Bilateral Combined Central Retinal Artery and Vein Occlusion in a Child with Purtscher Retinopathy: A Case Report and Review of the Literature.

IF 0.3 Q4 OPHTHALMOLOGY
Middle East African Journal of Ophthalmology Pub Date : 2024-12-02 eCollection Date: 2023-10-01 DOI:10.4103/meajo.meajo_170_23
Dhoha M Alhamad, Asma N AlGhamdi, Batool S AlOtaibi
{"title":"Bilateral Combined Central Retinal Artery and Vein Occlusion in a Child with Purtscher Retinopathy: A Case Report and Review of the Literature.","authors":"Dhoha M Alhamad, Asma N AlGhamdi, Batool S AlOtaibi","doi":"10.4103/meajo.meajo_170_23","DOIUrl":null,"url":null,"abstract":"<p><p>Purtscher retinopathy is a hemorrhagic and vaso-occlusive vasculopathy that results from head trauma. Typically, patients present with sudden onset of painless reduction in visual acuity and a group of retinal findings including retinal hemorrhages, retinal whitening, and optic disc edema. The objectives of the study were to describe the rare occurrence of combined central retinal artery and central vein occlusion in a child with Purtscher retinopathy and to illustrate the course of visual recovery and anatomical changes over 6 months of follow-up. The data were collected from the patient file including circumstances of presentation, visual acuity, anterior segment examination, fundus photography, fundus fluorescein angiography (FFA), B scan ultrasonography (B scan), and optical coherence tomography (OCT). Follow-ups over a 6-month period with repeated imaging were documented. A 6-year-old boy presented with a complaint of bilateral vision loss which occurred 2 days after falling out of high bed. On examination, visual acuity was hand motion bilaterally. External and anterior segments exhibited regular examination, apart from traumatic iritis in both eyes. Posterior segment examination showed intraretinal hemorrhages, retinal whitening bilaterally, and exudative retinal detachment, which was confirmed by OCT and B-scan. FFA of both the eyes showed delayed arterial and venous filling with macular hypoperfusion. Comprehensive systemic workup including brain imaging, hematology, immunology, and uveitis screening was negative. The patient was treated with a high-dose oral steroid. Six months later, his vision improved to 20/40 OD and 20/28 OS. Fundus examination and OCT showed peripheral retinal atrophy but preserved subfoveal outer retinal layers, which explained the visual improvement. Treatment with corticosteroids seems to be effective in reducing retinal edema and hastened visual recovery in patients with Purtscher retinopathy. Cilioretinal artery sparing can preserve the central vision in cases with combined artery and vein occlusion.</p>","PeriodicalId":18740,"journal":{"name":"Middle East African Journal of Ophthalmology","volume":"30 4","pages":"274-280"},"PeriodicalIF":0.3000,"publicationDate":"2024-12-02","publicationTypes":"Journal Article","fieldsOfStudy":null,"isOpenAccess":false,"openAccessPdf":"https://www.ncbi.nlm.nih.gov/pmc/articles/PMC11823534/pdf/","citationCount":"0","resultStr":null,"platform":"Semanticscholar","paperid":null,"PeriodicalName":"Middle East African Journal of Ophthalmology","FirstCategoryId":"1085","ListUrlMain":"https://doi.org/10.4103/meajo.meajo_170_23","RegionNum":0,"RegionCategory":null,"ArticlePicture":[],"TitleCN":null,"AbstractTextCN":null,"PMCID":null,"EPubDate":"2023/10/1 0:00:00","PubModel":"eCollection","JCR":"Q4","JCRName":"OPHTHALMOLOGY","Score":null,"Total":0}
引用次数: 0

