Bilateral Foveal Damage Induced by Indirect Picosecond Nd:YAG Laser Exposure: A Case Report.

IF 0.4 Q4 OPHTHALMOLOGY
Case Reports in Ophthalmological Medicine Pub Date : 2025-02-07 eCollection Date: 2025-01-01 DOI:10.1155/crop/6664488
Takahiro Miyake, Naoki Kimura, Fumi Gomi
{"title":"Bilateral Foveal Damage Induced by Indirect Picosecond Nd:YAG Laser Exposure: A Case Report.","authors":"Takahiro Miyake, Naoki Kimura, Fumi Gomi","doi":"10.1155/crop/6664488","DOIUrl":null,"url":null,"abstract":"<p><p><b>Introduction:</b> Accidental retinal injuries caused by lasers without appropriate eye protection are not rare; most cases are unilateral. We report the case of a medical nurse who sustained bilateral foveal damage through indirect exposure to a picosecond dermal laser. <b>Case Presentation:</b> A 23-year-old nurse working in a cosmetic surgery clinic was using a picosecond KTP/Nd:YAG laser for tattoo removal. Because the procedure was complicated, she neglected the use of protective eyewear and experienced dazzle. Thirty minutes after starting the procedure, she developed central scotomas in both eyes. We examined her eyes the next day. Ophthalmologic examination revealed best-corrected decimal visual acuity (BCVA) of 0.6 in the right eye and 0.3 in the left eye. Spectral domain-optical coherence tomography showed a hyperreflective inner retinal layer with a lamellar defect and focal outer retinal detachment in the right eye; the left eye exhibited intra- and subretinal foveal hemorrhages. Injections of sub-Tenon's triamcinolone acetonide (12 mg/0.3 mL) in the right eye and intravitreal tissue plasminogen activator (30 <i>μ</i>g/0.05 mL) in the left eye were administered on the same day. Two weeks later, a full-thickness macular hole (FTMH) was identified in the right eye; pars plana vitrectomy was required 6 weeks after initial presentation. Because the FTMH failed to close, a second procedure was performed 2 months later. One year after initial presentation, BCVA in the right eye had improved to 0.4. Although the FTMH remained closed, an outer retinal layer defect persisted. In the left eye, foveal hemorrhage resolved within 1 month of initial presentation. At the 1-year follow-up, BCVA in the left eye was 0.4; outer retinal layer disruption was evident at the central fovea. <b>Conclusions:</b> Continuous Nd:YAG laser exposure during cosmetic procedures likely caused the bilateral foveal damage observed in this case. All individuals using lasers must be aware of the importance of protective goggles.</p>","PeriodicalId":9603,"journal":{"name":"Case Reports in Ophthalmological Medicine","volume":"2025 ","pages":"6664488"},"PeriodicalIF":0.4000,"publicationDate":"2025-02-07","publicationTypes":"Journal Article","fieldsOfStudy":null,"isOpenAccess":false,"openAccessPdf":"https://www.ncbi.nlm.nih.gov/pmc/articles/PMC11828650/pdf/","citationCount":"0","resultStr":null,"platform":"Semanticscholar","paperid":null,"PeriodicalName":"Case Reports in Ophthalmological Medicine","FirstCategoryId":"1085","ListUrlMain":"https://doi.org/10.1155/crop/6664488","RegionNum":0,"RegionCategory":null,"ArticlePicture":[],"TitleCN":null,"AbstractTextCN":null,"PMCID":null,"EPubDate":"2025/1/1 0:00:00","PubModel":"eCollection","JCR":"Q4","JCRName":"OPHTHALMOLOGY","Score":null,"Total":0}
引用次数: 0

