Conjunctival Lymphangiectasia is Likely Lymphatic-venous Lesions: A Clinicopathologic and Immunohistochemical Study.

IF 0.3 Q4 OPHTHALMOLOGY
Middle East African Journal of Ophthalmology Pub Date : 2024-12-02 eCollection Date: 2023-10-01 DOI:10.4103/meajo.meajo_95_24
Huda Al Ghadeer, Catherine Wang, Hind Alkatan, Rajiv Khandekar, Azza Al Maktabi, Deepak P Edward
{"title":"Conjunctival Lymphangiectasia is Likely Lymphatic-venous Lesions: A Clinicopathologic and Immunohistochemical Study.","authors":"Huda Al Ghadeer, Catherine Wang, Hind Alkatan, Rajiv Khandekar, Azza Al Maktabi, Deepak P Edward","doi":"10.4103/meajo.meajo_95_24","DOIUrl":null,"url":null,"abstract":"<p><strong>Purpose: </strong>To report the clinical presentation, histopathological and immunohistological features of conjunctival lymphatic-venous lesions.</p><p><strong>Methods: </strong>This was a retrospective review of 15 patients with symptomatic conjunctival lymphatic-venous lesions. The clinical features and histopathologic features of the excised tissues were reviewed. Immunohistochemical staining with antibodies against CD34 to label vascular endothelium and D2-40 to label lymphatic endothelium was performed.</p><p><strong>Results: </strong>All patients had unilateral conjunctival involvement. The mean age was 48.9 ± 18.9 years, with more women affected (67%). No patient had impaired visual acuity secondary to the lesion. The location of the lesion was temporal in 67% of patients. The presenting symptoms included conjunctival swelling, discomfort and/or foreign-body sensation, and tearing. All lesions were excised, and none recurred. All excised lesions showed dilated channels that were lined by a flattened endothelium staining positive with CD34, surrounded by edematous lamina propria. Larger ectatic lymphatic channels demonstrated scattered D2-40 staining in the endothelial cell lining and patchy CD34 staining within the endothelial cell cytoplasm. D2-40 and CD-34 immunoreactivity did not overlap in the same cells.</p><p><strong>Conclusion: </strong>The clinical features and outcomes of the lesions in this large cohort were similar to those reported in the literature. However, the mixed immunoreactivity of the endothelial cells lining these ectatic lymphatic channels in the conjunctiva suggests that these channels are lymphatic-venous lesions. We suggest that these channels be termed conjunctival lymphaticovenous malformation rather than lymphangiectasia, which suggests ectasia of existing lymphatics. Future studies are needed to understand these lesions and their histopathologic origins.</p>","PeriodicalId":18740,"journal":{"name":"Middle East African Journal of Ophthalmology","volume":"30 4","pages":"214-219"},"PeriodicalIF":0.3000,"publicationDate":"2024-12-02","publicationTypes":"Journal Article","fieldsOfStudy":null,"isOpenAccess":false,"openAccessPdf":"https://www.ncbi.nlm.nih.gov/pmc/articles/PMC11823533/pdf/","citationCount":"0","resultStr":null,"platform":"Semanticscholar","paperid":null,"PeriodicalName":"Middle East African Journal of Ophthalmology","FirstCategoryId":"1085","ListUrlMain":"https://doi.org/10.4103/meajo.meajo_95_24","RegionNum":0,"RegionCategory":null,"ArticlePicture":[],"TitleCN":null,"AbstractTextCN":null,"PMCID":null,"EPubDate":"2023/10/1 0:00:00","PubModel":"eCollection","JCR":"Q4","JCRName":"OPHTHALMOLOGY","Score":null,"Total":0}
引用次数: 0

Abstract

Purpose: To report the clinical presentation, histopathological and immunohistological features of conjunctival lymphatic-venous lesions.

Methods: This was a retrospective review of 15 patients with symptomatic conjunctival lymphatic-venous lesions. The clinical features and histopathologic features of the excised tissues were reviewed. Immunohistochemical staining with antibodies against CD34 to label vascular endothelium and D2-40 to label lymphatic endothelium was performed.

