失了一部分CH4结构域。Western blotting和液相色谱-串联质谱分析证实,该截断的IgY是由IgY重链常数(CH)区N338的翻译后裂解产生的。此外,人和蛇的天冬酰胺内肽酶均能体外裂解蛇IgY。这些发现揭示了缩短IgY形式产生的新机制,表明免疫球蛋白CH区域通过不同的策略在脊椎动物中经历多样化。
本文章由计算机程序翻译,如有差异,请以英文原文为准。
求助全文
约1分钟内获得全文 求助全文
来源期刊
Zoological Research
Zoological Research Medicine-General Medicine
CiteScore
7.60
自引率
10.20%
发文量
1937
审稿时长
8 weeks
期刊介绍: Established in 1980, Zoological Research (ZR) is a bimonthly publication produced by Kunming Institute of Zoology, the Chinese Academy of Sciences, and the China Zoological Society. It publishes peer-reviewed original research article/review/report/note/letter to the editor/editorial in English on Primates and Animal Models, Conservation and Utilization of Animal Resources, and Animal Diversity and Evolution.
×
引用
GB/T 7714-2015
复制
MLA
复制
APA
复制
导出至
BibTeX EndNote RefMan NoteFirst NoteExpress
×
提示
您的信息不完整,为了账户安全,请先补充。
现在去补充
×
提示
您因"违规操作"
具体请查看互助需知
我知道了
×
提示
确定
请完成安全验证×
copy
已复制链接
快去分享给好友吧!
我知道了
右上角分享
点击右上角分享
0
联系我们:info@booksci.cn Book学术提供免费学术资源搜索服务,方便国内外学者检索中英文文献。致力于提供最便捷和优质的服务体验。 Copyright © 2023 布克学术 All rights reserved.
京ICP备2023020795号-1
ghs 京公网安备 11010802042870号
Book学术文献互助
Book学术文献互助群
群 号:604180095
Book学术官方微信