A case of ascending paralysis in pregnancy: Thiamine deficiency mimicking Guillain-Barré syndrome.

IF 3.9 4区 医学 Q1 MEDICINE, GENERAL & INTERNAL
Clinical Medicine Pub Date : 2025-03-01 Epub Date: 2025-02-13 DOI:10.1016/j.clinme.2025.100294
De Yee Gan, Chin Meng Lee, Shakirin Pairan, Raja Ahmad Reza Raja Lope Ahmad, Hamdi Najman Achok
{"title":"A case of ascending paralysis in pregnancy: Thiamine deficiency mimicking Guillain-Barré syndrome.","authors":"De Yee Gan, Chin Meng Lee, Shakirin Pairan, Raja Ahmad Reza Raja Lope Ahmad, Hamdi Najman Achok","doi":"10.1016/j.clinme.2025.100294","DOIUrl":null,"url":null,"abstract":"<p><p>Thiamine (vitamin B1) deficiency may present with diverse symptoms and is often triggered by chronic alcoholism, severe malnutrition or hyperemesis gravidarum. While typically diagnosed clinically, atypical presentations may delay recognition and treatment. We report a 26-year-old pregnant woman in her second trimester with prolonged nausea and vomiting since early pregnancy. She developed ascending lower limb paralysis, dysarthria, horizontal nystagmus, and lagophthalmos. Initially managed as hypokalaemia periodic paralysis with thyrotoxicosis and later Guillain-Barré syndrome (GBS), her symptoms worsened despite treatment. Subsequent MRI brain imaging revealed findings indicative of Wernicke encephalopathy, prompting high-dose thiamine therapy. This resulted in significant neurological improvement. This case underscores the importance of considering thiamine deficiency in atypical neurological presentations, particularly in pregnancy. Early recognition and prompt treatment can mitigate irreversible neurological damage, emphasising the necessity of maintaining a high index of suspicion in clinical practice.</p>","PeriodicalId":10492,"journal":{"name":"Clinical Medicine","volume":" ","pages":"100294"},"PeriodicalIF":3.9000,"publicationDate":"2025-03-01","publicationTypes":"Journal Article","fieldsOfStudy":null,"isOpenAccess":false,"openAccessPdf":"https://www.ncbi.nlm.nih.gov/pmc/articles/PMC11930587/pdf/","citationCount":"0","resultStr":null,"platform":"Semanticscholar","paperid":null,"PeriodicalName":"Clinical Medicine","FirstCategoryId":"3","ListUrlMain":"https://doi.org/10.1016/j.clinme.2025.100294","RegionNum":4,"RegionCategory":"医学","ArticlePicture":[],"TitleCN":null,"AbstractTextCN":null,"PMCID":null,"EPubDate":"2025/2/13 0:00:00","PubModel":"Epub","JCR":"Q1","JCRName":"MEDICINE, GENERAL & INTERNAL","Score":null,"Total":0}
引用次数: 0

