VEIN OF GALEN ANEURYSMAL MALFORMATION IN A NEONATE.

IF 0.8 4区 医学 Q3 MEDICINE, GENERAL & INTERNAL
Lidija Banjac, Boban Banjac
{"title":"VEIN OF GALEN ANEURYSMAL MALFORMATION IN A NEONATE.","authors":"Lidija Banjac, Boban Banjac","doi":"10.20471/acc.2024.63.01.25","DOIUrl":null,"url":null,"abstract":"<p><p>In this article, we present a neonate with the vein of Galen aneurysmal malformation, a rare blood vessel malformation of the brain, which was clinically manifested by signs of cardiac failure. Cranial ultrasound suspected the existence of the vein of Galen aneurysmal malformation, and the diagnosis was confirmed by computed tomography and magnetic resonance imaging. Based on our case, we believe that cranial ultrasound should be included in the screening protocol for neonates with cardiac failure. In addition, we believe that endovascular embolization of the blood vessels that supply the aneurysm is the method of choice in treating the vein of Galen aneurysmal malformation. Treatment of neonates with the vein of Galen aneurysmal malformation is challenging and requires a multidisciplinary approach (neonatologists, cardiologists, neuroradiologists, and neurosurgeons).</p>","PeriodicalId":7072,"journal":{"name":"Acta clinica Croatica","volume":"63 1","pages":"203-206"},"PeriodicalIF":0.8000,"publicationDate":"2024-04-01","publicationTypes":"Journal Article","fieldsOfStudy":null,"isOpenAccess":false,"openAccessPdf":"https://www.ncbi.nlm.nih.gov/pmc/articles/PMC11827409/pdf/","citationCount":"0","resultStr":null,"platform":"Semanticscholar","paperid":null,"PeriodicalName":"Acta clinica Croatica","FirstCategoryId":"3","ListUrlMain":"https://doi.org/10.20471/acc.2024.63.01.25","RegionNum":4,"RegionCategory":"医学","ArticlePicture":[],"TitleCN":null,"AbstractTextCN":null,"PMCID":null,"EPubDate":"","PubModel":"","JCR":"Q3","JCRName":"MEDICINE, GENERAL & INTERNAL","Score":null,"Total":0}
引用次数: 0

Abstract

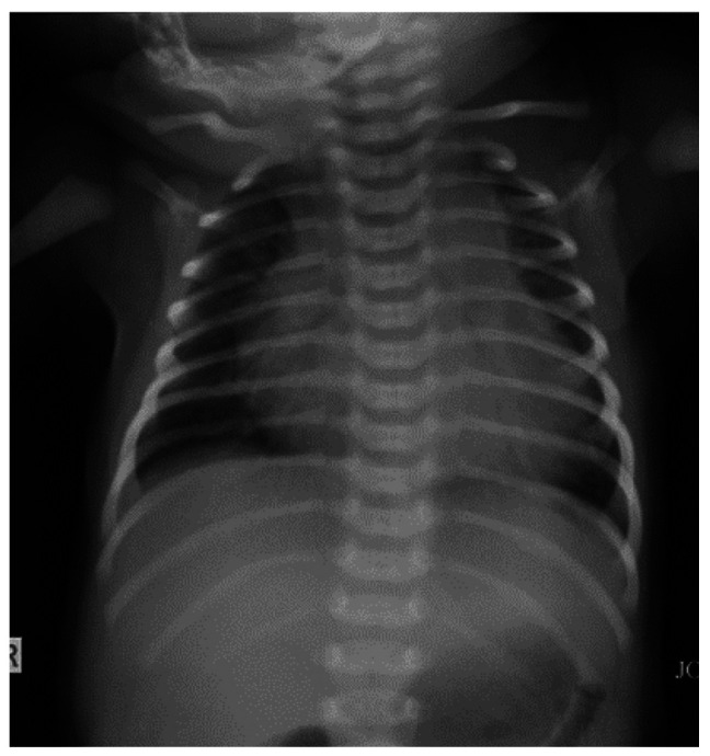
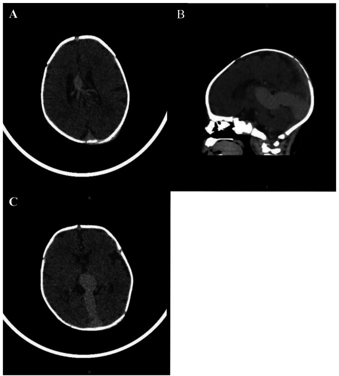
In this article, we present a neonate with the vein of Galen aneurysmal malformation, a rare blood vessel malformation of the brain, which was clinically manifested by signs of cardiac failure. Cranial ultrasound suspected the existence of the vein of Galen aneurysmal malformation, and the diagnosis was confirmed by computed tomography and magnetic resonance imaging. Based on our case, we believe that cranial ultrasound should be included in the screening protocol for neonates with cardiac failure. In addition, we believe that endovascular embolization of the blood vessels that supply the aneurysm is the method of choice in treating the vein of Galen aneurysmal malformation. Treatment of neonates with the vein of Galen aneurysmal malformation is challenging and requires a multidisciplinary approach (neonatologists, cardiologists, neuroradiologists, and neurosurgeons).

Abstract Image

Abstract Image

新生儿肾静脉动脉瘤样畸形。
在这篇文章中,我们提出了一个新生儿与盖伦静脉动脉瘤畸形,一种罕见的脑血管畸形,其临床表现为心衰的迹象。颅脑超声怀疑盖伦静脉动脉瘤畸形存在,经计算机断层扫描和磁共振成像证实诊断。基于我们的病例,我们认为颅超声应该被纳入新生儿心力衰竭的筛查方案中。此外,我们认为血管内栓塞供应动脉瘤的血管是治疗盖伦动脉瘤畸形静脉的首选方法。新生儿盖伦静脉动脉瘤畸形的治疗具有挑战性,需要多学科合作(新生儿学家、心脏病学家、神经放射学家和神经外科医生)。
本文章由计算机程序翻译,如有差异,请以英文原文为准。
求助全文
约1分钟内获得全文 求助全文
来源期刊
Acta clinica Croatica
Acta clinica Croatica 医学-医学:内科
CiteScore
1.10
自引率
16.70%
发文量
38
审稿时长
6-12 weeks
期刊介绍: Acta Clinica Croatica is a peer reviewed general medical journal that publishes original articles that advance and improve medical science and practice and that serve the purpose of transfer of original and valuable information to journal readers. Acta Clinica Croatica is published in English four times a year.
×
引用
GB/T 7714-2015
复制
MLA
复制
APA
复制
导出至
BibTeX EndNote RefMan NoteFirst NoteExpress
×
提示
您的信息不完整,为了账户安全,请先补充。
现在去补充
×
提示
您因"违规操作"
具体请查看互助需知
我知道了
×
提示
确定
请完成安全验证×
copy
已复制链接
快去分享给好友吧!
我知道了
右上角分享
点击右上角分享
0
联系我们:info@booksci.cn Book学术提供免费学术资源搜索服务,方便国内外学者检索中英文文献。致力于提供最便捷和优质的服务体验。 Copyright © 2023 布克学术 All rights reserved.
京ICP备2023020795号-1
ghs 京公网安备 11010802042870号
Book学术文献互助
Book学术文献互助群
群 号:604180095
Book学术官方微信