Abstract

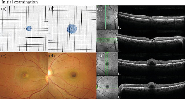
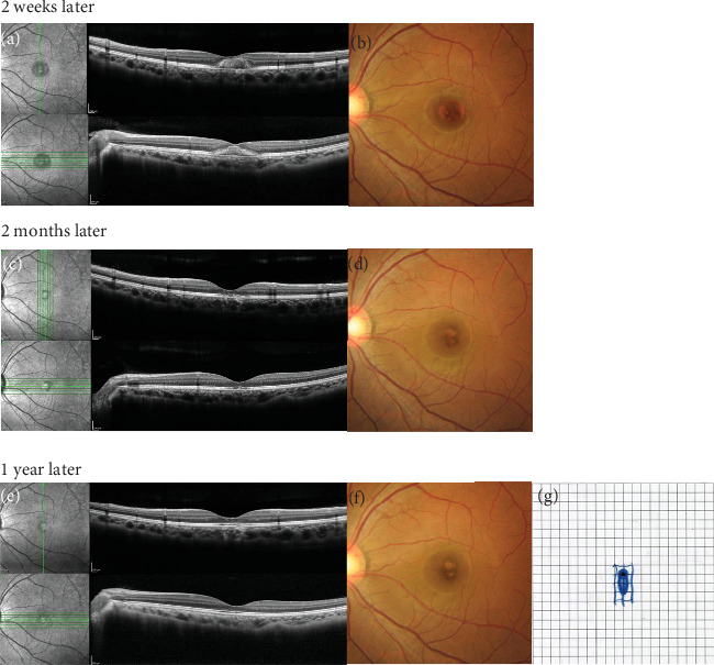
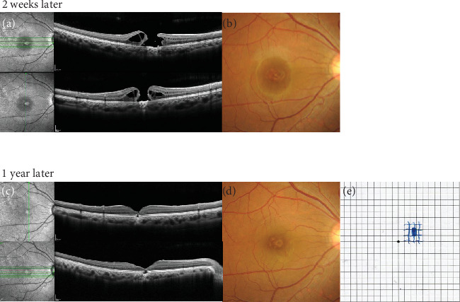
Introduction: Accidental retinal injuries caused by lasers without appropriate eye protection are not rare; most cases are unilateral. We report the case of a medical nurse who sustained bilateral foveal damage through indirect exposure to a picosecond dermal laser. Case Presentation: A 23-year-old nurse working in a cosmetic surgery clinic was using a picosecond KTP/Nd:YAG laser for tattoo removal. Because the procedure was complicated, she neglected the use of protective eyewear and experienced dazzle. Thirty minutes after starting the procedure, she developed central scotomas in both eyes. We examined her eyes the next day. Ophthalmologic examination revealed best-corrected decimal visual acuity (BCVA) of 0.6 in the right eye and 0.3 in the left eye. Spectral domain-optical coherence tomography showed a hyperreflective inner retinal layer with a lamellar defect and focal outer retinal detachment in the right eye; the left eye exhibited intra- and subretinal foveal hemorrhages. Injections of sub-Tenon's triamcinolone acetonide (12 mg/0.3 mL) in the right eye and intravitreal tissue plasminogen activator (30 μg/0.05 mL) in the left eye were administered on the same day. Two weeks later, a full-thickness macular hole (FTMH) was identified in the right eye; pars plana vitrectomy was required 6 weeks after initial presentation. Because the FTMH failed to close, a second procedure was performed 2 months later. One year after initial presentation, BCVA in the right eye had improved to 0.4. Although the FTMH remained closed, an outer retinal layer defect persisted. In the left eye, foveal hemorrhage resolved within 1 month of initial presentation. At the 1-year follow-up, BCVA in the left eye was 0.4; outer retinal layer disruption was evident at the central fovea. Conclusions: Continuous Nd:YAG laser exposure during cosmetic procedures likely caused the bilateral foveal damage observed in this case. All individuals using lasers must be aware of the importance of protective goggles.

Abstract Image

Abstract Image

Abstract Image

间接皮秒Nd:YAG激光照射致双侧中央凹损伤1例。
导读:没有适当护眼的激光造成的意外视网膜损伤并不罕见;大多数病例是单侧的。我们报告的情况下,医生护士持续双中央凹损伤通过间接暴露于皮秒皮肤激光。病例介绍:一名23岁的护士在一家整容诊所工作,正在使用皮秒KTP/Nd:YAG激光去除纹身。由于手术过程复杂,她忽略了保护眼镜的使用,并经历了眩光。手术开始30分钟后,她双眼出现中心暗斑。第二天我们检查了她的眼睛。眼科检查显示右眼最佳矫正视力为0.6,左眼最佳矫正视力为0.3。光谱域光学相干断层扫描显示右眼视网膜内层高反射伴板层缺损和局灶性视网膜外脱离;左眼视网膜中央凹内及下出血。同日右眼注射亚tenon曲安奈德(12 mg/0.3 mL),左眼注射玻璃体组织纤溶酶原激活剂(30 μg/0.05 mL)。两周后,在右眼发现全层黄斑孔(FTMH);初次就诊后6周行玻璃体切除。由于FTMH未能关闭,2个月后进行了第二次手术。初次就诊一年后,右眼BCVA改善至0.4。虽然FTMH仍然闭合,但视网膜外层缺损仍然存在。左眼中央凹出血在初次出现后1个月内消退。随访1年时,左眼BCVA为0.4;视网膜外层在中央凹处明显破裂。结论:在本病例中,在整形过程中持续的Nd:YAG激光照射可能导致双侧中央凹损伤。所有使用激光的人都必须意识到护目镜的重要性。
本文章由计算机程序翻译,如有差异,请以英文原文为准。
求助全文
约1分钟内获得全文 求助全文
来源期刊
自引率
0.00%
发文量
38
审稿时长
14 weeks
×
引用
GB/T 7714-2015
复制
MLA
复制
APA
复制
导出至
BibTeX EndNote RefMan NoteFirst NoteExpress
×
提示
您的信息不完整,为了账户安全,请先补充。
现在去补充
×
提示
您因"违规操作"
具体请查看互助需知
我知道了
×
提示
确定
请完成安全验证×
copy
已复制链接
快去分享给好友吧!
我知道了
右上角分享
点击右上角分享
0
联系我们:info@booksci.cn Book学术提供免费学术资源搜索服务,方便国内外学者检索中英文文献。致力于提供最便捷和优质的服务体验。 Copyright © 2023 布克学术 All rights reserved.
京ICP备2023020795号-1
ghs 京公网安备 11010802042870号
Book学术文献互助
Book学术文献互助群
群 号:604180095
Book学术官方微信