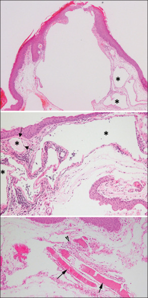
Results: All patients had unilateral conjunctival involvement. The mean age was 48.9 ± 18.9 years, with more women affected (67%). No patient had impaired visual acuity secondary to the lesion. The location of the lesion was temporal in 67% of patients. The presenting symptoms included conjunctival swelling, discomfort and/or foreign-body sensation, and tearing. All lesions were excised, and none recurred. All excised lesions showed dilated channels that were lined by a flattened endothelium staining positive with CD34, surrounded by edematous lamina propria. Larger ectatic lymphatic channels demonstrated scattered D2-40 staining in the endothelial cell lining and patchy CD34 staining within the endothelial cell cytoplasm. D2-40 and CD-34 immunoreactivity did not overlap in the same cells.

Conclusion: The clinical features and outcomes of the lesions in this large cohort were similar to those reported in the literature. However, the mixed immunoreactivity of the endothelial cells lining these ectatic lymphatic channels in the conjunctiva suggests that these channels are lymphatic-venous lesions. We suggest that these channels be termed conjunctival lymphaticovenous malformation rather than lymphangiectasia, which suggests ectasia of existing lymphatics. Future studies are needed to understand these lesions and their histopathologic origins.

Abstract Image

Abstract Image

Abstract Image

结膜淋巴血管扩张可能是淋巴静脉病变:临床病理和免疫组织化学研究。
目的:报道结膜淋巴静脉病变的临床表现、组织病理学和免疫组织学特征。方法:回顾性分析15例有症状结膜淋巴静脉病变的患者。回顾了切除组织的临床特征和组织病理学特征。用CD34抗体标记血管内皮和D2-40抗体标记淋巴内皮进行免疫组化染色。结果:所有患者均有单侧结膜受累。平均年龄48.9±18.9岁,女性患者较多(67%)。没有患者继发视力受损。67%的患者病灶位于颞部。主要症状包括结膜肿胀、不适和/或异物感和流泪。所有病变均切除,无复发。所有切除的病变均显示扩张的通道,通道内排列着CD34染色阳性的扁平内皮,周围是水肿的固有层。较大的扩张淋巴通道在内皮细胞内壁呈分散的D2-40染色,在内皮细胞胞质内呈斑片状CD34染色。D2-40和CD-34的免疫反应性在同一细胞中不重叠。结论:在这个大的队列中,病变的临床特征和结果与文献报道相似。然而,结膜扩张淋巴通道内皮细胞的混合免疫反应性提示这些通道是淋巴-静脉病变。我们建议这些通道被称为结膜淋巴囊肿畸形,而不是淋巴管扩张,这表明现有淋巴管扩张。未来的研究需要了解这些病变及其组织病理学起源。
本文章由计算机程序翻译,如有差异,请以英文原文为准。
求助全文
约1分钟内获得全文 求助全文
来源期刊
CiteScore
1.40
自引率
0.00%
发文量
1
期刊介绍: The Middle East African Journal of Ophthalmology (MEAJO), published four times per year in print and online, is an official journal of the Middle East African Council of Ophthalmology (MEACO). It is an international, peer-reviewed journal whose mission includes publication of original research of interest to ophthalmologists in the Middle East and Africa, and to provide readers with high quality educational review articles from world-renown experts. MEAJO, previously known as Middle East Journal of Ophthalmology (MEJO) was founded by Dr Akef El Maghraby in 1993.
×
引用
GB/T 7714-2015
复制
MLA
复制
APA
复制
导出至
BibTeX EndNote RefMan NoteFirst NoteExpress
×
提示
您的信息不完整,为了账户安全,请先补充。
现在去补充
×
提示
您因"违规操作"
具体请查看互助需知
我知道了
×
提示
确定
请完成安全验证×
copy
已复制链接
快去分享给好友吧!
我知道了
右上角分享
点击右上角分享
0
联系我们:info@booksci.cn Book学术提供免费学术资源搜索服务,方便国内外学者检索中英文文献。致力于提供最便捷和优质的服务体验。 Copyright © 2023 布克学术 All rights reserved.
京ICP备2023020795号-1
ghs 京公网安备 11010802042870号
Book学术文献互助
Book学术文献互助群
群 号:604180095
Book学术官方微信