Abstract

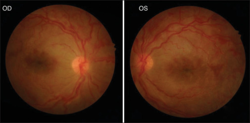
Purtscher retinopathy is a hemorrhagic and vaso-occlusive vasculopathy that results from head trauma. Typically, patients present with sudden onset of painless reduction in visual acuity and a group of retinal findings including retinal hemorrhages, retinal whitening, and optic disc edema. The objectives of the study were to describe the rare occurrence of combined central retinal artery and central vein occlusion in a child with Purtscher retinopathy and to illustrate the course of visual recovery and anatomical changes over 6 months of follow-up. The data were collected from the patient file including circumstances of presentation, visual acuity, anterior segment examination, fundus photography, fundus fluorescein angiography (FFA), B scan ultrasonography (B scan), and optical coherence tomography (OCT). Follow-ups over a 6-month period with repeated imaging were documented. A 6-year-old boy presented with a complaint of bilateral vision loss which occurred 2 days after falling out of high bed. On examination, visual acuity was hand motion bilaterally. External and anterior segments exhibited regular examination, apart from traumatic iritis in both eyes. Posterior segment examination showed intraretinal hemorrhages, retinal whitening bilaterally, and exudative retinal detachment, which was confirmed by OCT and B-scan. FFA of both the eyes showed delayed arterial and venous filling with macular hypoperfusion. Comprehensive systemic workup including brain imaging, hematology, immunology, and uveitis screening was negative. The patient was treated with a high-dose oral steroid. Six months later, his vision improved to 20/40 OD and 20/28 OS. Fundus examination and OCT showed peripheral retinal atrophy but preserved subfoveal outer retinal layers, which explained the visual improvement. Treatment with corticosteroids seems to be effective in reducing retinal edema and hastened visual recovery in patients with Purtscher retinopathy. Cilioretinal artery sparing can preserve the central vision in cases with combined artery and vein occlusion.

Abstract Image

Abstract Image

Abstract Image

儿童Purtscher视网膜病变双侧合并视网膜中央动静脉闭塞1例报告及文献复习。
Purtscher视网膜病变是一种由头部外伤引起的出血性血管闭塞性血管病变。通常,患者表现为突然发作的无痛性视力下降和一组视网膜表现,包括视网膜出血、视网膜变白和视盘水肿。本研究的目的是描述罕见的合并视网膜中央动脉和中央静脉闭塞的儿童Purtscher视网膜病变,并说明视力恢复的过程和解剖变化超过6个月的随访。资料收集自患者档案,包括表现、视力、前段检查、眼底摄影、眼底荧光素血管造影(FFA)、B超扫描(B scan)和光学相干断层扫描(OCT)。随访6个月,反复影像学检查。一名6岁男童在从高床上摔下2天后出现双侧视力丧失。检查时,视力为双侧手部运动。双眼除外伤性虹膜炎外,外前段均有常规检查。后节段检查显示视网膜内出血,双侧视网膜变白,渗出性视网膜脱离,经OCT和b超证实。双眼FFA显示动脉和静脉充盈延迟,黄斑血流灌注不足。全面的系统检查包括脑成像、血液学、免疫学和葡萄膜炎筛查均为阴性。病人接受大剂量口服类固醇治疗。六个月后,他的视力改善到20/40 OD和20/28 OS。眼底检查和OCT显示周围视网膜萎缩,但保留了中央凹下视网膜外层,这解释了视力的改善。皮质类固醇治疗似乎可以有效地减少视网膜水肿,加速Purtscher视网膜病变患者的视力恢复。保留纤毛视网膜动脉可保留动、静脉联合闭塞患者的中央视力。
本文章由计算机程序翻译,如有差异,请以英文原文为准。
求助全文
约1分钟内获得全文 求助全文
来源期刊
CiteScore
1.40
自引率
0.00%
发文量
1
期刊介绍: The Middle East African Journal of Ophthalmology (MEAJO), published four times per year in print and online, is an official journal of the Middle East African Council of Ophthalmology (MEACO). It is an international, peer-reviewed journal whose mission includes publication of original research of interest to ophthalmologists in the Middle East and Africa, and to provide readers with high quality educational review articles from world-renown experts. MEAJO, previously known as Middle East Journal of Ophthalmology (MEJO) was founded by Dr Akef El Maghraby in 1993.
×
引用
GB/T 7714-2015
复制
MLA
复制
APA
复制
导出至
BibTeX EndNote RefMan NoteFirst NoteExpress
×
提示
您的信息不完整,为了账户安全,请先补充。
现在去补充
×
提示
您因"违规操作"
具体请查看互助需知
我知道了
×
提示
确定
请完成安全验证×
copy
已复制链接
快去分享给好友吧!
我知道了
右上角分享
点击右上角分享
0
联系我们:info@booksci.cn Book学术提供免费学术资源搜索服务,方便国内外学者检索中英文文献。致力于提供最便捷和优质的服务体验。 Copyright © 2023 布克学术 All rights reserved.
京ICP备2023020795号-1
ghs 京公网安备 11010802042870号
Book学术文献互助
Book学术文献互助群
群 号:604180095
Book学术官方微信