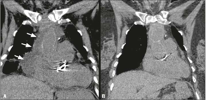
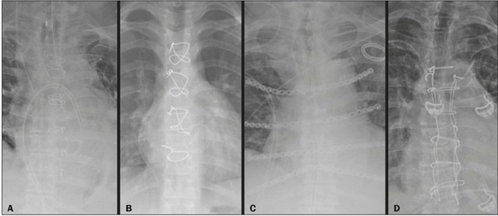
Expected imaging findings and postoperative complications of median sternotomy.

Q3 Medicine
Radiologia Brasileira Pub Date : 2025-02-11 eCollection Date: 2025-01-01 DOI:10.1590/0100-3984.2024.0094
Camila Pietroski Reifegerste, Bruno Lima Moreira, Renan Aguena Arakaki, Augusto Kreling Medeiros
{"title":"Expected imaging findings and postoperative complications of median sternotomy.","authors":"Camila Pietroski Reifegerste, Bruno Lima Moreira, Renan Aguena Arakaki, Augusto Kreling Medeiros","doi":"10.1590/0100-3984.2024.0094","DOIUrl":null,"url":null,"abstract":"<p><p>A typical approach for many cardiovascular surgical procedures is median sternotomy. Despite advances in surgical techniques and postoperative care, complications still occur in 0.5-5.0% of cases. Radiological assessment of the chest after sternotomy is a challenge, because normal findings resulting from surgical trauma can resemble complications. This pictorial essay aims to provide an overview of normal postoperative imaging findings and the spectrum of complications that can arise, including surgical material-related issues, hematomas, bone complications, and infections. Diagnosis and management require careful interpretation of imaging studies, considering the recovery timeline and clinical status of the patient. With the increasing number of cardiothoracic surgical procedures, this is essential knowledge for radiologists, allowing them to contribute to an accurate diagnosis and the appropriate management of patients.</p>","PeriodicalId":20842,"journal":{"name":"Radiologia Brasileira","volume":"58 ","pages":"e20240094"},"PeriodicalIF":0.0000,"publicationDate":"2025-02-11","publicationTypes":"Journal Article","fieldsOfStudy":null,"isOpenAccess":false,"openAccessPdf":"https://www.ncbi.nlm.nih.gov/pmc/articles/PMC11839153/pdf/","citationCount":"0","resultStr":null,"platform":"Semanticscholar","paperid":null,"PeriodicalName":"Radiologia Brasileira","FirstCategoryId":"1085","ListUrlMain":"https://doi.org/10.1590/0100-3984.2024.0094","RegionNum":0,"RegionCategory":null,"ArticlePicture":[],"TitleCN":null,"AbstractTextCN":null,"PMCID":null,"EPubDate":"2025/1/1 0:00:00","PubModel":"eCollection","JCR":"Q3","JCRName":"Medicine","Score":null,"Total":0}
引用次数: 0

Abstract

A typical approach for many cardiovascular surgical procedures is median sternotomy. Despite advances in surgical techniques and postoperative care, complications still occur in 0.5-5.0% of cases. Radiological assessment of the chest after sternotomy is a challenge, because normal findings resulting from surgical trauma can resemble complications. This pictorial essay aims to provide an overview of normal postoperative imaging findings and the spectrum of complications that can arise, including surgical material-related issues, hematomas, bone complications, and infections. Diagnosis and management require careful interpretation of imaging studies, considering the recovery timeline and clinical status of the patient. With the increasing number of cardiothoracic surgical procedures, this is essential knowledge for radiologists, allowing them to contribute to an accurate diagnosis and the appropriate management of patients.

Abstract Image

Abstract Image

Abstract Image

胸骨正中切开术的预期影像学表现及术后并发症。
许多心血管外科手术的典型入路是胸骨正中切开术。尽管手术技术和术后护理有所进步,但仍有0.5-5.0%的病例发生并发症。胸骨切开术后胸部的放射学评估是一个挑战,因为手术创伤后的正常结果可能与并发症相似。这篇图片文章旨在概述正常的术后影像学发现和可能出现的并发症,包括手术材料相关问题、血肿、骨并发症和感染。考虑到患者的恢复时间和临床状况,诊断和治疗需要仔细解释影像学检查。随着心胸外科手术数量的增加,这对放射科医生来说是必不可少的知识,使他们能够做出准确的诊断和适当的患者管理。
本文章由计算机程序翻译,如有差异,请以英文原文为准。
求助全文
约1分钟内获得全文 求助全文
来源期刊
Radiologia Brasileira
Radiologia Brasileira Medicine-Radiology, Nuclear Medicine and Imaging
CiteScore
2.60
自引率
0.00%
发文量
75
审稿时长
28 weeks
×
引用
GB/T 7714-2015
复制
MLA
复制
APA
复制
导出至
BibTeX EndNote RefMan NoteFirst NoteExpress
×
提示
您的信息不完整,为了账户安全,请先补充。
现在去补充
×
提示
您因"违规操作"
具体请查看互助需知
我知道了
×
提示
确定
请完成安全验证×
copy
已复制链接
快去分享给好友吧!
我知道了
右上角分享
点击右上角分享
0
联系我们:info@booksci.cn Book学术提供免费学术资源搜索服务,方便国内外学者检索中英文文献。致力于提供最便捷和优质的服务体验。 Copyright © 2023 布克学术 All rights reserved.
京ICP备2023020795号-1
ghs 京公网安备 11010802042870号
Book学术文献互助
Book学术文献互助群
群 号:604180095
Book学术官方微信