Iliopsoas Abscess Heralding the Diagnosis of Crohn's Disease in a Young Male.

IF 0.7 Q3 MEDICINE, GENERAL & INTERNAL
Case Reports in Medicine Pub Date : 2025-02-08 eCollection Date: 2025-01-01 DOI:10.1155/carm/5555016
Majed Ali, Karam Karam, Emanuel-Youssef Dib, Lamia Azizi, Elias Fiani
{"title":"Iliopsoas Abscess Heralding the Diagnosis of Crohn's Disease in a Young Male.","authors":"Majed Ali, Karam Karam, Emanuel-Youssef Dib, Lamia Azizi, Elias Fiani","doi":"10.1155/carm/5555016","DOIUrl":null,"url":null,"abstract":"<p><p>Iliopsoas abscess (IPA) is a rare but potentially life-threatening complication that may occur in patients with Crohn's disease. We present the case of a 28-year-old male with Crohn's disease who developed a complicated IPA. Diagnosis was confirmed via CT imaging and colonoscopy, revealing a fistulous connection to the terminal ileum. The treatment involved percutaneous drainage (PCD), antibiotics, and infliximab. Timely diagnosis, appropriate imaging, and multidisciplinary care are critical to prevent morbidity and recurrence in patients with Crohn's disease complicated by IPA. This case highlights the importance of personalized treatment strategies and close follow-up in managing Crohn's-related IPA.</p>","PeriodicalId":9627,"journal":{"name":"Case Reports in Medicine","volume":"2025 ","pages":"5555016"},"PeriodicalIF":0.7000,"publicationDate":"2025-02-08","publicationTypes":"Journal Article","fieldsOfStudy":null,"isOpenAccess":false,"openAccessPdf":"https://www.ncbi.nlm.nih.gov/pmc/articles/PMC11830107/pdf/","citationCount":"0","resultStr":null,"platform":"Semanticscholar","paperid":null,"PeriodicalName":"Case Reports in Medicine","FirstCategoryId":"1085","ListUrlMain":"https://doi.org/10.1155/carm/5555016","RegionNum":0,"RegionCategory":null,"ArticlePicture":[],"TitleCN":null,"AbstractTextCN":null,"PMCID":null,"EPubDate":"2025/1/1 0:00:00","PubModel":"eCollection","JCR":"Q3","JCRName":"MEDICINE, GENERAL & INTERNAL","Score":null,"Total":0}
引用次数: 0

Abstract

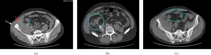
Iliopsoas abscess (IPA) is a rare but potentially life-threatening complication that may occur in patients with Crohn's disease. We present the case of a 28-year-old male with Crohn's disease who developed a complicated IPA. Diagnosis was confirmed via CT imaging and colonoscopy, revealing a fistulous connection to the terminal ileum. The treatment involved percutaneous drainage (PCD), antibiotics, and infliximab. Timely diagnosis, appropriate imaging, and multidisciplinary care are critical to prevent morbidity and recurrence in patients with Crohn's disease complicated by IPA. This case highlights the importance of personalized treatment strategies and close follow-up in managing Crohn's-related IPA.

Abstract Image

Abstract Image

年轻男性髂腰肌脓肿预示克罗恩病的诊断。
髂腰肌脓肿(IPA)是一种罕见但可能危及生命的并发症,可能发生在克罗恩病患者。我们提出的情况下,28岁的男性克罗恩病谁开发了一个复杂的IPA。通过CT和结肠镜检查确诊,发现回肠末端有瘘口连接。治疗包括经皮引流(PCD)、抗生素和英夫利昔单抗。及时诊断,适当的影像学检查和多学科治疗对于预防克罗恩病合并IPA患者的发病率和复发至关重要。本病例强调了个性化治疗策略和密切随访在克罗恩病相关IPA管理中的重要性。
本文章由计算机程序翻译,如有差异,请以英文原文为准。
求助全文
约1分钟内获得全文 求助全文
来源期刊
Case Reports in Medicine
Case Reports in Medicine MEDICINE, GENERAL & INTERNAL-
CiteScore
1.70
自引率
0.00%
发文量
53
审稿时长
13 weeks
×
引用
GB/T 7714-2015
复制
MLA
复制
APA
复制
导出至
BibTeX EndNote RefMan NoteFirst NoteExpress
×
提示
您的信息不完整,为了账户安全,请先补充。
现在去补充
×
提示
您因"违规操作"
具体请查看互助需知
我知道了
×
提示
确定
请完成安全验证×
copy
已复制链接
快去分享给好友吧!
我知道了
右上角分享
点击右上角分享
0
联系我们:info@booksci.cn Book学术提供免费学术资源搜索服务,方便国内外学者检索中英文文献。致力于提供最便捷和优质的服务体验。 Copyright © 2023 布克学术 All rights reserved.
京ICP备2023020795号-1
ghs 京公网安备 11010802042870号
Book学术文献互助
Book学术文献互助群
群 号:604180095
Book学术官方微信