Abstract

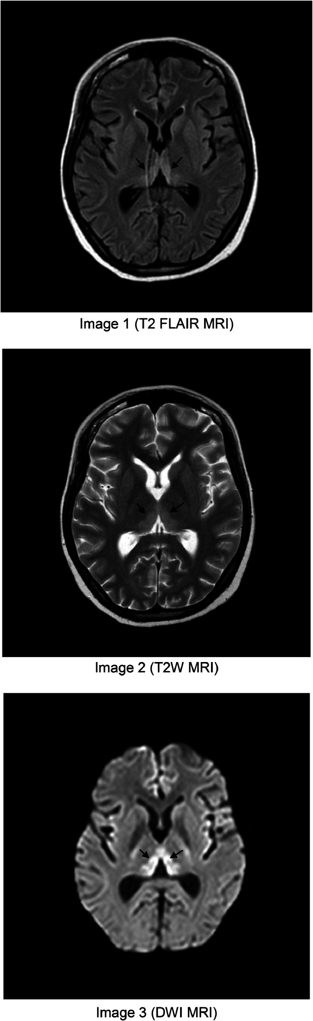
Thiamine (vitamin B1) deficiency may present with diverse symptoms and is often triggered by chronic alcoholism, severe malnutrition or hyperemesis gravidarum. While typically diagnosed clinically, atypical presentations may delay recognition and treatment. We report a 26-year-old pregnant woman in her second trimester with prolonged nausea and vomiting since early pregnancy. She developed ascending lower limb paralysis, dysarthria, horizontal nystagmus, and lagophthalmos. Initially managed as hypokalaemia periodic paralysis with thyrotoxicosis and later Guillain-Barré syndrome (GBS), her symptoms worsened despite treatment. Subsequent MRI brain imaging revealed findings indicative of Wernicke encephalopathy, prompting high-dose thiamine therapy. This resulted in significant neurological improvement. This case underscores the importance of considering thiamine deficiency in atypical neurological presentations, particularly in pregnancy. Early recognition and prompt treatment can mitigate irreversible neurological damage, emphasising the necessity of maintaining a high index of suspicion in clinical practice.

Abstract Image

妊娠期上升性麻痹1例:硫胺素缺乏症模拟格林-巴罗综合征。
硫胺素(维生素B1)缺乏可表现为多种症状,通常由慢性酒精中毒、严重营养不良或妊娠剧吐引起。虽然临床诊断典型,但非典型表现可能会延迟识别和治疗。我们报告一位26岁的孕妇,在她的中期妊娠持续恶心和呕吐,因为早期妊娠。她出现上升性下肢麻痹、构音障碍、水平眼震和眼lagmomo症。最初治疗为低钾血症伴甲状腺毒症的周期性麻痹,后来为吉兰-巴罗综合征(GBS),尽管接受了治疗,但症状恶化。随后的MRI脑成像显示Wernicke脑病,提示高剂量硫胺素治疗。这导致了显著的神经系统改善。本病例强调了在非典型神经系统表现中考虑硫胺素缺乏的重要性,特别是在妊娠期。早期识别和及时治疗可以减轻不可逆的神经损伤,强调在临床实践中保持高度怀疑的必要性。
本文章由计算机程序翻译,如有差异,请以英文原文为准。
求助全文
约1分钟内获得全文 求助全文
来源期刊
Clinical Medicine
Clinical Medicine 医学-医学:内科
CiteScore
7.20
自引率
0.00%
发文量
0
审稿时长
6-12 weeks
期刊介绍: Clinical Medicine is aimed at practising physicians in the UK and overseas and has relevance to all those managing or working within the healthcare sector. Available in print and online, the journal seeks to encourage high standards of medical care by promoting good clinical practice through original research, review and comment. The journal also includes a dedicated continuing medical education (CME) section in each issue. This presents the latest advances in a chosen specialty, with self-assessment questions at the end of each topic enabling CPD accreditation to be acquired. ISSN: 1470-2118 E-ISSN: 1473-4893 Frequency: 6 issues per year
×
引用
GB/T 7714-2015
复制
MLA
复制
APA
复制
导出至
BibTeX EndNote RefMan NoteFirst NoteExpress
×
提示
您的信息不完整,为了账户安全,请先补充。
现在去补充
×
提示
您因"违规操作"
具体请查看互助需知
我知道了
×
提示
确定
请完成安全验证×
copy
已复制链接
快去分享给好友吧!
我知道了
右上角分享
点击右上角分享
0
联系我们:info@booksci.cn Book学术提供免费学术资源搜索服务,方便国内外学者检索中英文文献。致力于提供最便捷和优质的服务体验。 Copyright © 2023 布克学术 All rights reserved.
京ICP备2023020795号-1
ghs 京公网安备 11010802042870号
Book学术文献互助
Book学术文献互助群
群 号:604180095
Book学术官方微信