Colonic phytobezoar in a child.

JPGN reports Pub Date : 2024-11-11 eCollection Date: 2025-02-01 DOI:10.1002/jpr3.12146
Alexandra Oxford, Carine Stearman, John F Pohl
{"title":"Colonic phytobezoar in a child.","authors":"Alexandra Oxford, Carine Stearman, John F Pohl","doi":"10.1002/jpr3.12146","DOIUrl":null,"url":null,"abstract":"<p><p>Gastric bezoars and small bowel bezoars are uncommon in the pediatric population, and colonic bezoars are even rarer. We present the case of a 9-year-old female who presented with acute abdominal obstruction symptoms and a diagnosis of colonic phytobezoar. The phytobezoar was removed via endoscopic intervention. This case is important as it demonstrates that colonic bezoars can occur in children, may not be amenable to oral laxative or enema therapy, and may require endoscopic removal.</p>","PeriodicalId":501015,"journal":{"name":"JPGN reports","volume":"6 1","pages":"46-47"},"PeriodicalIF":0.0000,"publicationDate":"2024-11-11","publicationTypes":"Journal Article","fieldsOfStudy":null,"isOpenAccess":false,"openAccessPdf":"https://www.ncbi.nlm.nih.gov/pmc/articles/PMC11810816/pdf/","citationCount":"0","resultStr":null,"platform":"Semanticscholar","paperid":null,"PeriodicalName":"JPGN reports","FirstCategoryId":"1085","ListUrlMain":"https://doi.org/10.1002/jpr3.12146","RegionNum":0,"RegionCategory":null,"ArticlePicture":[],"TitleCN":null,"AbstractTextCN":null,"PMCID":null,"EPubDate":"2025/2/1 0:00:00","PubModel":"eCollection","JCR":"","JCRName":"","Score":null,"Total":0}
引用次数: 0

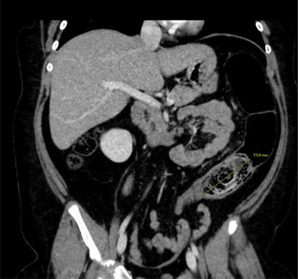
Abstract

Gastric bezoars and small bowel bezoars are uncommon in the pediatric population, and colonic bezoars are even rarer. We present the case of a 9-year-old female who presented with acute abdominal obstruction symptoms and a diagnosis of colonic phytobezoar. The phytobezoar was removed via endoscopic intervention. This case is important as it demonstrates that colonic bezoars can occur in children, may not be amenable to oral laxative or enema therapy, and may require endoscopic removal.

Abstract Image

Abstract Image

儿童结肠植牛黄。
胃牛黄和小肠牛黄在儿科人群中并不常见,结肠牛黄更是罕见。我们提出的情况下,9岁的女性谁提出了急性腹部阻塞症状和结肠植物牛黄的诊断。通过内窥镜干预去除植粪石。这个病例很重要,因为它表明结肠牛黄可以发生在儿童身上,可能不适合口服泻药或灌肠治疗,并且可能需要内窥镜切除。
本文章由计算机程序翻译,如有差异,请以英文原文为准。
求助全文
约1分钟内获得全文 求助全文
来源期刊
自引率
0.00%
发文量
0
×
引用
GB/T 7714-2015
复制
MLA
复制
APA
复制
导出至
BibTeX EndNote RefMan NoteFirst NoteExpress
×
提示
您的信息不完整,为了账户安全,请先补充。
现在去补充
×
提示
您因"违规操作"
具体请查看互助需知
我知道了
×
提示
确定
请完成安全验证×
copy
已复制链接
快去分享给好友吧!
我知道了
右上角分享
点击右上角分享
0
联系我们:info@booksci.cn Book学术提供免费学术资源搜索服务,方便国内外学者检索中英文文献。致力于提供最便捷和优质的服务体验。 Copyright © 2023 布克学术 All rights reserved.
京ICP备2023020795号-1
ghs 京公网安备 11010802042870号
Book学术文献互助
Book学术文献互助群
群 号:604180095
Book学术官方微信