Comparative evaluation of Fascin-1 with clinicopathological parameters and recurrence in oral squamous cell carcinoma.

Q3 Medicine
Fatema Saify, Minal Chaudhary, Nidhi Tiwari, Shilpa Jain, Sarbani Deb Sikhdar, Meenakshi Sood
{"title":"Comparative evaluation of Fascin-1 with clinicopathological parameters and recurrence in oral squamous cell carcinoma.","authors":"Fatema Saify, Minal Chaudhary, Nidhi Tiwari, Shilpa Jain, Sarbani Deb Sikhdar, Meenakshi Sood","doi":"10.4103/jomfp.jomfp_146_24","DOIUrl":null,"url":null,"abstract":"<p><strong>Background: </strong>Squamous cell carcinoma is the most common epithelial malignancy of the oral cavity. The 5-year survival rate is approximately 50% and is even lower, that is, 30% in the patients with recurrence of this disease. Because recurrence has a major influence on 5-year survival, it becomes imperative to identify the molecular elements responsible for the recurrence of oral squamous cell carcinoma.</p><p><strong>Aim: </strong>To evaluate the expression of fascin-1 and its correlation with clinicopathological parameters and recurrence in the patients of oral squamous cell carcinoma.</p><p><strong>Materials and methods: </strong>A cohort study was conducted in the Department of Oral Pathology, SPDC, Wardha. A 4 μm thick section from paraffin-embedded blocks of formalin-fixed biopsy tissues of 60 cases having primary oral squamous cell carcinoma was processed and stained with mouse monoclonal fascin-1 (Clone: SPM133) antibodies.</p><p><strong>Results: </strong>In the present study, all cases which had a final score above 2, denotes a strong positive immunostaining of fascin in OSCC. Tumour size was significantly correlated with fascin expression, whereas no significant association was found for other parameters, such as age, gender, node involvement, and grade of the tumour and recurrence.</p><p><strong>Conclusion: </strong>Fascin was found to be significantly correlated with tumour size. Fascin expression was found to be related with recurrence but no significant association exists. As recurrence is directly related to the poor prognosis and survival rate; so, it is essential to identify molecular markers indicative of recurrence. Fascin can be used to identify a subset of oral squamous cell carcinoma patients that are prone to recurrence.</p>","PeriodicalId":38846,"journal":{"name":"Journal of Oral and Maxillofacial Pathology","volume":"28 4","pages":"555-559"},"PeriodicalIF":0.0000,"publicationDate":"2024-10-01","publicationTypes":"Journal Article","fieldsOfStudy":null,"isOpenAccess":false,"openAccessPdf":"https://www.ncbi.nlm.nih.gov/pmc/articles/PMC11819638/pdf/","citationCount":"0","resultStr":null,"platform":"Semanticscholar","paperid":null,"PeriodicalName":"Journal of Oral and Maxillofacial Pathology","FirstCategoryId":"1085","ListUrlMain":"https://doi.org/10.4103/jomfp.jomfp_146_24","RegionNum":0,"RegionCategory":null,"ArticlePicture":[],"TitleCN":null,"AbstractTextCN":null,"PMCID":null,"EPubDate":"2024/12/31 0:00:00","PubModel":"Epub","JCR":"Q3","JCRName":"Medicine","Score":null,"Total":0}
引用次数: 0

Abstract

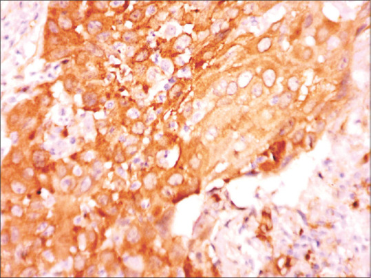
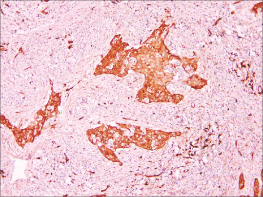
Background: Squamous cell carcinoma is the most common epithelial malignancy of the oral cavity. The 5-year survival rate is approximately 50% and is even lower, that is, 30% in the patients with recurrence of this disease. Because recurrence has a major influence on 5-year survival, it becomes imperative to identify the molecular elements responsible for the recurrence of oral squamous cell carcinoma.

Aim: To evaluate the expression of fascin-1 and its correlation with clinicopathological parameters and recurrence in the patients of oral squamous cell carcinoma.

