A case of dermatofibrosarcoma protuberance with myoid differentiation - A rare occurrence.

Q3 Medicine
Nisha Shetty, Swati Sharma, Adarsh Kudva
{"title":"A case of dermatofibrosarcoma protuberance with myoid differentiation - A rare occurrence.","authors":"Nisha Shetty, Swati Sharma, Adarsh Kudva","doi":"10.4103/jomfp.jomfp_30_24","DOIUrl":null,"url":null,"abstract":"<p><p>Dermatofibrosarcoma protuberans (DFSP) of the head and neck is a rare, locally infiltrative, low-grade sarcoma that typically involves the dermis and surrounding structures occurring in middle-aged adults. The common clinical presentation consists of a slowly enlarging, indurated plaque, usually asymptomatic, found on the trunk. In this case report, we present a case of a 37-year-old male patient with facial swelling which was diagnosed as classic DFSP along with myoid differentiation, which is a rare occurrence. Here, we have discussed the clinicopathologic features and histogenesis that can aid in the diagnosis and treatment of this condition.</p>","PeriodicalId":38846,"journal":{"name":"Journal of Oral and Maxillofacial Pathology","volume":"28 4","pages":"683-688"},"PeriodicalIF":0.0000,"publicationDate":"2024-10-01","publicationTypes":"Journal Article","fieldsOfStudy":null,"isOpenAccess":false,"openAccessPdf":"https://www.ncbi.nlm.nih.gov/pmc/articles/PMC11819650/pdf/","citationCount":"0","resultStr":null,"platform":"Semanticscholar","paperid":null,"PeriodicalName":"Journal of Oral and Maxillofacial Pathology","FirstCategoryId":"1085","ListUrlMain":"https://doi.org/10.4103/jomfp.jomfp_30_24","RegionNum":0,"RegionCategory":null,"ArticlePicture":[],"TitleCN":null,"AbstractTextCN":null,"PMCID":null,"EPubDate":"2024/12/31 0:00:00","PubModel":"Epub","JCR":"Q3","JCRName":"Medicine","Score":null,"Total":0}
引用次数: 0

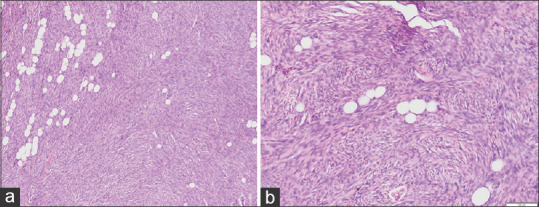
Abstract

Dermatofibrosarcoma protuberans (DFSP) of the head and neck is a rare, locally infiltrative, low-grade sarcoma that typically involves the dermis and surrounding structures occurring in middle-aged adults. The common clinical presentation consists of a slowly enlarging, indurated plaque, usually asymptomatic, found on the trunk. In this case report, we present a case of a 37-year-old male patient with facial swelling which was diagnosed as classic DFSP along with myoid differentiation, which is a rare occurrence. Here, we have discussed the clinicopathologic features and histogenesis that can aid in the diagnosis and treatment of this condition.

Abstract Image

Abstract Image

Abstract Image

皮肤纤维肉瘤突出并肌样分化1例-罕见。
头颈部隆突性皮肤纤维肉瘤(DFSP)是一种罕见的局部浸润性低级别肉瘤,通常累及真皮和周围结构,发生于中年人。常见的临床表现是在躯干上发现缓慢扩大的硬化斑块,通常无症状。在这个病例报告中,我们报告了一个37岁的男性患者,他被诊断为典型的DFSP,并伴有肌样细胞分化,这是一种罕见的情况。在这里,我们讨论了临床病理特征和组织发生,可以帮助诊断和治疗这种情况。
本文章由计算机程序翻译,如有差异,请以英文原文为准。
求助全文
约1分钟内获得全文 求助全文
来源期刊
Journal of Oral and Maxillofacial Pathology
Journal of Oral and Maxillofacial Pathology Medicine-Otorhinolaryngology
CiteScore
1.40
自引率
0.00%
发文量
115
期刊介绍: The journal of Oral and Maxillofacial Pathology [ISSN:print-(0973-029X, online-1998-393X)] is a tri-annual journal published on behalf of “The Indian Association of Oral and Maxillofacial Pathologists” (IAOMP). The publication of JOMFP was started in the year 1993. The journal publishes papers on a wide spectrum of topics associated with the scope of Oral and Maxillofacial Pathology, also, ensuring scientific merit and quality. It is a comprehensive reading material for the professionals who want to upgrade their diagnostic skills in Oral Diseases; allows exposure to newer topics and methods of research in the Oral-facial Tissues and Pathology. New features allow an open minded thinking and approach to various pathologies. It also encourages authors to showcase quality work done by them and to compile relevant cases which are diagnostically challenging. The Journal takes pride in maintaining the quality of articles and photomicrographs.
×
引用
GB/T 7714-2015
复制
MLA
复制
APA
复制
导出至
BibTeX EndNote RefMan NoteFirst NoteExpress
×
提示
您的信息不完整,为了账户安全,请先补充。
现在去补充
×
提示
您因"违规操作"
具体请查看互助需知
我知道了
×
提示
确定
请完成安全验证×
copy
已复制链接
快去分享给好友吧!
我知道了
右上角分享
点击右上角分享
0
联系我们:info@booksci.cn Book学术提供免费学术资源搜索服务,方便国内外学者检索中英文文献。致力于提供最便捷和优质的服务体验。 Copyright © 2023 布克学术 All rights reserved.
京ICP备2023020795号-1
ghs 京公网安备 11010802042870号
Book学术文献互助
Book学术文献互助群
群 号:604180095
Book学术官方微信