A Rare Case of Atherosclerosis of the Angular Artery Manifested as a Nodular Lesion on the Skin and Review of the Literature.

IF 0.9 Q4 DENTISTRY, ORAL SURGERY & MEDICINE
Case Reports in Dentistry Pub Date : 2025-02-07 eCollection Date: 2025-01-01 DOI:10.1155/crid/6001887
Wender Rodrigues Nazário, Marcondes Pedro Souza Novais, Anaíra Ribeiro Guedes Fonseca Costa, Débora de Oliveira Santos, Douglas Magallhães de Paula, Sérgio Vitorino Cardoso, Paulo Rogério de Faria
{"title":"A Rare Case of Atherosclerosis of the Angular Artery Manifested as a Nodular Lesion on the Skin and Review of the Literature.","authors":"Wender Rodrigues Nazário, Marcondes Pedro Souza Novais, Anaíra Ribeiro Guedes Fonseca Costa, Débora de Oliveira Santos, Douglas Magallhães de Paula, Sérgio Vitorino Cardoso, Paulo Rogério de Faria","doi":"10.1155/crid/6001887","DOIUrl":null,"url":null,"abstract":"<p><p>Atherosclerosis is an age-related disease affecting the tunica intima of large and medium-sized arteries. Its occurrence in extracranial head and neck arteries is rare, with only five cases reported. This study is aimed at reporting the sixth case of atherosclerosis of the angular artery, a branch of the facial artery, in an elderly male patient with a history of hypertension. Morphological characterization using special stains and a literature review are included. Clinically, a painless, nodular lesion measuring 1.2 cm was observed at the right labial commissure. The lesion was excised, and atherosclerosis of the angular artery was diagnosed. After 6 months, there was no recurrence or other arterial issues. Despite its rarity in the oral and maxillofacial region, dental clinicians must be aware of this condition and its clinical manifestations, especially in elderly patients with chronic systemic diseases, to establish an accurate diagnosis.</p>","PeriodicalId":46841,"journal":{"name":"Case Reports in Dentistry","volume":"2025 ","pages":"6001887"},"PeriodicalIF":0.9000,"publicationDate":"2025-02-07","publicationTypes":"Journal Article","fieldsOfStudy":null,"isOpenAccess":false,"openAccessPdf":"https://www.ncbi.nlm.nih.gov/pmc/articles/PMC11828654/pdf/","citationCount":"0","resultStr":null,"platform":"Semanticscholar","paperid":null,"PeriodicalName":"Case Reports in Dentistry","FirstCategoryId":"1085","ListUrlMain":"https://doi.org/10.1155/crid/6001887","RegionNum":0,"RegionCategory":null,"ArticlePicture":[],"TitleCN":null,"AbstractTextCN":null,"PMCID":null,"EPubDate":"2025/1/1 0:00:00","PubModel":"eCollection","JCR":"Q4","JCRName":"DENTISTRY, ORAL SURGERY & MEDICINE","Score":null,"Total":0}
引用次数: 0

Abstract

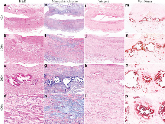
Atherosclerosis is an age-related disease affecting the tunica intima of large and medium-sized arteries. Its occurrence in extracranial head and neck arteries is rare, with only five cases reported. This study is aimed at reporting the sixth case of atherosclerosis of the angular artery, a branch of the facial artery, in an elderly male patient with a history of hypertension. Morphological characterization using special stains and a literature review are included. Clinically, a painless, nodular lesion measuring 1.2 cm was observed at the right labial commissure. The lesion was excised, and atherosclerosis of the angular artery was diagnosed. After 6 months, there was no recurrence or other arterial issues. Despite its rarity in the oral and maxillofacial region, dental clinicians must be aware of this condition and its clinical manifestations, especially in elderly patients with chronic systemic diseases, to establish an accurate diagnosis.

Abstract Image

Abstract Image

Abstract Image

角状动脉粥样硬化表现为皮肤结节状病变1例并文献复习。
动脉粥样硬化是一种影响大、中动脉内膜的老年性疾病。它发生在颅外头颈动脉是罕见的,只有5例报告。本研究旨在报告第6例角动脉动脉粥样硬化,角动脉是面部动脉的一个分支,在一个有高血压史的老年男性患者。形态学表征使用特殊的染色和文献综述包括。临床表现为右侧唇连处一无痛结节状病变,直径1.2 cm。切除病变,诊断为角状动脉粥样硬化。6个月后,没有复发或其他动脉问题。尽管它在口腔颌面少见,但牙科临床医生必须了解这种情况及其临床表现,特别是在患有慢性全身性疾病的老年患者中,以建立准确的诊断。
本文章由计算机程序翻译,如有差异,请以英文原文为准。
求助全文
约1分钟内获得全文 求助全文
来源期刊
Case Reports in Dentistry
Case Reports in Dentistry DENTISTRY, ORAL SURGERY & MEDICINE-
CiteScore
1.40
自引率
12.50%
发文量
107
审稿时长
14 weeks
期刊介绍: Case Reports in Dentistry is a peer-reviewed, Open Access journal that publishes case reports and case series in all areas of dentistry, including periodontal diseases, dental implants, oral pathology, as well as oral and maxillofacial surgery.
×
引用
GB/T 7714-2015
复制
MLA
复制
APA
复制
导出至
BibTeX EndNote RefMan NoteFirst NoteExpress
×
提示
您的信息不完整,为了账户安全,请先补充。
现在去补充
×
提示
您因"违规操作"
具体请查看互助需知
我知道了
×
提示
确定
请完成安全验证×
copy
已复制链接
快去分享给好友吧!
我知道了
右上角分享
点击右上角分享
0
联系我们:info@booksci.cn Book学术提供免费学术资源搜索服务,方便国内外学者检索中英文文献。致力于提供最便捷和优质的服务体验。 Copyright © 2023 布克学术 All rights reserved.
京ICP备2023020795号-1
ghs 京公网安备 11010802042870号
Book学术文献互助
Book学术文献互助群
群 号:604180095
Book学术官方微信