Arrested Puberty in a Young Adult With a Macroprolactinoma: Case Report and Literature Review.

IF 0.9 Q4 ENDOCRINOLOGY & METABOLISM
Case Reports in Endocrinology Pub Date : 2025-01-31 eCollection Date: 2025-01-01 DOI:10.1155/crie/5388529
Sánchez M, Otazú M, Furtenbach P, Piñeyro M
{"title":"Arrested Puberty in a Young Adult With a Macroprolactinoma: Case Report and Literature Review.","authors":"Sánchez M, Otazú M, Furtenbach P, Piñeyro M","doi":"10.1155/crie/5388529","DOIUrl":null,"url":null,"abstract":"<p><p>Prolactinoma is the most common pituitary tumor, with clinical presentations varying according to sex, age of onset, tumor size, and prolactin (PRL) levels. These tumors are rare in the pediatric and adolescent populations. Hyperprolactinemia leads to hypogonadotropic hypogonadism, resulting in reproductive, metabolic, sexual, and skeletal consequences that can affect puberty development. Here, we present the case of a 23-year-old male patient diagnosed with arrested puberty secondary to a macroprolactinoma. The clinical presentation, diagnostic approach, therapeutic management, and a literature review are discussed.</p>","PeriodicalId":9621,"journal":{"name":"Case Reports in Endocrinology","volume":"2025 ","pages":"5388529"},"PeriodicalIF":0.9000,"publicationDate":"2025-01-31","publicationTypes":"Journal Article","fieldsOfStudy":null,"isOpenAccess":false,"openAccessPdf":"https://www.ncbi.nlm.nih.gov/pmc/articles/PMC11824852/pdf/","citationCount":"0","resultStr":null,"platform":"Semanticscholar","paperid":null,"PeriodicalName":"Case Reports in Endocrinology","FirstCategoryId":"1085","ListUrlMain":"https://doi.org/10.1155/crie/5388529","RegionNum":0,"RegionCategory":null,"ArticlePicture":[],"TitleCN":null,"AbstractTextCN":null,"PMCID":null,"EPubDate":"2025/1/1 0:00:00","PubModel":"eCollection","JCR":"Q4","JCRName":"ENDOCRINOLOGY & METABOLISM","Score":null,"Total":0}
引用次数: 0

Abstract

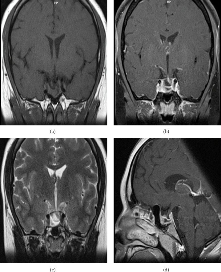
Prolactinoma is the most common pituitary tumor, with clinical presentations varying according to sex, age of onset, tumor size, and prolactin (PRL) levels. These tumors are rare in the pediatric and adolescent populations. Hyperprolactinemia leads to hypogonadotropic hypogonadism, resulting in reproductive, metabolic, sexual, and skeletal consequences that can affect puberty development. Here, we present the case of a 23-year-old male patient diagnosed with arrested puberty secondary to a macroprolactinoma. The clinical presentation, diagnostic approach, therapeutic management, and a literature review are discussed.

Abstract Image

Abstract Image

青春期发育迟缓的年轻人与巨泌乳素瘤:病例报告和文献复习。
催乳素瘤是最常见的垂体肿瘤,临床表现因性别、发病年龄、肿瘤大小和催乳素(PRL)水平而异。此类肿瘤在儿童和青少年中较为罕见。高泌乳素血症会导致性腺功能减退,造成生殖、代谢、性和骨骼方面的后果,并影响青春期发育。在此,我们介绍了一名 23 岁男性患者的病例,他被诊断为继发于巨泌乳素瘤的青春期停滞症。文中讨论了该患者的临床表现、诊断方法、治疗处理以及文献综述。
本文章由计算机程序翻译,如有差异,请以英文原文为准。
求助全文
约1分钟内获得全文 求助全文
来源期刊
Case Reports in Endocrinology
Case Reports in Endocrinology ENDOCRINOLOGY & METABOLISM-
CiteScore
2.10
自引率
0.00%
发文量
45
审稿时长
13 weeks
×
引用
GB/T 7714-2015
复制
MLA
复制
APA
复制
导出至
BibTeX EndNote RefMan NoteFirst NoteExpress
×
提示
您的信息不完整,为了账户安全,请先补充。
现在去补充
×
提示
您因"违规操作"
具体请查看互助需知
我知道了
×
提示
确定
请完成安全验证×
copy
已复制链接
快去分享给好友吧!
我知道了
右上角分享
点击右上角分享
0
联系我们:info@booksci.cn Book学术提供免费学术资源搜索服务,方便国内外学者检索中英文文献。致力于提供最便捷和优质的服务体验。 Copyright © 2023 布克学术 All rights reserved.
京ICP备2023020795号-1
ghs 京公网安备 11010802042870号
Book学术文献互助
Book学术文献互助群
群 号:604180095
Book学术官方微信