Histopathological parameters and immunoexpression of CD45RO (CLA) and CD68 in chronic rhinosinusitis with nasal polyps.

IF 1.5 4区 医学 Q4 DEVELOPMENTAL BIOLOGY
Irina Enache, Alex Emilian Stepan, Florin Anghelina, Ionică Daniel Vîlcea, Mioara Desdemona Stepan, Carmen Aurelia Mogoantă, Andrei Osman
{"title":"Histopathological parameters and immunoexpression of CD45RO (CLA) and CD68 in chronic rhinosinusitis with nasal polyps.","authors":"Irina Enache, Alex Emilian Stepan, Florin Anghelina, Ionică Daniel Vîlcea, Mioara Desdemona Stepan, Carmen Aurelia Mogoantă, Andrei Osman","doi":"10.47162/RJME.65.4.12","DOIUrl":null,"url":null,"abstract":"<p><p>Nasal polyps develop as a result of inflammation of the nasal and sinus mucosa. Allergies and nasal infections cause inflammation, and these are the main reasons why these symptoms appear in the first place. This study highlights the involvement of macrophages, as well as T- and B-lymphocytes, in the pathophysiology of nasal polyps. For the evaluation of lymphocyte activity, we analyzed the immunoexpression of cluster of differentiation 45RO [CD45RO; common leukocyte antigen (CLA)] and for macrophages we analyzed the immunoexpression of cluster of differentiation 68 (CD68). Our research, conducted on 110 sinonasal polyps harvested from chronic rhinosinusitis patients with nasal polyps, focused on analyzing both the epithelial and stromal compartments in relation to pre-established composite scores. Additionally, specific histopathological parameters were included in the study. We concluded that the inflammatory cells were more prevalent in the stromal compartment compared to the epithelial compartment. The statistical evaluation of CD45RO (CLA) and CD68 scores in the stromal compartment were also associated with high histological composite scores.</p>","PeriodicalId":54447,"journal":{"name":"Romanian Journal of Morphology and Embryology","volume":"65 4","pages":"655-660"},"PeriodicalIF":1.5000,"publicationDate":"2024-10-01","publicationTypes":"Journal Article","fieldsOfStudy":null,"isOpenAccess":false,"openAccessPdf":"https://www.ncbi.nlm.nih.gov/pmc/articles/PMC11924912/pdf/","citationCount":"0","resultStr":null,"platform":"Semanticscholar","paperid":null,"PeriodicalName":"Romanian Journal of Morphology and Embryology","FirstCategoryId":"3","ListUrlMain":"https://doi.org/10.47162/RJME.65.4.12","RegionNum":4,"RegionCategory":"医学","ArticlePicture":[],"TitleCN":null,"AbstractTextCN":null,"PMCID":null,"EPubDate":"","PubModel":"","JCR":"Q4","JCRName":"DEVELOPMENTAL BIOLOGY","Score":null,"Total":0}
引用次数: 0

Abstract

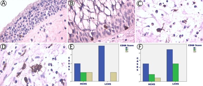
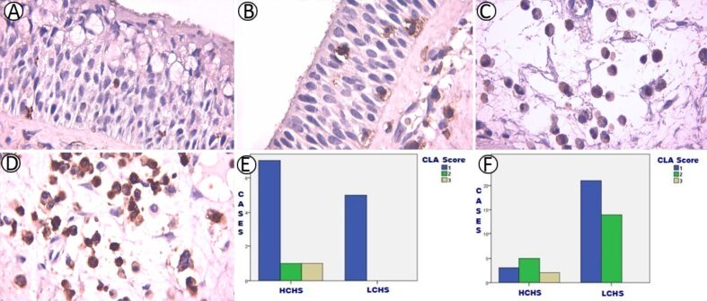
Nasal polyps develop as a result of inflammation of the nasal and sinus mucosa. Allergies and nasal infections cause inflammation, and these are the main reasons why these symptoms appear in the first place. This study highlights the involvement of macrophages, as well as T- and B-lymphocytes, in the pathophysiology of nasal polyps. For the evaluation of lymphocyte activity, we analyzed the immunoexpression of cluster of differentiation 45RO [CD45RO; common leukocyte antigen (CLA)] and for macrophages we analyzed the immunoexpression of cluster of differentiation 68 (CD68). Our research, conducted on 110 sinonasal polyps harvested from chronic rhinosinusitis patients with nasal polyps, focused on analyzing both the epithelial and stromal compartments in relation to pre-established composite scores. Additionally, specific histopathological parameters were included in the study. We concluded that the inflammatory cells were more prevalent in the stromal compartment compared to the epithelial compartment. The statistical evaluation of CD45RO (CLA) and CD68 scores in the stromal compartment were also associated with high histological composite scores.

Abstract Image

Abstract Image

慢性鼻窦炎伴鼻息肉组织病理参数及CD45RO (CLA)和CD68的免疫表达。
鼻息肉是鼻腔和鼻窦粘膜炎症的结果。过敏和鼻腔感染引起炎症,这些是这些症状出现的主要原因。本研究强调巨噬细胞以及T淋巴细胞和b淋巴细胞参与鼻息肉的病理生理。为了评价淋巴细胞活性,我们分析了分化簇45RO [CD45RO;对于巨噬细胞,我们分析了CD68 (cluster of differentiation 68)的免疫表达。我们对110个从慢性鼻窦炎鼻息肉患者中采集的鼻息肉进行了研究,重点分析了上皮和间质室与预先建立的复合评分的关系。此外,研究还包括了特定的组织病理学参数。我们得出结论,炎症细胞在间质室比上皮室更普遍。间质室CD45RO (CLA)和CD68评分的统计评估也与高组织学综合评分相关。
本文章由计算机程序翻译,如有差异,请以英文原文为准。
求助全文
约1分钟内获得全文 求助全文
来源期刊
CiteScore
1.70
自引率
20.00%
发文量
221
审稿时长
3-8 weeks
期刊介绍: Romanian Journal of Morphology and Embryology (Rom J Morphol Embryol) publishes studies on all aspects of normal morphology and human comparative and experimental pathology. The Journal accepts only researches that utilize modern investigation methods (studies of anatomy, pathology, cytopathology, immunohistochemistry, histochemistry, immunology, morphometry, molecular and cellular biology, electronic microscopy, etc.).
×
引用
GB/T 7714-2015
复制
MLA
复制
APA
复制
导出至
BibTeX EndNote RefMan NoteFirst NoteExpress
×
提示
您的信息不完整,为了账户安全,请先补充。
现在去补充
×
提示
您因"违规操作"
具体请查看互助需知
我知道了
×
提示
确定
请完成安全验证×
copy
已复制链接
快去分享给好友吧!
我知道了
右上角分享
点击右上角分享
0
联系我们:info@booksci.cn Book学术提供免费学术资源搜索服务,方便国内外学者检索中英文文献。致力于提供最便捷和优质的服务体验。 Copyright © 2023 布克学术 All rights reserved.
京ICP备2023020795号-1
ghs 京公网安备 11010802042870号
Book学术文献互助
Book学术文献互助群
群 号:604180095
Book学术官方微信