Materials and methods: A cohort study was conducted in the Department of Oral Pathology, SPDC, Wardha. A 4 μm thick section from paraffin-embedded blocks of formalin-fixed biopsy tissues of 60 cases having primary oral squamous cell carcinoma was processed and stained with mouse monoclonal fascin-1 (Clone: SPM133) antibodies.

Results: In the present study, all cases which had a final score above 2, denotes a strong positive immunostaining of fascin in OSCC. Tumour size was significantly correlated with fascin expression, whereas no significant association was found for other parameters, such as age, gender, node involvement, and grade of the tumour and recurrence.

Conclusion: Fascin was found to be significantly correlated with tumour size. Fascin expression was found to be related with recurrence but no significant association exists. As recurrence is directly related to the poor prognosis and survival rate; so, it is essential to identify molecular markers indicative of recurrence. Fascin can be used to identify a subset of oral squamous cell carcinoma patients that are prone to recurrence.

Abstract Image

Abstract Image

fasin -1与口腔鳞状细胞癌临床病理参数及复发率的比较评价。
背景:鳞状细胞癌是口腔最常见的上皮恶性肿瘤:鳞状细胞癌是口腔最常见的上皮恶性肿瘤。其 5 年生存率约为 50%,而复发患者的 5 年生存率则更低,仅为 30%。由于复发对5年生存率有很大影响,因此确定导致口腔鳞状细胞癌复发的分子因素已成为当务之急。目的:评估口腔鳞状细胞癌患者中法斯金-1的表达及其与临床病理参数和复发的相关性:在 Wardha 的 SPDC 口腔病理学系进行了一项队列研究。对 60 例原发性口腔鳞状细胞癌患者的福尔马林固定活检组织石蜡包埋块进行了 4 μm 厚切片处理,并用小鼠单克隆 fascin-1 (克隆:SPM133)抗体进行染色:结果:在本研究中,所有最终评分超过 2 分的病例均表示 OSCC 中的 fascin 免疫染色呈强阳性。肿瘤大小与法斯金表达有明显相关性,而其他参数,如年龄、性别、结节受累情况、肿瘤分级和复发率则无明显相关性:结论:发现法斯金与肿瘤大小明显相关。结论:研究发现 Fascin 与肿瘤大小有明显相关性,Fascin 的表达与复发有关,但无明显关联。由于复发与不良预后和生存率直接相关,因此,确定表明复发的分子标记物至关重要。Fascin 可用于识别易复发的口腔鳞状细胞癌患者亚群。
本文章由计算机程序翻译,如有差异,请以英文原文为准。
求助全文
约1分钟内获得全文 求助全文
来源期刊
Journal of Oral and Maxillofacial Pathology
Journal of Oral and Maxillofacial Pathology Medicine-Otorhinolaryngology
CiteScore
1.40
自引率
0.00%
发文量
115
期刊介绍: The journal of Oral and Maxillofacial Pathology [ISSN:print-(0973-029X, online-1998-393X)] is a tri-annual journal published on behalf of “The Indian Association of Oral and Maxillofacial Pathologists” (IAOMP). The publication of JOMFP was started in the year 1993. The journal publishes papers on a wide spectrum of topics associated with the scope of Oral and Maxillofacial Pathology, also, ensuring scientific merit and quality. It is a comprehensive reading material for the professionals who want to upgrade their diagnostic skills in Oral Diseases; allows exposure to newer topics and methods of research in the Oral-facial Tissues and Pathology. New features allow an open minded thinking and approach to various pathologies. It also encourages authors to showcase quality work done by them and to compile relevant cases which are diagnostically challenging. The Journal takes pride in maintaining the quality of articles and photomicrographs.
×
引用
GB/T 7714-2015
复制
MLA
复制
APA
复制
导出至
BibTeX EndNote RefMan NoteFirst NoteExpress
×
提示
您的信息不完整,为了账户安全,请先补充。
现在去补充
×
提示
您因"违规操作"
具体请查看互助需知
我知道了
×
提示
确定
请完成安全验证×
copy
已复制链接
快去分享给好友吧!
我知道了
右上角分享
点击右上角分享
0
联系我们:info@booksci.cn Book学术提供免费学术资源搜索服务,方便国内外学者检索中英文文献。致力于提供最便捷和优质的服务体验。 Copyright © 2023 布克学术 All rights reserved.
京ICP备2023020795号-1
ghs 京公网安备 11010802042870号
Book学术文献互助
Book学术文献互助群
群 号:604180095
Book学术官方微信