Cutaneous Atrophy Following Corticosteroid Injections for Tendonitis: Report of Two Cases.

Q3 Medicine
JMIR dermatology Pub Date : 2025-02-13 DOI:10.2196/67921
Rebecca Colwell, Mitchell Gullickson, Jonathan Cutlan, Erik Stratman
{"title":"Cutaneous Atrophy Following Corticosteroid Injections for Tendonitis: Report of Two Cases.","authors":"Rebecca Colwell, Mitchell Gullickson, Jonathan Cutlan, Erik Stratman","doi":"10.2196/67921","DOIUrl":null,"url":null,"abstract":"<p><strong>Unlabelled: </strong>Cutaneous atrophy resulting from corticosteroid injections for musculoskeletal indications is an underrecognized adverse effect among orthopedists and dermatologists. We present two cases of cutaneous atrophy following corticosteroid injections for wrist tendonitis. Patients presenting with cutaneous atrophy following orthopedic corticosteroid injections may be misdiagnosed with linear morphea, atrophoderma, or vascular disorders and receive unnecessary workups and delays in appropriate management. Dermatologists play an essential role in the evaluation of these patients.</p>","PeriodicalId":73553,"journal":{"name":"JMIR dermatology","volume":"8 ","pages":"e67921"},"PeriodicalIF":0.0000,"publicationDate":"2025-02-13","publicationTypes":"Journal Article","fieldsOfStudy":null,"isOpenAccess":false,"openAccessPdf":"https://www.ncbi.nlm.nih.gov/pmc/articles/PMC11841998/pdf/","citationCount":"0","resultStr":null,"platform":"Semanticscholar","paperid":null,"PeriodicalName":"JMIR dermatology","FirstCategoryId":"1085","ListUrlMain":"https://doi.org/10.2196/67921","RegionNum":0,"RegionCategory":null,"ArticlePicture":[],"TitleCN":null,"AbstractTextCN":null,"PMCID":null,"EPubDate":"","PubModel":"","JCR":"Q3","JCRName":"Medicine","Score":null,"Total":0}
引用次数: 0

Abstract

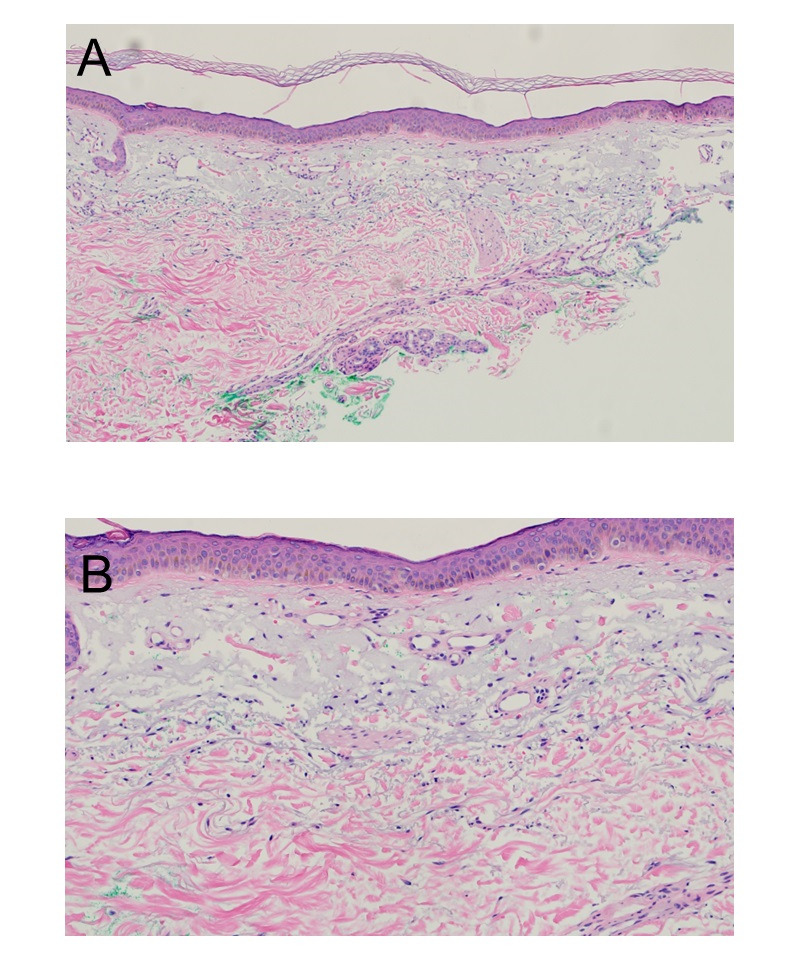
Unlabelled: Cutaneous atrophy resulting from corticosteroid injections for musculoskeletal indications is an underrecognized adverse effect among orthopedists and dermatologists. We present two cases of cutaneous atrophy following corticosteroid injections for wrist tendonitis. Patients presenting with cutaneous atrophy following orthopedic corticosteroid injections may be misdiagnosed with linear morphea, atrophoderma, or vascular disorders and receive unnecessary workups and delays in appropriate management. Dermatologists play an essential role in the evaluation of these patients.

Abstract Image

Abstract Image

Abstract Image

皮质类固醇注射治疗肌腱炎后皮肤萎缩2例报告。
未标记:由于肌肉骨骼适应症的皮质类固醇注射引起的皮肤萎缩是骨科医生和皮肤科医生未充分认识的不良反应。我们提出两例皮肤萎缩后皮质类固醇注射腕部肌腱炎。在骨科皮质类固醇注射后出现皮肤萎缩的患者可能被误诊为线性脑萎缩、萎缩皮病或血管疾病,并接受不必要的检查和延误适当的治疗。皮肤科医生在这些患者的评估中起着至关重要的作用。
本文章由计算机程序翻译,如有差异,请以英文原文为准。
求助全文
约1分钟内获得全文 求助全文
来源期刊
CiteScore
1.20
自引率
0.00%
发文量
0
审稿时长
18 weeks
×
引用
GB/T 7714-2015
复制
MLA
复制
APA
复制
导出至
BibTeX EndNote RefMan NoteFirst NoteExpress
×
提示
您的信息不完整,为了账户安全,请先补充。
现在去补充
×
提示
您因"违规操作"
具体请查看互助需知
我知道了
×
提示
确定
请完成安全验证×
copy
已复制链接
快去分享给好友吧!
我知道了
右上角分享
点击右上角分享
0
联系我们:info@booksci.cn Book学术提供免费学术资源搜索服务,方便国内外学者检索中英文文献。致力于提供最便捷和优质的服务体验。 Copyright © 2023 布克学术 All rights reserved.
京ICP备2023020795号-1
ghs 京公网安备 11010802042870号
Book学术文献互助
Book学术文献互助群
群 号:604180095
Book学术官方微信