Solitary fibrous tumor in the pineal region: A series of 5 cases and literature review.

IF 3 3区 医学 Q2 CLINICAL NEUROLOGY
Shannon M Robins, Mary Rosenblatt, Jeffrey N Bruce, Peter Canoll, George Zanazzi
{"title":"Solitary fibrous tumor in the pineal region: A series of 5 cases and literature review.","authors":"Shannon M Robins, Mary Rosenblatt, Jeffrey N Bruce, Peter Canoll, George Zanazzi","doi":"10.1093/jnen/nlaf008","DOIUrl":null,"url":null,"abstract":"<p><p>Solitary fibrous tumors (SFTs) are fibroblastic mesenchymal neoplasms defined by the presence of a NAB2::STAT6 fusion and exhibit a broad range of behaviors. SFTs in the pineal region are poorly understood due to the limited number of reported cases. Here, we report a 48-year-old woman with a pineal region SFT who subsequently developed metastatic left para-falcine parieto-occipital and right lung upper lobe SFTs over the next 12 years. This was the only pineal SFT identified in an institutional cohort of 34 resected pineal region lesions. Review of another, much larger institutional cohort of pineal region lesions revealed 4 additional patients with SFT but none with extracranial metastasis. We present descriptions of their clinical presentations, treatments, histopathologic findings, available genomic alterations, and longitudinal outcomes. Finally, we performed a comprehensive literature search and identified 19 individual patients with pineal region SFTs. None of these reported neoplasms had an extracranial metastasis. Taken together, this work contributes to the growing body of data characterizing this rare tumor with aggressive potential and reinforces SFTs as a possible differential diagnosis for pineal region tumors.</p>","PeriodicalId":16682,"journal":{"name":"Journal of Neuropathology and Experimental Neurology","volume":" ","pages":"379-390"},"PeriodicalIF":3.0000,"publicationDate":"2025-05-01","publicationTypes":"Journal Article","fieldsOfStudy":null,"isOpenAccess":false,"openAccessPdf":"https://www.ncbi.nlm.nih.gov/pmc/articles/PMC12012368/pdf/","citationCount":"0","resultStr":null,"platform":"Semanticscholar","paperid":null,"PeriodicalName":"Journal of Neuropathology and Experimental Neurology","FirstCategoryId":"3","ListUrlMain":"https://doi.org/10.1093/jnen/nlaf008","RegionNum":3,"RegionCategory":"医学","ArticlePicture":[],"TitleCN":null,"AbstractTextCN":null,"PMCID":null,"EPubDate":"","PubModel":"","JCR":"Q2","JCRName":"CLINICAL NEUROLOGY","Score":null,"Total":0}
引用次数: 0

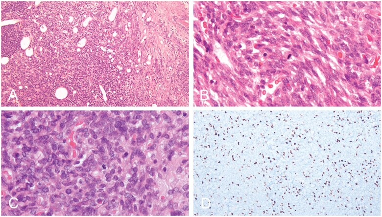
Abstract

Solitary fibrous tumors (SFTs) are fibroblastic mesenchymal neoplasms defined by the presence of a NAB2::STAT6 fusion and exhibit a broad range of behaviors. SFTs in the pineal region are poorly understood due to the limited number of reported cases. Here, we report a 48-year-old woman with a pineal region SFT who subsequently developed metastatic left para-falcine parieto-occipital and right lung upper lobe SFTs over the next 12 years. This was the only pineal SFT identified in an institutional cohort of 34 resected pineal region lesions. Review of another, much larger institutional cohort of pineal region lesions revealed 4 additional patients with SFT but none with extracranial metastasis. We present descriptions of their clinical presentations, treatments, histopathologic findings, available genomic alterations, and longitudinal outcomes. Finally, we performed a comprehensive literature search and identified 19 individual patients with pineal region SFTs. None of these reported neoplasms had an extracranial metastasis. Taken together, this work contributes to the growing body of data characterizing this rare tumor with aggressive potential and reinforces SFTs as a possible differential diagnosis for pineal region tumors.

Abstract Image

Abstract Image

松果体区孤立性纤维性肿瘤:附5例报告并文献复习。
孤立性纤维性肿瘤(SFTs)是一种纤维母细胞间充质肿瘤,由NAB2::STAT6融合而定义,并表现出广泛的行为。由于报告的病例数量有限,人们对松果体区域的SFTs了解甚少。在这里,我们报告了一位48岁的女性松果体区SFT,她随后在接下来的12年里发展为转移性左侧镰旁顶枕和右肺上叶SFT。这是在34个切除的松果体区域病变的机构队列中唯一确定的松果体SFT。回顾另一个更大的机构队列的松果体区域病变发现4例SFT患者,但没有颅内外转移。我们介绍了他们的临床表现、治疗、组织病理学发现、可用的基因组改变和纵向结果。最后,我们进行了全面的文献检索,并确定了19例个体松果体区SFTs患者。这些肿瘤均未发生颅外转移。综上所述,这项工作有助于越来越多的数据描述这种具有侵袭性潜力的罕见肿瘤,并加强了SFTs作为松果体区肿瘤的可能鉴别诊断。
本文章由计算机程序翻译,如有差异,请以英文原文为准。
求助全文
约1分钟内获得全文 求助全文
来源期刊
CiteScore
5.40
自引率
6.20%
发文量
118
审稿时长
6-12 weeks
期刊介绍: Journal of Neuropathology & Experimental Neurology is the official journal of the American Association of Neuropathologists, Inc. (AANP). The journal publishes peer-reviewed studies on neuropathology and experimental neuroscience, book reviews, letters, and Association news, covering a broad spectrum of fields in basic neuroscience with an emphasis on human neurological diseases. It is written by and for neuropathologists, neurologists, neurosurgeons, pathologists, psychiatrists, and basic neuroscientists from around the world. Publication has been continuous since 1942.
×
引用
GB/T 7714-2015
复制
MLA
复制
APA
复制
导出至
BibTeX EndNote RefMan NoteFirst NoteExpress
×
提示
您的信息不完整,为了账户安全,请先补充。
现在去补充
×
提示
您因"违规操作"
具体请查看互助需知
我知道了
×
提示
确定
请完成安全验证×
copy
已复制链接
快去分享给好友吧!
我知道了
右上角分享
点击右上角分享
0
联系我们:info@booksci.cn Book学术提供免费学术资源搜索服务,方便国内外学者检索中英文文献。致力于提供最便捷和优质的服务体验。 Copyright © 2023 布克学术 All rights reserved.
京ICP备2023020795号-1
ghs 京公网安备 11010802042870号
Book学术文献互助
Book学术文献互助群
群 号:604180095
Book学术官方微信