Ruptured ovarian dermoid causing chemical peritonitis: a case report.

IF 0.5 Q4 RADIOLOGY, NUCLEAR MEDICINE & MEDICAL IMAGING
BJR Case Reports Pub Date : 2025-02-10 eCollection Date: 2025-01-01 DOI:10.1093/bjrcr/uaaf004
Vrinda Chandar, Joel Kevin Raj Samuel, Ajay Kumar Singh
{"title":"Ruptured ovarian dermoid causing chemical peritonitis: a case report.","authors":"Vrinda Chandar, Joel Kevin Raj Samuel, Ajay Kumar Singh","doi":"10.1093/bjrcr/uaaf004","DOIUrl":null,"url":null,"abstract":"<p><p>Spontaneous rupture of ovarian dermoid cysts is uncommon. We describe a case of a 32-year-old female who presented to the emergency room with abdominal pain and distension. The patient was discovered to have a ruptured dermoid cyst which caused chemical peritonitis and was managed surgically.</p>","PeriodicalId":45216,"journal":{"name":"BJR Case Reports","volume":"11 1","pages":"uaaf004"},"PeriodicalIF":0.5000,"publicationDate":"2025-02-10","publicationTypes":"Journal Article","fieldsOfStudy":null,"isOpenAccess":false,"openAccessPdf":"https://www.ncbi.nlm.nih.gov/pmc/articles/PMC11825387/pdf/","citationCount":"0","resultStr":null,"platform":"Semanticscholar","paperid":null,"PeriodicalName":"BJR Case Reports","FirstCategoryId":"1085","ListUrlMain":"https://doi.org/10.1093/bjrcr/uaaf004","RegionNum":0,"RegionCategory":null,"ArticlePicture":[],"TitleCN":null,"AbstractTextCN":null,"PMCID":null,"EPubDate":"2025/1/1 0:00:00","PubModel":"eCollection","JCR":"Q4","JCRName":"RADIOLOGY, NUCLEAR MEDICINE & MEDICAL IMAGING","Score":null,"Total":0}
引用次数: 0

Abstract

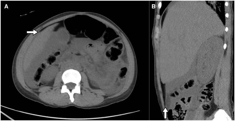
Spontaneous rupture of ovarian dermoid cysts is uncommon. We describe a case of a 32-year-old female who presented to the emergency room with abdominal pain and distension. The patient was discovered to have a ruptured dermoid cyst which caused chemical peritonitis and was managed surgically.

Abstract Image

Abstract Image

Abstract Image

卵巢皮样破裂致化学性腹膜炎1例。
卵巢皮样囊肿自发性破裂并不常见。我们描述了一个32岁的女性谁提出了腹痛和腹胀急诊室。病人被发现有破裂的皮样囊肿,引起化学性腹膜炎,并进行手术治疗。
本文章由计算机程序翻译,如有差异,请以英文原文为准。
求助全文
约1分钟内获得全文 求助全文
来源期刊
BJR Case Reports
BJR Case Reports RADIOLOGY, NUCLEAR MEDICINE & MEDICAL IMAGING-
自引率
0.00%
发文量
77
审稿时长
11 weeks
×
引用
GB/T 7714-2015
复制
MLA
复制
APA
复制
导出至
BibTeX EndNote RefMan NoteFirst NoteExpress
×
提示
您的信息不完整,为了账户安全,请先补充。
现在去补充
×
提示
您因"违规操作"
具体请查看互助需知
我知道了
×
提示
确定
请完成安全验证×
copy
已复制链接
快去分享给好友吧!
我知道了
右上角分享
点击右上角分享
0
联系我们:info@booksci.cn Book学术提供免费学术资源搜索服务,方便国内外学者检索中英文文献。致力于提供最便捷和优质的服务体验。 Copyright © 2023 布克学术 All rights reserved.
京ICP备2023020795号-1
ghs 京公网安备 11010802042870号
Book学术文献互助
Book学术文献互助群
群 号:604180095
Book学术官方微信